Antibody data
- Antibody Data
- Antigen structure
- References [0]
- Comments [0]
- Validations
- Western blot [1]
- Immunocytochemistry [1]
- Immunohistochemistry [1]
Submit
Validation data
Reference
Comment
Report error
- Product number
- OAGA00007 - Provider product page

- Provider
- Aviva Systems Biology
- Product name
- RAD9A antibody
- Antibody type
- Polyclonal
- Reactivity
- Human, Mouse, Rat
- Host
- Rabbit
- Isotype
- IgG
- Vial size
- 100µl
- Storage
- Keep as concentrated solution. Aliquot and store at -20°C or below. Avoid multiple freeze-thaw cycles.
No comments: Submit comment
Supportive validation
- Submitted by
- Aviva Systems Biology (provider)
- Main image

- Experimental details
- Sample (30 ug of whole cell lysate) A: A431 B: Hela 10% SDS PAGE OAGA00007 diluted at 1:1000
Supportive validation
- Submitted by
- Aviva Systems Biology (provider)
- Main image

- Experimental details
- Immunofluorescence analysis of paraformaldehyde-fixed HeLa, using Rad9 (OAGA00007) antibody at 1:100 dilution.
Supportive validation
- Submitted by
- Aviva Systems Biology (provider)
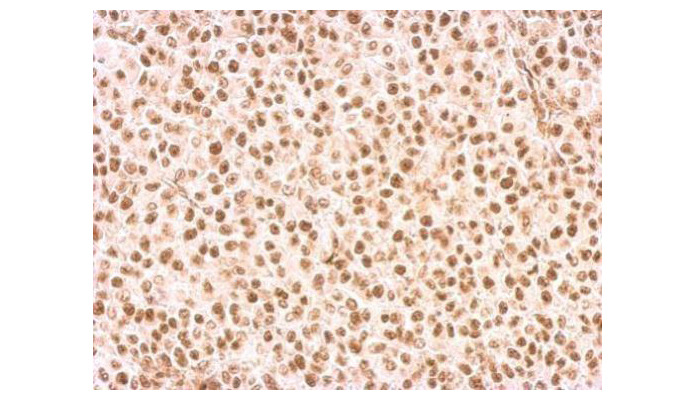
- Main image

- Experimental details
- Rad9 antibody detects RAD9A protein at nucleus on HBL435 xenograft by immunohistochemical analysis. Sample: Paraffin-embedded HBL435 xenograft. Rad9 antibody (OAGA00007) dilution: 1:500.