Antibody data
- Antibody Data
- Antigen structure
- References [0]
- Comments [0]
- Validations
- Western blot [1]
- Immunocytochemistry [1]
- Immunohistochemistry [1]
Submit
Validation data
Reference
Comment
Report error
- Product number
- TA308036 - Provider product page

- Provider
- OriGene
- Product name
- Rabbit polyclonal antibody to Pancreatic Lipase (pancreatic lipase)
- Antibody type
- Polyclonal
- Description
- Rabbit polyclonal antibody to Pancreatic Lipase (pancreatic lipase)
- Reactivity
- Porcine
- Host
- Rabbit
- Conjugate
- Unconjugated
- Epitope
- PNLIP
- Isotype
- IgG
- Antibody clone number
- NULL
- Vial size
- 100 µl
- Concentration
- 1mg/ml
No comments: Submit comment
Supportive validation
- Submitted by
- OriGene (provider)
- Main image

- Experimental details
- Sample (30 ug of whole cell lysate). A: 293T. 10% SDS PAGE. TA308036 diluted at 1:1000
- Validation comment
- WB
Supportive validation
- Submitted by
- OriGene (provider)
- Main image

- Experimental details
- Immunofluorescence analysis of paraformaldehyde-fixed A549, using Pancreatic Lipase (TA308036) antibody at 1:200 dilution.
- Validation comment
- IF
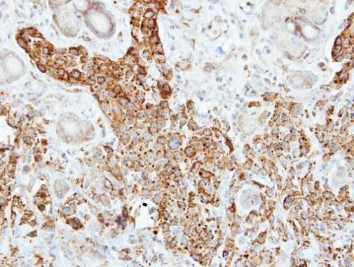
Supportive validation
- Submitted by
- OriGene (provider)
- Main image

- Experimental details
- Immunohistochemical analysis of paraffin-embedded SCM-1 xenograft, using Pancreatic Lipase(TA308036) antibody at 1:500 dilution.
- Validation comment
- IHC