Antibody data
- Antibody Data
- Antigen structure
- References [0]
- Comments [0]
- Validations
- Western blot [1]
- Immunohistochemistry [1]
Submit
Validation data
Reference
Comment
Report error
- Product number
- A301-565A - Provider product page

- Provider
- Invitrogen Antibodies
- Product name
- Flightless-1 Polyclonal Antibody
- Antibody type
- Polyclonal
- Antigen
- Other
- Reactivity
- Human
- Host
- Rabbit
- Isotype
- IgG
- Vial size
- 100 µL
- Concentration
- 0.20 mg/mL
- Storage
- 4° C
No comments: Submit comment
Supportive validation
- Submitted by
- Invitrogen Antibodies (provider)
- Main image

- Experimental details
- Detection of human Flightless-1 by western blot and immunoprecipitation. Samples: Whole cell lysate from HeLa (5, 15 and 50 µg for WB; 1 mg for IP, 20% of IP loaded) and 293T (T; 50 µg) cells. Antibodies: Affinity purified rabbit anti-Flightless-1 antibody A301-565A used for WB at 0.04 µg/ml (A) and 1 µg/ml (B) and used for IP at 3 µg/mg lysate. Flightless-1 was also immunoprecipitated by rabbit anti-Flightless-1 antibody BL6061, which recognizes an upstream epitope. Detection: Chemiluminescence with exposure times of 30 seconds (A) and 10 seconds (B).
Supportive validation
- Submitted by
- Invitrogen Antibodies (provider)
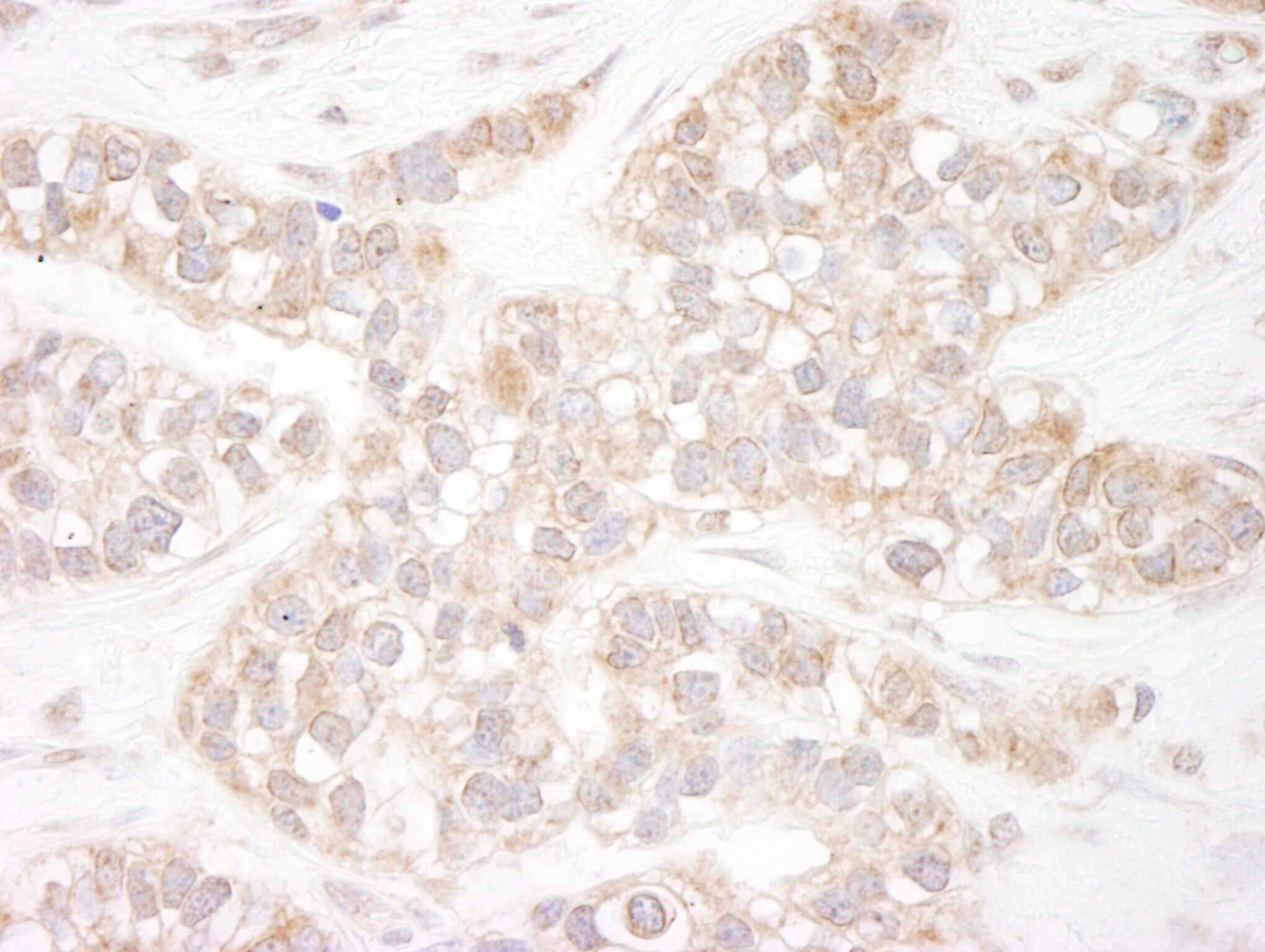
- Main image

- Experimental details
- Detection of human Flightless-1 by immunohistochemistry. Sample: FFPE section of human breast carcinoma. Antibody: Affinity purified rabbit anti-Flightless-1 (Cat. No. A301-565A) used at a dilution of 1:200 (1µg/ml). Detection: DAB.