Antibody data
- Antibody Data
- Antigen structure
- References [1]
- Comments [0]
- Validations
- Immunohistochemistry [1]
- Other assay [1]
Submit
Validation data
Reference
Comment
Report error
- Product number
- PA5-34415 - Provider product page

- Provider
- Invitrogen Antibodies
- Product name
- EMX2 Polyclonal Antibody
- Antibody type
- Polyclonal
- Antigen
- Synthetic peptide
- Description
- PA5-34415 can be used with blocking peptide PEP-1457.
- Reactivity
- Human
- Host
- Rabbit
- Isotype
- IgG
- Vial size
- 100 μg
- Concentration
- 1 mg/mL
- Storage
- Maintain refrigerated at 2-8°C for up to 3 months. For long term storage store at -20°C
Submitted references Regulation of sarcomagenesis by the empty spiracles homeobox genes EMX1 and EMX2.
Jimenez-GarcĂa MP, Lucena-Cacace A, Otero-Albiol D, Carnero A
Cell death & disease 2021 May 20;12(6):515
Cell death & disease 2021 May 20;12(6):515
No comments: Submit comment
Supportive validation
- Submitted by
- Invitrogen Antibodies (provider)
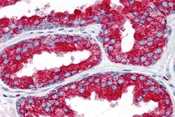
- Main image

- Experimental details
- Immunohistochemistry of EMX2 in human prostate tissue with EMX2 Polyclonal Antibody (Product # PA5-34415) at 5 µg/mL.
Supportive validation
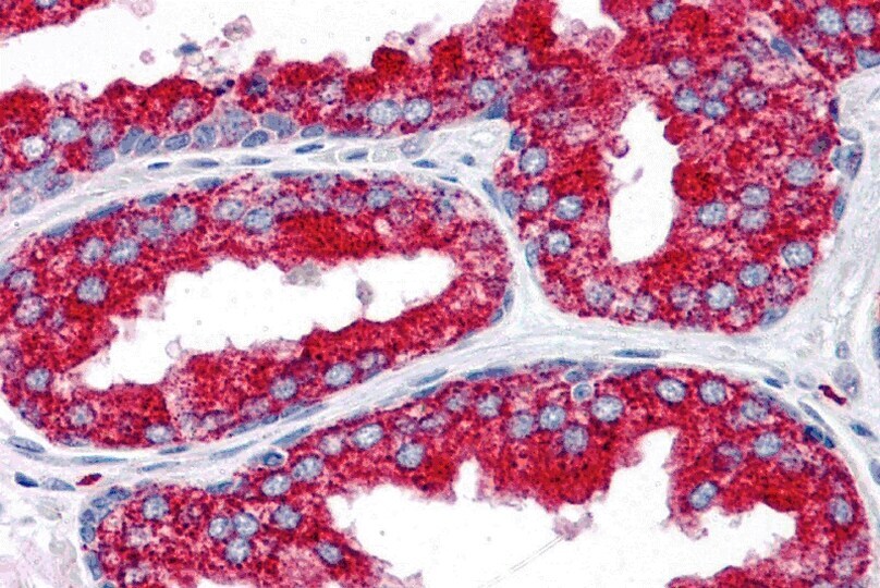
- Submitted by
- Invitrogen Antibodies (provider)
- Main image

- Experimental details
- Fig. 6 Immunophenotypic characterization of EMX1 and NESTIN in sarcomas obtained by induction of 3MC in the Emx KO mice. The results of immunohistochemistry against the transcription factor EMX1 ( A ) and EMX2 ( B ), and the neural lineage marker NESTIN in the EMX1 KO cell line model ( C ) or EMX2 KO model ( D ). The upper panel of each section shows micrographs of the control muscle tissue section at x200 magnification and the lower panel shows micrographs of the 3MC-induced sarcoma in the Emx model. The arrow indicates a NESTIN-positive cellular immunostaining detail. The image in the lower right corner of each micrograph is x400 magnification. The bar indicates 200 um. The percentage of mean cell immunolabeling measured in five fields per replicate +- the SD was monitored. Immunohistochemistry was performed in a minimum of three replicates for each tumor sample.