Antibody data
- Antibody Data
- Antigen structure
- References [0]
- Comments [0]
- Validations
- Immunohistochemistry [5]
Submit
Validation data
Reference
Comment
Report error
- Product number
- NBP1-85342 - Provider product page

- Provider
- Novus Biologicals
- Proper citation
- Novus Cat#NBP1-85342, RRID:AB_11013133
- Product name
- Rabbit Polyclonal EVI2B Antibody
- Antibody type
- Polyclonal
- Description
- Immunogen affinity purified. Specificity of human EVI2B antibody verified on a Protein Array containing target protein plus 383 other non-specific proteins.
- Reactivity
- Human
- Host
- Rabbit
- Isotype
- IgG
- Vial size
- 0.1 ml
- Storage
- Store at 4C short term. Aliquot and store at -20C long term. Avoid freeze-thaw cycles.
No comments: Submit comment
Supportive validation
- Submitted by
- Novus Biologicals (provider)
- Main image

- Experimental details
- Immunohistochemistry-Paraffin: EVI2B Antibody [NBP1-85342] - Staining of human cerebral cortex shows strong cytoplasmic and nuclear positivity in neuronal cells.
- Submitted by
- Novus Biologicals (provider)
- Main image

- Experimental details
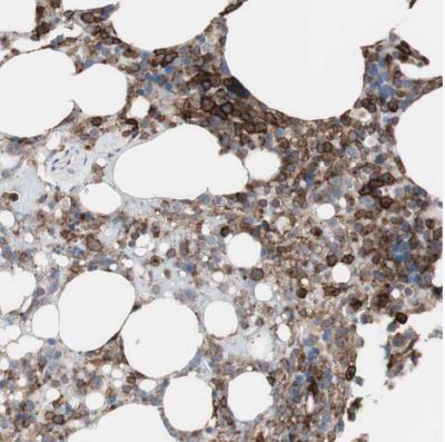
- Immunohistochemistry-Paraffin: EVI2B Antibody [NBP1-85342] - Staining of human bone marrow shows strong cytoplasmic positivity in hematopoietic cells.
- Submitted by
- Novus Biologicals (provider)
- Main image

- Experimental details
- Immunohistochemistry-Paraffin: EVI2B Antibody [NBP1-85342] - Staining of human skeletal muscle shows low expression as expected.
- Submitted by
- Novus Biologicals (provider)
- Main image

- Experimental details
- Immunohistochemistry-Paraffin: EVI2B Antibody [NBP1-85342] - Staining of human spleen shows high expression.
- Submitted by
- Novus Biologicals (provider)
- Main image

- Experimental details
- Immunohistochemistry-Paraffin: EVI2B Antibody [NBP1-85342] - Staining in human spleen and skeletal muscle tissues using anti-EVI2B antibody. Corresponding EVI2B RNA-seq data are presented for the same tissues.