Antibody data
- Antibody Data
- Antigen structure
- References [0]
- Comments [0]
- Validations
- Western blot [2]
- Immunohistochemistry [2]
Submit
Validation data
Reference
Comment
Report error
- Product number
- LS-C499791 - Provider product page

- Provider
- LSBio
- Product name
- SKIL / SNO / SnoN Antibody LS-C499791
- Antibody type
- Polyclonal
- Description
- Protein G purified
- Reactivity
- Human, Mouse, Rat
- Host
- Rabbit
- Isotype
- IgG
- Storage
- Short term: -20°C; Long term: -80°C; Avoid freeze-thaw cycles.
No comments: Submit comment
Enhanced validation
- Submitted by
- LSBio (provider)
- Enhanced method
- Genetic validation
- Main image

- Experimental details
- Positive WB detected in:HepG2 whole cell lysate,A549 whole cell lysate,Hela whole cell lysate,Mouse skeletal muscle tissue,Mouse liver tissue,Rat heart tissue,Rat liver tissue,Rat thymus tissue;All lanes:SKIL antibody at 1.6?g/ml;Secondary;Goat polyclonal to rabbit IgG at 1/50000 dilution;Predicted band size: 77,47,72,45,75 KDa;Observed band size: 77 KDa;
- Submitted by
- LSBio (provider)
- Enhanced method
- Genetic validation
- Main image

- Experimental details
- Western Blot Positive WB detected in: HepG2 whole cell lysate, A549 whole cell lysate, Hela whole cell lysate, Mouse skeletal muscle tissue, Mouse liver tissue, Rat heart tissue, Rat liver tissue, Rat thymus tissue All lanes: SKIL antibody at 1.6µg/ml Secondary Goat polyclonal to rabbit IgG at 1/50000 dilution Predicted band size: 77, 47, 72, 45, 75 kDa Observed band size: 77 kDa
Supportive validation
- Submitted by
- LSBio (provider)
- Enhanced method
- Genetic validation
- Main image

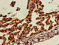
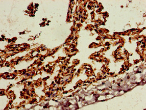
- Experimental details
- Immunohistochemistry of paraffin-embedded human lung tissue using SKIL Antibody at dilution of 1:100
- Submitted by
- LSBio (provider)
- Enhanced method
- Genetic validation
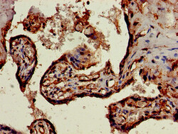
- Main image

- Experimental details
- Immunohistochemistry of paraffin-embedded human placenta tissue using SKIL Antibody at dilution of 1:100