Antibody data
- Antibody Data
- Antigen structure
- References [0]
- Comments [0]
- Validations
- Immunohistochemistry [1]
Submit
Validation data
Reference
Comment
Report error
- Product number
- LS-C288682 - Provider product page 
- Provider
- LSBio
- Product name
- NELFB / COBRA1 Antibody (aa530-580) LS-C288682
- Antibody type
- Polyclonal
- Description
- Affinity purified
- Reactivity
- Human
- Host
- Rabbit
- Isotype
- IgG
- Storage
- Store at 2-8°C for up to one year.
				No comments: Submit comment	
	
			
							
					Supportive validation
					
									
				
		- Submitted by
- LSBio (provider)
- Enhanced method
- Genetic validation
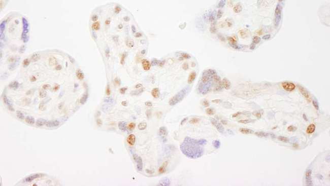
- Main image
 
- Experimental details
- Detection of Human COBRA1 by Immunohistochemistry. Sample: FFPE section of human placenta. Antibody: Affinity purified rabbit anti-COBRA1 used at a dilution of 1:200 (1 ug/ml).