Antibody data
- Antibody Data
- Antigen structure
- References [0]
- Comments [0]
- Validations
- Western blot [3]
- ELISA [1]
- Immunohistochemistry [9]
Submit
Validation data
Reference
Comment
Report error
- Product number
- TA590091 - Provider product page

- Provider
- OriGene
- Product name
- Rabbit Polyclonal Amphiregulin Antibody
- Antibody type
- Polyclonal
- Description
- Rabbit Polyclonal Amphiregulin Antibody
- Reactivity
- Human, Canine, Simian
- Host
- Rabbit
- Conjugate
- Unconjugated
- Isotype
- IgG
- Antibody clone number
- Polyclonal
- Vial size
- 100ug
- Concentration
- 0.74mg/ml
No comments: Submit comment
Supportive validation
- Submitted by
- OriGene (provider)
- Main image

- Experimental details
- Western Blot: Amphiregulin Antibody - Western Blot was performed using affinity purified SEQer AR antibody, aa(88-187) antibody. The lanes contain 5-30ug of a whole cell extract. Final concentration of antibodies = 0.1ug/ml (1:10,000 dilution).
- Validation comment
- WB
- Submitted by
- OriGene (provider)
- Main image

- Experimental details
- HEK293T cells were transfected with the pCMV6-ENTRY control (Left lane) or pCMV6-ENTRY AREG (RC203150, Right lane) cDNA for 48 hrs and lysed. Equivalent amounts of cell lysates (5 ug per lane) were separated by SDS-PAGE and immunoblotted with anti-AREG.
- Validation comment
- WB
- Submitted by
- OriGene (provider)
- Main image

- Experimental details
- Western blot analysis of extracts (35ug) from 9 different cell lines by using anti-AREG polyclonal antibody (HepG2: human; HeLa: human; SVT2: mouse; A549: human; COS7: monkey; Jurkat: human; MDCK: canine; PC12: rat; MCF7: human).
- Validation comment
- WB
Supportive validation
- Submitted by
- OriGene (provider)
- Main image

- Experimental details
- ELISA: Amphiregulin Antibody - Affinity Purified
- Validation comment
- ELISA
Supportive validation
- Submitted by
- OriGene (provider)
- Main image

- Experimental details
- Immunohistochemical staining of paraffin-embedded Adenocarcinoma of Human colon tissue using anti-AREG Rabbit Polyclonal antibody. (TA590091)
- Validation comment
- IHC
- Submitted by
- OriGene (provider)
- Main image

- Experimental details
- Immunohistochemical staining of paraffin-embedded Adenocarcinoma of Human ovary tissue using anti-AREG Rabbit Polyclonal antibody. (TA590091)
- Validation comment
- IHC
- Submitted by
- OriGene (provider)
- Main image

- Experimental details
- Immunohistochemical staining of paraffin-embedded Carcinoma of Human kidney tissue using anti-AREG Rabbit Polyclonal antibody. (TA590091)
- Validation comment
- IHC
- Submitted by
- OriGene (provider)
- Main image

- Experimental details
- Immunohistochemical staining of paraffin-embedded Carcinoma of Human lung tissue using anti-AREG Rabbit Polyclonal antibody. (TA590091)
- Validation comment
- IHC
- Submitted by
- OriGene (provider)
- Main image

- Experimental details
- Immunohistochemical staining of paraffin-embedded Human lymph node tissue using anti-AREG Rabbit Polyclonal antibody. (TA590091)
- Validation comment
- IHC
- Submitted by
- OriGene (provider)
- Main image

- Experimental details
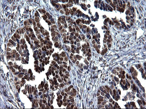
- Immunohistochemical staining of paraffin-embedded Human pancreas tissue using anti-AREG Rabbit Polyclonal antibody. (TA590091)
- Validation comment
- IHC
- Submitted by
- OriGene (provider)
- Main image

- Experimental details
- Immunohistochemical staining of paraffin-embedded Human prostate tissue using anti-AREG Rabbit Polyclonal antibody. (TA590091)
- Validation comment
- IHC
- Submitted by
- OriGene (provider)
- Main image

- Experimental details
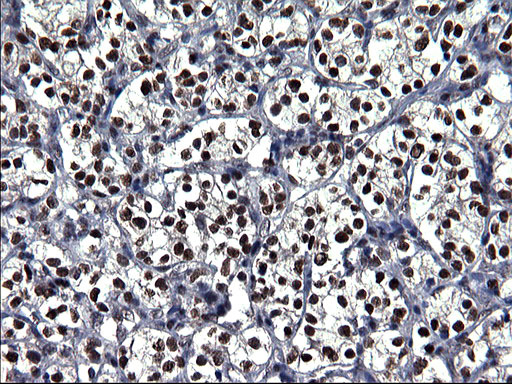
- Immunohistochemical staining of paraffin-embedded Human Kidney tissue using anti-AREG Rabbit Polyclonal antibody. (TA590091)
- Validation comment
- IHC
- Submitted by
- OriGene (provider)
- Main image

- Experimental details
- Immunohistochemical staining of paraffin-embedded Human liver tissue using anti-AREG Rabbit Polyclonal antibody. (TA590091)
- Validation comment
- IHC