Antibody data
- Antibody Data
- Antigen structure
- References [0]
- Comments [0]
- Validations
- Western blot [1]
- Immunohistochemistry [1]
Submit
Validation data
Reference
Comment
Report error
- Product number
- PAB19033 - Provider product page

- Provider
- Abnova Corporation
- Proper citation
- Abnova Corporation Cat#PAB19033, RRID:AB_10761808
- Product name
- ETFB polyclonal antibody
- Antibody type
- Polyclonal
- Description
- Goat polyclonal antibody raised against synthetic peptide of ETFB.
- Antigen sequence
C-QVTLEGDKLKVERE- Storage
- Store at -20°C.Aliquot to avoid repeated freezing and thawing.
No comments: Submit comment
Supportive validation
- Submitted by
- Abnova Corporation (provider)
- Main image

- Experimental details
- ETFB polyclonal antibody (Cat # PAB19033) (0.1 ug/mL) staining of human liver lysate (35 ug protein in RIPA buffer). Primary incubation was 1 hour. Detected by chemiluminescence.
Supportive validation
- Submitted by
- Abnova Corporation (provider)
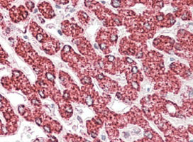
- Main image

- Experimental details
- Immunohistochemical staining of human liver with ETFB polyclonal antibody (Cat # PAB19033) (3.8 ug/mL). Steamed antigen retrieval with citrate buffer pH 6, AP-staining.
- Validation comment
- Immunohistochemistry (Formalin/PFA-fixed paraffin-embedded sections)