Antibody data
- Antibody Data
- Antigen structure
- References [0]
- Comments [0]
- Validations
- Immunocytochemistry [3]
- Immunohistochemistry [1]
Submit
Validation data
Reference
Comment
Report error
- Product number
- PA5-20306 - Provider product page

- Provider
- Invitrogen Antibodies
- Product name
- SnoN Polyclonal Antibody
- Antibody type
- Polyclonal
- Antigen
- Synthetic peptide
- Description
- A suggested positive control is A431 cell lysate. PA5-20306 can be used with blocking peptide PEP-0400.
- Reactivity
- Human, Mouse, Rat
- Host
- Rabbit
- Isotype
- IgG
- Vial size
- 100 μg
- Concentration
- 1 mg/mL
- Storage
- Maintain refrigerated at 2-8°C for up to 3 months. For long term storage store at -20°C
No comments: Submit comment
Supportive validation
- Submitted by
- Invitrogen Antibodies (provider)
- Main image

- Experimental details
- Immunofluorescent analysis of mouse lung cells using a SnoN polyclonal antibody (Product # PA5-20306) at a 20 µg/mL dilution.
- Submitted by
- Invitrogen Antibodies (provider)
- Main image

- Experimental details
- Immunofluorescence of SnoN in Mouse Lung cells with SnoN Polyclonal Antibody (Product # PA5-20306) at 20 µg/mL.
- Submitted by
- Invitrogen Antibodies (provider)
- Main image

- Experimental details
- Immunofluorescence of SnoN in Mouse Lung cells with SnoN Polyclonal Antibody (Product # PA5-20306) at 20 µg/mL.
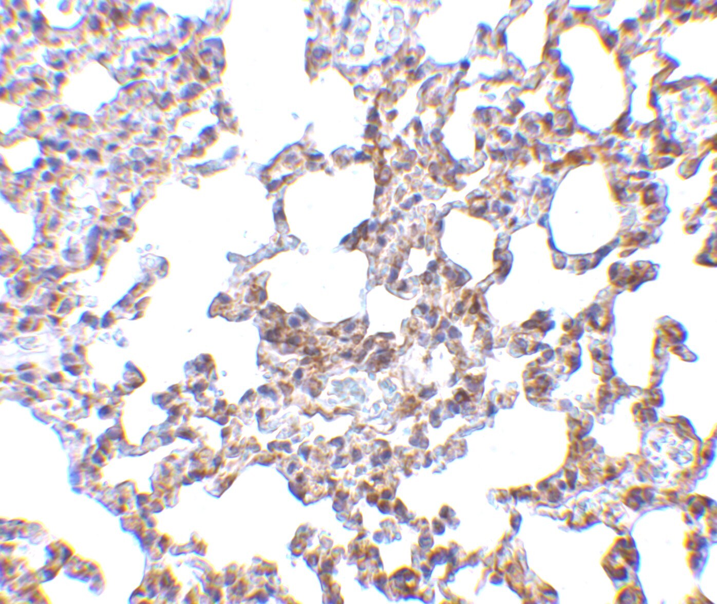
Supportive validation
- Submitted by
- Invitrogen Antibodies (provider)
- Main image

- Experimental details
- Immunohistochemistry of SnoN in mouse lung tissue with SnoN Polyclonal Antibody (Product # PA5-20306) at 5 µg/mL.