Antibody data
- Antibody Data
- Antigen structure
- References [0]
- Comments [0]
- Validations
- Western blot [2]
- ELISA [3]
- Immunohistochemistry [1]
Submit
Validation data
Reference
Comment
Report error
- Product number
- LS-B7429 - Provider product page

- Provider
- LSBio
- Product name
- PathPlus™ Adiponectin Antibody LS-B7429
- Antibody type
- Polyclonal
- Description
- Immunoaffinity purified
- Reactivity
- Human
- Host
- Goat
- Isotype
- IgG
- Storage
- Store Lyophilized at room temperature up to 1 month; Reconstituted for up to 2 weeks at 2°C to 8°C. Aliquot and freeze at -20°C for long term storage. Avoid freeze/thaw cycles.
No comments: Submit comment
Enhanced validation
- Submitted by
- LSBio (provider)
- Enhanced method
- Genetic validation
- Main image

- Experimental details
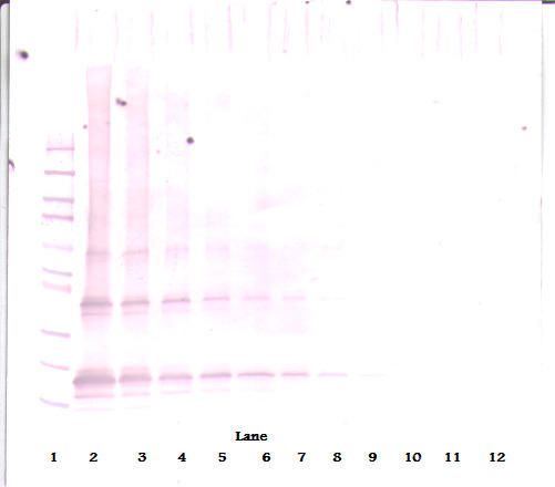
- Anti-Human gAcrp30/Adipolean Western Blot Reduced
- Submitted by
- LSBio (provider)
- Enhanced method
- Genetic validation
- Main image

- Experimental details
- Anti-Human gAcrp30/Adipolean Western Blot Unreduced
Supportive validation
- Submitted by
- LSBio (provider)
- Enhanced method
- Genetic validation
- Main image

- Experimental details
- Anti-Human gAcrp30/Adipolean Sandwich ELISA
- Submitted by
- LSBio (provider)
- Main image

- Experimental details
- Anti-Human gAcrp30/Adipolean Sandwich ELISA
- Submitted by
- LSBio (provider)
- Main image

- Experimental details
- Anti-Human gAcrp30/Adipolean Sandwich ELISA
Supportive validation
- Submitted by
- LSBio (provider)
- Enhanced method
- Genetic validation
- Main image

- Experimental details
- Anti-Adiponectin antibody IHC of human breast, adipocytes. Immunohistochemistry of formalin-fixed, paraffin-embedded tissue after heat-induced antigen retrieval. Antibody concentration 5 ug/ml.