Antibody data
- Antibody Data
- Antigen structure
- References [0]
- Comments [0]
- Validations
- Western blot [1]
- Immunohistochemistry [4]
- Flow cytometry [1]
Submit
Validation data
Reference
Comment
Report error
- Product number
- NBP2-67732 - Provider product page

- Provider
- Novus Biologicals
- Product name
- Rabbit Monoclonal Rab7a Antibody
- Antibody type
- Monoclonal
- Description
- Protein A purified.
- Reactivity
- Human, Mouse, Rat
- Host
- Rabbit
- Isotype
- IgG
- Vial size
- 100 ul
- Storage
- Store at 4C short term. Aliquot and store at -20C long term. Avoid freeze-thaw cycles.
No comments: Submit comment
Supportive validation
- Submitted by
- Novus Biologicals (provider)
- Main image

- Experimental details
- Western Blot: Rab7a Antibody (SN202-03) [NBP2-67732] - Analysis of RAB7 on different lysates using anti-RAB7 antibody at 1/1,000 dilution. Positive control: Lane 1: A431 Lane 2: C2C12
Supportive validation
- Submitted by
- Novus Biologicals (provider)
- Main image

- Experimental details
- Immunohistochemistry-Paraffin: Rab7a Antibody (SN202-03) [NBP2-67732] - Analysis of paraffin-embedded mouse skeletal muscle tissue using anti-RAB7 antibody. Counter stained with hematoxylin.
- Submitted by
- Novus Biologicals (provider)
- Main image

- Experimental details
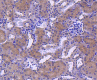
- Immunohistochemistry-Paraffin: Rab7a Antibody (SN202-03) [NBP2-67732] - Analysis of paraffin-embedded human kidney tissue using anti-RAB7 antibody. Counter stained with hematoxylin.
- Submitted by
- Novus Biologicals (provider)
- Main image

- Experimental details
- Immunohistochemistry-Paraffin: Rab7a Antibody (SN202-03) [NBP2-67732] - Analysis of paraffin-embedded mouse kidney tissue using anti-RAB7 antibody. Counter stained with hematoxylin.
- Submitted by
- Novus Biologicals (provider)
- Main image

- Experimental details
- Immunohistochemistry-Paraffin: Rab7a Antibody (SN202-03) [NBP2-67732] - Analysis of paraffin-embedded human colon cancer tissue using anti-RAB7 antibody. Counter stained with hematoxylin.
Supportive validation
- Submitted by
- Novus Biologicals (provider)
- Main image

- Experimental details
- Flow Cytometry: Rab7a Antibody (SN202-03) [NBP2-67732] - Analysis of K562 cells with RAB7 antibody at 1/50 dilution (red) compared with an unlabelled control (cells without incubation with primary antibody; black). Alexa Fluor 488-conjugated goat anti rabbit IgG was used as the secondary antibody.