Antibody data
- Antibody Data
- Antigen structure
- References [0]
- Comments [0]
- Validations
- Western blot [1]
- Immunohistochemistry [1]
Submit
Validation data
Reference
Comment
Report error
- Product number
- ABIN5596817 - Provider product page
- Provider
- antibodies-online
- Product name
- anti-beta-2-Microglobulin (B2M) antibody (HRP)
- Antibody type
- Polyclonal
- Description
- Anti-beta-2-Microglobulin antibody is an IgG fraction antibody purified from monospecific antiserum by a multi-step process which includes delipidation, salt fractionation and ion exchange chromatography followed by extensive dialysis against the buffer stated above. Assay by immunoelectrophoresis resulted in a single precipitin arc against anti-Peroxidase and anti-Rabbit Serum, as well as purified and partially purified b2-Microglobulin (Human Urine).
- Reactivity
- Human
- Host
- Rabbit
- Conjugate
- Horseradish Peroxidase
- Isotype
- IgG
- Vial size
- 100 μg
- Storage
- Store vial at 4° C prior to restoration. For extended storage aliquot contents and freeze at -20° C or below. Avoid cycles of freezing and thawing. Centrifuge product if not completely clear after standing at room temperature. This product is stable for several weeks at 4° C as an undiluted liquid. Dilute only prior to immediate use.
No comments: Submit comment
Supportive validation
- Submitted by
- antibodies-online (provider)
- Main image
- Experimental details
- WB
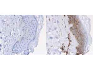
Supportive validation
- Submitted by
- antibodies-online (provider)
- Main image
- Experimental details
- IHC