Antibody data
- Antibody Data
- Antigen structure
- References [1]
- Comments [0]
- Validations
- Immunocytochemistry [1]
- Immunohistochemistry [1]
- Other assay [3]
Submit
Validation data
Reference
Comment
Report error
- Product number
- PA5-29773 - Provider product page

- Provider
- Invitrogen Antibodies
- Product name
- 14-3-3 epsilon Polyclonal Antibody
- Antibody type
- Polyclonal
- Antigen
- Recombinant full-length protein
- Description
- Recommended positive controls: 293T, A431, H1299, HeLa, HepG2, Molt-4, Raji, mouse brain. Predicted reactivity: Mouse (100%), Rat (98%), Xenopus laevis (97%), Chicken (100%), Chimpanzee (100%), Bovine (100%). Store product as a concentrated solution. Centrifuge briefly prior to opening the vial.
- Reactivity
- Human, Mouse, Rat
- Host
- Rabbit
- Isotype
- IgG
- Vial size
- 100 μL
- Concentration
- 0.52 mg/mL
- Storage
- Store at 4°C short term. For long term storage, store at -20°C, avoiding freeze/thaw cycles.
Submitted references YWHAE silencing induces cell proliferation, invasion and migration through the up-regulation of CDC25B and MYC in gastric cancer cells: new insights about YWHAE role in the tumor development and metastasis process.
Leal MF, Ribeiro HF, Rey JA, Pinto GR, Smith MC, Moreira-Nunes CA, Assumpção PP, Lamarão LM, Calcagno DQ, Montenegro RC, Burbano RR
Oncotarget 2016 Dec 20;7(51):85393-85410
Oncotarget 2016 Dec 20;7(51):85393-85410
No comments: Submit comment
Supportive validation
- Submitted by
- Invitrogen Antibodies (provider)
- Main image

- Experimental details
- Immunofluorescent analysis of 14-3-3 epsilon in methanol-fixed A431 cells using a 14-3-3 epsilon polyclonal antibody (Product # PA5-29773) at a 1:200 dilution.
Supportive validation
- Submitted by
- Invitrogen Antibodies (provider)
- Main image

- Experimental details
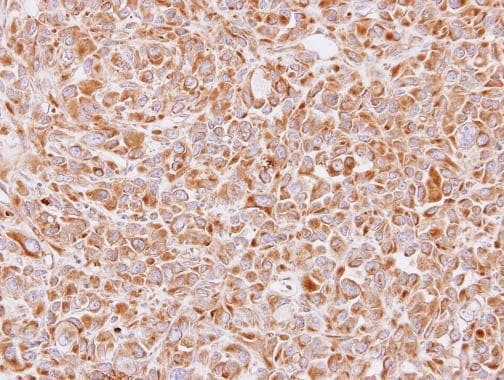
- Immunohistochemical analysis of paraffin-embedded MDA-MB231 xenograft, using 14-3-3 epsilon (Product # PA5-29773) antibody at 1:500 dilution. Antigen Retrieval: EDTA based buffer, pH 8.0, 15 min.
Supportive validation
- Submitted by
- Invitrogen Antibodies (provider)
- Main image

- Experimental details
- Figure 2 Effect of gene silencing in gene and protein expression in gastric cancer cell lines A. YWHAE silencing induced MYC and CDC25B increased expression in GC cell lines. B. GC cells with (+) or without (-) YWHAE silencing, equal amounts of whole cell extracts were analyzed by western blot with the indicated antibodies. C. CDCD25B silencing did not alter MYC and YHWAE expression in GC cell lines. D. GC cells with (+) or without (-) CDC25B silencing; Equal amounts of whole cell extracts were analyzed by western blot with the indicated antibodies. E. MYC silencing induced the reduction of CDC25B expression and increasing of YHWAE expression in GC cell lines. F. GC cells with (+) or without (-) MYC silencing; equal amounts of whole cell extracts were analyzed by western blot with the indicated antibodies. siRNA control-transfected cells were used as a calibrator. Values of median and IQR are shown.
- Submitted by
- Invitrogen Antibodies (provider)
- Main image

- Experimental details
- Figure 9 Protein and gene expression in gastric cancer. A. YWHAE protein expression B. YHWAE mRNA expression. C. CDC25B protein expression. D. CDC25B mRNA expression. E. MYC protein expression. F. MYC mRNA expression. G. Representative image of Western-blot. In all graphs, the expression in gastric tumors was normalized by matched non-neoplastic gastric tissue. T: tumor sample; N: normal mucosa sample; RQ: relative quantification. The whiskers indicate the minimum and maximum values. The dotted lines representes the 1.5 fold-change.
- Submitted by
- Invitrogen Antibodies (provider)
- Main image

- Experimental details
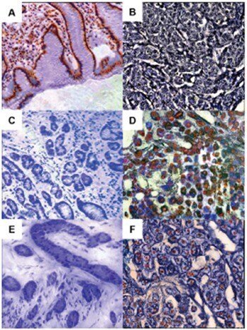
- Figure 8 YWHAE, CDC25B and MYC immunoreactivity in gastric tissue samples A. Non-neoplastic gastric mucosa showing cytoplasmic YWHAE staining. B. intestinal-type gastric cancer cells without YWHAE immunoreactivity. C. Non-neoplastic gastric tissue without CDC25B immunoreactivity. D. Diffuse-type gastric cancer presenting nuclear and cytoplasmic CDC25B immunoreactivity. E. Gastric mucosa without MYC immunoreactivity. F. Intestinal-type gastric cancer presenting nuclear immunoreactivity of MYC.