Antibody data
- Antibody Data
- Antigen structure
- References [0]
- Comments [0]
- Validations
- Western blot [2]
Submit
Validation data
Reference
Comment
Report error
- Product number
- AF4424 - Provider product page

- Provider
- R&D Systems
- Product name
- Human/Mouse/Rat 14-3-3 sigma Antibody
- Antibody type
- Polyclonal
- Description
- Antigen Affinity-purified. Detects human, mouse, and rat 14-3-3 sigma in Western blots. Does not cross react with other recombinant human 14-3-3 isoforms.
- Reactivity
- Human, Mouse, Rat
- Host
- Goat
- Conjugate
- Unconjugated
- Antigen sequence
P31947- Isotype
- IgG
- Vial size
- 100 ug
- Concentration
- LYOPH
- Storage
- Use a manual defrost freezer and avoid repeated freeze-thaw cycles. 12 months from date of receipt, -20 to -70 °C as supplied. 1 month, 2 to 8 °C under sterile conditions after reconstitution. 6 months, -20 to -70 °C under sterile conditions after reconstitution.
No comments: Submit comment
Supportive validation
- Submitted by
- R&D Systems (provider)
- Main image

- Experimental details
- Western Blot Shows Human 14-3-3 sigma Specificity by Using Knockout Cell Line. Western blot shows lysates of HeLa human cervical epithelial carcinoma parental cell line and 14-3-3 sigma knockout HeLa cell line (KO). PVDF membrane was probed with 1 µg/mL of Goat Anti-Human/Mouse/Rat 14-3-3 sigma Antigen Affinity-purified Polyclonal Antibody (Catalog # AF4424) followed by HRP-conjugated Anti-Goat IgG Secondary Antibody (Catalog # HAF017). A specific band was detected for 14-3-3 sigma at approximately 28 kDa (as indicated) in the parental HeLa cell line, but is not detectable in knockout HeLa cell line. GAPDH (Catalog # AF5718) is shown as a loading control. This experiment was conducted under reducing conditions and using Immunoblot Buffer Group 1.
- Submitted by
- R&D Systems (provider)
- Main image

- Experimental details
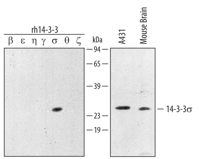
- Detection of Human/Mouse/ Rat 14-3-3 sigma by Western Blot. Western blot shows lysates of A431 human epithelial carcinoma cell line and mouse brain tissue. PVDF membrane was probed with 1 µg/mL Goat Anti-Human/ Mouse/Rat 14-3-3 sigma Antigen Affinity-purified Polyclonal Antibody (Catalog # AF4424) followed by HRP-conjugated Anti-Goat IgG Secondary Antibody (Catalog # HAF017). For additional reference, recombinant human 14-3-3 beta, epsilon, eta, gamma, sigma, theta, and zeta (2 ng/lane) were included. A specific band for 14-3-3 sigma was detected at approximately 28 kDa (as indicated). This experiment was conducted under reducing conditions and using Immunoblot Buffer Group 1.