Antibody data
- Antibody Data
- Antigen structure
- References [0]
- Comments [0]
- Validations
- Western blot [1]
- Immunohistochemistry [1]
Submit
Validation data
Reference
Comment
Report error
- Product number
- PA5-55340 - Provider product page

- Provider
- Invitrogen Antibodies
- Product name
- ZNF649 Polyclonal Antibody
- Antibody type
- Polyclonal
- Antigen
- Recombinant protein fragment
- Description
- Immunogen sequence: ENYSNLVSVG YQAGKPDALT KLEQGEPLWT LEDEIHSPAH PEIEKADDHL QQPLQNQKIL KRTGQRYEHG RTLKSYLGLT NQSRRYNRKE PAEFNGDGAF LHDNHEQMPT EIEFPESRKP ISTKSQFL Highest antigen sequence identity to the following orthologs: Mouse - 29%, Rat - 24%.
- Reactivity
- Human
- Host
- Rabbit
- Isotype
- IgG
- Vial size
- 100 μL
- Concentration
- 0.5 mg/mL
- Storage
- Store at 4°C short term. For long term storage, store at -20°C, avoiding freeze/thaw cycles.
No comments: Submit comment
Supportive validation
- Submitted by
- Invitrogen Antibodies (provider)
- Main image

- Experimental details
- Western blot analysis of ZNF649 in control (vector only transfected HEK293T lysate) and ZNF649 over-expression lysate (Co-expressed with a C-terminal myc-DDK tag (~3.1 kDa) in mammalian HEK293T cells). Samples were probed using a ZNF649 Polyclonal Antibody (Product # PA5-55340).
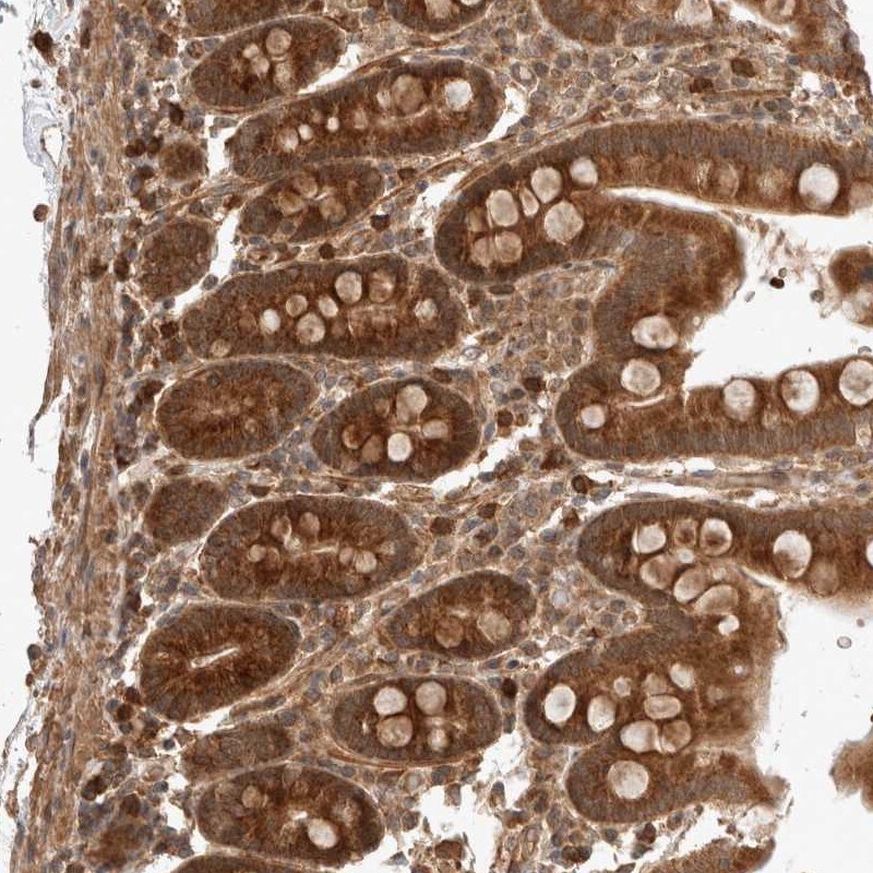
Supportive validation
- Submitted by
- Invitrogen Antibodies (provider)
- Main image

- Experimental details
- Immunohistochemical analysis of ZNF649 in human duodenum using ZNF649 Polyclonal Antibody (Product # PA5-55340) shows strong cytoplasmic positivity in glandular cells.