Antibody data
- Antibody Data
- Antigen structure
- References [0]
- Comments [0]
- Validations
- Western blot [1]
- Immunocytochemistry [1]
- Immunohistochemistry [1]
Submit
Validation data
Reference
Comment
Report error
- Product number
- OAGA00926 - Provider product page 
- Provider
- Aviva Systems Biology
- Product name
- CHP1 antibody
- Antibody type
- Polyclonal
- Reactivity
- Human
- Host
- Rabbit
- Isotype
- IgG
- Vial size
- 100µl
- Storage
- Keep as concentrated solution. Aliquot and store at -20°C or below. Avoid multiple freeze-thaw cycles.
				No comments: Submit comment	
	
			
							
					Supportive validation
					
									
				
				- Submitted by
- Aviva Systems Biology (provider)
- Main image
 
- Experimental details
- Sample (30 ug of whole cell lysate) A: Hep G2 12% SDS PAGE OAGA00926 diluted at 1:1000
							
					Supportive validation
					
									
				
				- Submitted by
- Aviva Systems Biology (provider)
- Main image
 
- Experimental details
- Immunofluorescence analysis of methanol-fixed HepG2, using Calcium binding protein P22(OAGA00926) antibody at 1:200 dilution.
							
					Supportive validation
					
									
				
		- Submitted by
- Aviva Systems Biology (provider)
- Main image
 
- Experimental details
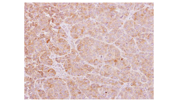
- Calcium binding protein P22 antibody [N2C2], Internal detects Calcium binding protein P22 protein at cytoplasm on SW480 xenograft by immunohistochemical analysis. Sample: Paraffin-embedded SW480 xenograft. Calcium binding protein P22 antibody [N2C