Antibody data
- Antibody Data
- Antigen structure
- References [0]
- Comments [0]
- Validations
- Western blot [1]
- Immunocytochemistry [1]
- Immunohistochemistry [4]
Submit
Validation data
Reference
Comment
Report error
- Product number
- PA5-97711 - Provider product page

- Provider
- Invitrogen Antibodies
- Product name
- ENTPD8 Polyclonal Antibody
- Antibody type
- Polyclonal
- Antigen
- Recombinant full-length protein
- Reactivity
- Human, Mouse
- Host
- Rabbit
- Isotype
- IgG
- Vial size
- 100 μg
- Concentration
- 1 mg/mL
- Storage
- -20°C or -80°C if preferred
No comments: Submit comment
Supportive validation
- Submitted by
- Invitrogen Antibodies (provider)
- Main image

- Experimental details
- Western Blot analysis of ENTPD8 using a ENTPD8 Polyclonal antibody (Product # PA5-97711) at a concentration of 2 µg/mL. Positive WB detected in: Mouse stomach tissue. A secondary Goat polyclonal antibody to rabbit IgG was applied at a 1:50,000 dilution. Observed band size: 54 kDa.
Supportive validation
- Submitted by
- Invitrogen Antibodies (provider)
- Main image

- Experimental details
- Immunofluorescent analysis of ENTPD8 in HepG2 cells using a ENTPD8 polyclonal antibody (Product # PA5-97711) at a dilution of 1:100. Alexa Fluor 488-congugated Goat Anti-Rabbit IgG(H+L) secondary antibody was used.
Supportive validation
- Submitted by
- Invitrogen Antibodies (provider)
- Main image

- Experimental details
- Immunohistochemical analysis of ENTPD8 in paraffin embedded human colon cancer using a ENTPD8 polyclonal antibody (Product # PA5-97711) at a dilution of 1:100.
- Submitted by
- Invitrogen Antibodies (provider)
- Main image

- Experimental details
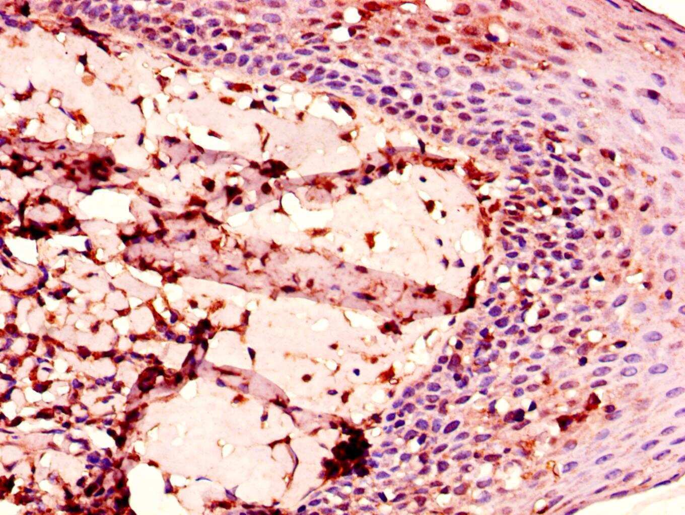
- Immunohistochemical analysis of ENTPD8 in paraffin embedded human tonsil tissue using a ENTPD8 polyclonal antibody (Product # PA5-97711) at a dilution of 1:100.
- Submitted by
- Invitrogen Antibodies (provider)
- Main image

- Experimental details
- Immunohistochemical analysis of ENTPD8 in paraffin embedded human colon cancer using a ENTPD8 polyclonal antibody (Product # PA5-97711) at a dilution of 1:100.
- Submitted by
- Invitrogen Antibodies (provider)
- Main image

- Experimental details
- Immunohistochemical analysis of ENTPD8 in paraffin embedded human tonsil tissue using a ENTPD8 polyclonal antibody (Product # PA5-97711) at a dilution of 1:100.