Antibody data
- Antibody Data
- Antigen structure
- References [0]
- Comments [0]
- Validations
- Western blot [2]
- ELISA [1]
- Immunohistochemistry [1]
Submit
Validation data
Reference
Comment
Report error
- Product number
- H00029994-M07 - Provider product page

- Provider
- Novus Biologicals
- Proper citation
- Novus Cat#H00029994-M07, RRID:AB_1724779
- Product name
- Mouse Monoclonal BAZ2B Antibody
- Antibody type
- Monoclonal
- Description
- Protein A purified. Reacts with bromodomain adjacent to zinc finger domain, 2B.
- Reactivity
- Human
- Host
- Mouse
- Isotype
- IgG
- Vial size
- 0.1 mg
- Storage
- Aliquot and store at -20C or -80C. Avoid freeze-thaw cycles.
No comments: Submit comment
Supportive validation
- Submitted by
- Novus Biologicals (provider)
- Main image

- Experimental details
- Western Blot: BAZ2B Antibody (2D10) [H00029994-M07] - Detection against Immunogen (36.63 KDa) .
- Submitted by
- Novus Biologicals (provider)
- Main image

- Experimental details
- Western Blot: BAZ2B Antibody (2D10) [H00029994-M07] - Analysis of BAZ2B expression in transfected 293T cell line by BAZ2B monoclonal antibody (M07), clone 2D10. Lane 1: BAZ2B transfected lysate (Predicted MW: 71.8 KDa). Lane 2: Non-transfected lysate.
Supportive validation
- Submitted by
- Novus Biologicals (provider)
- Main image

- Experimental details
- Sandwich ELISA: BAZ2B Antibody (2D10) [H00029994-M07] - Detection limit for recombinant GST tagged BAZ2B is 0.3 ng/ml as a capture antibody.
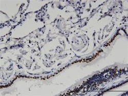
Supportive validation
- Submitted by
- Novus Biologicals (provider)
- Main image

- Experimental details
- Immunohistochemistry-Paraffin: BAZ2B Antibody (2D10) [H00029994-M07] - Analysis of monoclonal antibody to BAZ2B on formalin-fixed paraffin-embedded human lung. Antibody concentration 3 ug/ml