Antibody data
- Antibody Data
 - Antigen structure
 - References [0]
 - Comments [0]
 - Validations
 - Immunocytochemistry [1]
 - Immunohistochemistry [1]
 
Submit
Validation data
Reference
Comment
Report error
- Product number
 - PA5-27857 - Provider product page

 - Provider
 - Invitrogen Antibodies
 - Product name
 - SERPINB2 Polyclonal Antibody
 - Antibody type
 - Polyclonal
 - Antigen
 - Recombinant full-length protein
 - Description
 - Recommended positive controls: A431, JC, U87-MG. Predicted reactivity: Mouse (80%), Rabbit (86%), Sheep (81%), Bovine (82%). Store product as a concentrated solution. Centrifuge briefly prior to opening the vial.
 - Reactivity
 - Human, Mouse
 - Host
 - Rabbit
 - Isotype
 - IgG
 - Vial size
 - 100 μL
 - Concentration
 - 0.39 mg/mL
 - Storage
 - Store at 4°C short term. For long term storage, store at -20°C, avoiding freeze/thaw cycles.
 
				No comments: Submit comment	
	
			
							
					Supportive validation
					
									
				
				- Submitted by
 - Invitrogen Antibodies (provider)
 - Main image
 
- Experimental details
 - SERPINB2 Polyclonal Antibody detects PAI2 protein at Golgi apparatus by immunofluorescent analysis. Sample: HeLa cells were fixed in 4% paraformaldehyde at RT for 15 min. Green: PAI2 protein stained by SERPINB2 Polyclonal Antibody (Product # PA5-27857) diluted at 1:500. Blue: Hoechst 33342 staining. Scale bar = 10 µm.
 
							
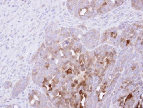
					Supportive validation
					
									
				
		- Submitted by
 - Invitrogen Antibodies (provider)
 - Main image
 
- Experimental details
 - Immunohistochemical analysis of paraffin-embedded NCIN87 xenograft , using PAI-2 (Product # PA5-27857) antibody at 1:500 dilution. Antigen Retrieval: EDTA based buffer, pH 8.0, 15 min.