Antibody data
- Antibody Data
- Antigen structure
- References [0]
- Comments [0]
- Validations
- Immunohistochemistry [2]
Submit
Validation data
Reference
Comment
Report error
- Product number
- LS-C176371 - Provider product page
- Provider
- LSBio
- Product name
- XRCC2 Antibody (Phe240) LS-C176371
- Antibody type
- Polyclonal
- Description
- Immunoaffinity purified
- Reactivity
- Human
- Host
- Rabbit
- Storage
- Short term: store at 4°C. Long term: aliquot and store at -20°C. Avoid freeze-thaw cycles.
No comments: Submit comment
Enhanced validation
- Submitted by
- LSBio (provider)
- Enhanced method
- Genetic validation
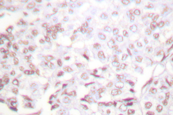
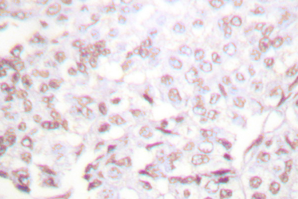
- Main image
- Experimental details
- IHC of XRCC2 (F240) pAb in paraffin-embedded human lung carcinoma tissue.
- Submitted by
- LSBio (provider)
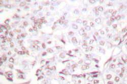
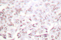
- Main image
- Experimental details
- IHC of XRCC2 (F240) pAb in paraffin-embedded human lung carcinoma tissue.