15059-1-AP
antibody from Invitrogen Antibodies
		Targeting: HPRT1
		
		HGPRT, HPRT	
	
	
	
	Antibody data
- Antibody Data
- Antigen structure
- References [0]
- Comments [0]
- Validations
- Western blot [6]
- Immunocytochemistry [2]
- Immunohistochemistry [6]
- Flow cytometry [1]
- Other assay [1]
Submit
Validation data
Reference
Comment
Report error
- Product number
- 15059-1-AP - Provider product page 
- Provider
- Invitrogen Antibodies
- Product name
- HPRT1 Polyclonal Antibody
- Antibody type
- Polyclonal
- Antigen
- Other
- Reactivity
- Human, Mouse, Rat
- Host
- Rabbit
- Isotype
- IgG
- Vial size
- 150 µL
- Concentration
- 0.29 mg/mL
- Storage
- -20°C
				No comments: Submit comment	
	
			
							
					Supportive validation
					
									
				
				- Submitted by
- Invitrogen Antibodies (provider)
- Main image
 
- Experimental details
- HepG2 cells were subjected to SDS PAGE followed by western blot with 15059-1-AP (HPRT1 antibody) at dilution of 1:2000 incubated at room temperature for 1.5 hours.
- Submitted by
- Invitrogen Antibodies (provider)
- Main image
 
- Experimental details
- Various lysates were subjected to SDS PAGE followed by western blot with 15059-1-AP (HPRT1 antibody) at dilution of 1:5000 incubated at room temperature for 1.5 hours.
- Submitted by
- Invitrogen Antibodies (provider)
- Main image
 
- Experimental details
- MCF7 cells were subjected to SDS PAGE followed by western blot with 15059-1-AP (HPRT1 antibody) at dilution of 1:1000 incubated at room temperature for 1.5 hours.
- Submitted by
- Invitrogen Antibodies (provider)
- Main image
 
- Experimental details
- A549 cells were subjected to SDS PAGE followed by western blot with 15059-1-AP (HPRT1 antibody) at dilution of 1:2000 incubated at room temperature for 1.5 hours.
- Submitted by
- Invitrogen Antibodies (provider)
- Main image
 
- Experimental details
- Mouse liver tissue were subjected to SDS PAGE followed by western blot with 15059-1-AP (HPRT1 antibody) at dilution of 1:1000 incubated at room temperature for 1.5 hours.
- Submitted by
- Invitrogen Antibodies (provider)
- Main image
 
- Experimental details
- Rat brain tissue were subjected to SDS PAGE followed by western blot with 15059-1-AP (HPRT1 Antibody) at dilution of 1:2000 incubated at room temperature for 1.5 hours.
							
					Supportive validation
					
									
				
				- Submitted by
- Invitrogen Antibodies (provider)
- Main image
 
- Experimental details
- Immunofluorescent analysis of Hela cells, using HPRT1 antibody 15059-1-AP at 1:25 dilution and Rhodamine-labeled goat anti-rabbit IGG (red).
- Submitted by
- Invitrogen Antibodies (provider)
- Main image
 
- Experimental details
- Immunofluorescent analysis of (-20°C Ethanol) fixed HeLa cells using 15059-1-AP (HPRT1 antibody) at dilution of 1:50 and Alexa Fluor 488-Conjugated AffiniPure Goat Anti-Rabbit IgG (H+L).
							
					Supportive validation
					
									
				
				- Submitted by
- Invitrogen Antibodies (provider)
- Main image
 
- Experimental details
- Immunohistochemistry of paraffin-embedded human liver cancer tissue slide using 15059-1-AP (HPRT1 antibody) at dilution of 1:200 (under 10x lens) heat mediated antigen retrieved with Tris-EDTA buffer (pH 9).
- Submitted by
- Invitrogen Antibodies (provider)
- Main image
 
- Experimental details
- Immunohistochemistry of paraffin-embedded human liver cancer tissue slide using 15059-1-AP (HPRT1 antibody) at dilution of 1:200 (under 40x lens) heat mediated antigen retrieved with Tris-EDTA buffer (pH 9).
- Submitted by
- Invitrogen Antibodies (provider)
- Main image
 
- Experimental details
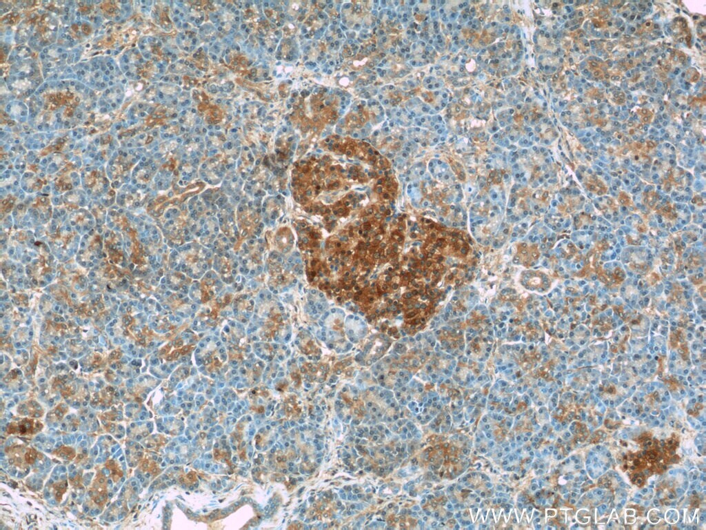
- Immunohistochemistry of paraffin-embedded human pancreas slide using 15059-1-AP (HPRT1 Antibody) at dilution of 1:50.
- Submitted by
- Invitrogen Antibodies (provider)
- Main image
 
- Experimental details
- Immunohistochemistry of paraffin-embedded human pancreas slide using 15059-1-AP (HPRT1 Antibody) at dilution of 1:50.
- Submitted by
- Invitrogen Antibodies (provider)
- Main image
 
- Experimental details
- Immunohistochemistry of paraffin-embedded human brain using 15059-1-AP (HPRT1 antibody) at dilution of 1:100 (under 10x lens).
- Submitted by
- Invitrogen Antibodies (provider)
- Main image
 
- Experimental details
- Immunohistochemistry of paraffin-embedded human brain using 15059-1-AP (HPRT1 antibody) at dilution of 1:100 (under 40x lens).
							
					Supportive validation
					
									
				
				- Submitted by
- Invitrogen Antibodies (provider)
- Main image
 
- Experimental details
- 1X10^6 HeLa cells were stained with 0.2ug HPRT1 antibody (15059-1-AP, red) and control antibody (blue). Fixed with 90% MeOH blocked with 3% BSA (30 min). Alexa Fluor 488-conjugated AffiniPure Goat Anti-Rabbit IGG (H+L) with dilution 1:1000.
							
					Supportive validation
					
									
				
		- Submitted by
- Invitrogen Antibodies (provider)
- Main image
 
- Experimental details
- IP result of anti-HPRT1 (IP:15059-1-AP, 4ug; Detection:15059-1-AP 1:1000) with mouse liver tissue lysate 4000ug.