Antibody data
- Antibody Data
- Antigen structure
- References [0]
- Comments [0]
- Validations
- Immunohistochemistry [3]
Submit
Validation data
Reference
Comment
Report error
- Product number
- PA1-20456 - Provider product page

- Provider
- Invitrogen Antibodies
- Product name
- GPR61 Polyclonal Antibody
- Antibody type
- Polyclonal
- Antigen
- Synthetic peptide
- Description
- PA1-20456 detects G Protein-Coupled Receptor GPR61 in Human samples.
- Reactivity
- Human
- Host
- Rabbit
- Isotype
- IgG
- Vial size
- 25 µg
- Concentration
- 1 mg/mL
- Storage
- Store at 4°C short term. For long term storage, store at -20°C, avoiding freeze/thaw cycles.
No comments: Submit comment
Supportive validation
- Submitted by
- Invitrogen Antibodies (provider)
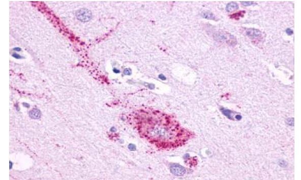
- Main image

- Experimental details
- Immunohistochemistry (Paraffin) analysis of GPR61 in human brain tissue (neurons and glia) using GPR61 Polyclonal Antibody (Product # PA1-20456). Antigen retrival : Heat-induced antigen retrieval.
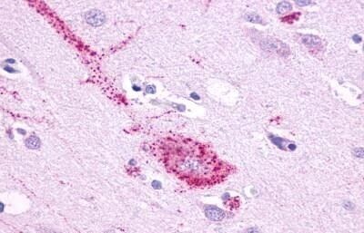
- Submitted by
- Invitrogen Antibodies (provider)
- Main image

- Experimental details
- Immunohistochemical (Paraffin) analysis of human brain, neurons and glia tissue using (Product # PA1-20456) GPR61 Polyclonal Antibody. Antigen retrieval: Heat-induced antigen retrieval.
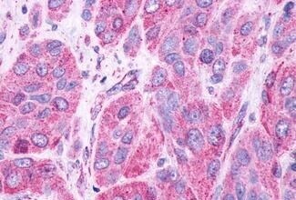
- Submitted by
- Invitrogen Antibodies (provider)
- Main image

- Experimental details
- Immunohistochemical (Paraffin) analysis of human skin, melanoma tissue using (Product # PA1-20456) GPR61 Polyclonal Antibody. Antigen retrieval: Heat-induced antigen retrieval.