Antibody data
- Antibody Data
- Antigen structure
- References [0]
- Comments [0]
- Validations
- Western blot [1]
- Immunocytochemistry [1]
- Immunohistochemistry [5]
- Flow cytometry [2]
Submit
Validation data
Reference
Comment
Report error
- Product number
- TA504197 - Provider product page

- Provider
- OriGene
- Proper citation
- OriGene Cat#TA504197, RRID:AB_11126786
- Product name
- KCNJ3 (GIRK1 ) mouse monoclonal antibody, clone OTI1G3 (formerly 1G3)
- Antibody type
- Monoclonal
- Description
- KCNJ3 (GIRK1 ) mouse monoclonal antibody, clone OTI1G3 (formerly 1G3)
- Host
- Mouse
- Conjugate
- Unconjugated
- Epitope
- KCNJ3
- Isotype
- IgG
- Antibody clone number
- OTI1G3
- Vial size
- 100 µl
- Concentration
- 0.51 mg/ml
No comments: Submit comment
Supportive validation
- Submitted by
- OriGene (provider)
- Main image

- Experimental details
- HEK293T cells were transfected with the pCMV6-ENTRY control (Left lane) or pCMV6-ENTRY KCNJ3 (RC205322, Right lane) cDNA for 48 hrs and lysed. Equivalent amounts of cell lysates (5 ug per lane) were separated by SDS-PAGE and immunoblotted with anti-KCNJ3.
- Validation comment
- WB
Supportive validation
- Submitted by
- OriGene (provider)
- Main image

- Experimental details
- Anti-KCNJ3 mouse monoclonal antibody (TA504197) immunofluorescent staining of COS7 cells transiently transfected by pCMV6-ENTRY KCNJ3(RC205322).
- Validation comment
- IF
Supportive validation
- Submitted by
- OriGene (provider)
- Main image

- Experimental details
- Immunohistochemical staining of paraffin-embedded Carcinoma of Human bladder tissue using anti-KCNJ3 mouse monoclonal antibody. (Heat-induced epitope retrieval by 10mM citric buffer, pH6.0, 100C for 10min, TA504197)
- Validation comment
- IHC
- Submitted by
- OriGene (provider)
- Main image

- Experimental details
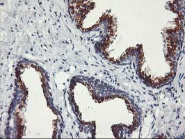
- Immunohistochemical staining of paraffin-embedded Human prostate tissue within the normal limits using anti-KCNJ3 mouse monoclonal antibody. (Heat-induced epitope retrieval by 10mM citric buffer, pH6.0, 100C for 10min, TA504197)
- Validation comment
- IHC
- Submitted by
- OriGene (provider)
- Main image

- Experimental details
- Immunohistochemical staining of paraffin-embedded Carcinoma of Human thyroid tissue using anti-KCNJ3 mouse monoclonal antibody. (Heat-induced epitope retrieval by 10mM citric buffer, pH6.0, 100C for 10min, TA504197)
- Validation comment
- IHC
- Submitted by
- OriGene (provider)
- Main image

- Experimental details
- Immunohistochemical staining of paraffin-embedded Human endometrium tissue within the normal limits using anti-KCNJ3 mouse monoclonal antibody. (Heat-induced epitope retrieval by 10mM citric buffer, pH6.0, 100C for 10min, TA504197)
- Validation comment
- IHC
- Submitted by
- OriGene (provider)
- Main image

- Experimental details
- Immunohistochemical staining of paraffin-embedded Human Kidney tissue within the normal limits using anti-KCNJ3 mouse monoclonal antibody. (Heat-induced epitope retrieval by 10mM citric buffer, pH6.0, 100C for 10min, TA504197)
- Validation comment
- IHC
Supportive validation
- Submitted by
- OriGene (provider)
- Main image

- Experimental details
- HEK293T cells transfected with either RC205322 overexpress plasmid(Red) or empty vector control plasmid(Blue) were immunostained by anti-KCNJ3 antibody(TA504197), and then analyzed by flow cytometry.
- Validation comment
- FC
- Submitted by
- OriGene (provider)
- Main image

- Experimental details
- Flow cytometric Analysis of Jurkat cells, using anti-KCNJ3 antibody(TA504197),(Red), compared to a nonspecific negative control antibody,(Blue).
- Validation comment
- FC