Antibody data
- Antibody Data
- Antigen structure
- References [2]
- Comments [0]
- Validations
- Western blot [4]
- Immunohistochemistry [1]
Submit
Validation data
Reference
Comment
Report error
- Product number
- GTX104513 - Provider product page

- Provider
- GeneTex
- Proper citation
- GeneTex Cat#GTX104513, RRID:AB_11172994
- Product name
- IL1RAP antibody [N1N3]
- Antibody type
- Polyclonal
- Reactivity
- Human, Mouse, Porcine
- Host
- Rabbit
Submitted references microRNA-4331 Promotes Transmissible Gastroenteritis Virus (TGEV)-induced Mitochondrial Damage Via Targeting RB1, Upregulating Interleukin-1 Receptor Accessory Protein (IL1RAP), and Activating p38 MAPK Pathway In Vitro.
Regulatory mechanism for expression of IL1B receptors in the uterine endometrium and effects of IL1B on prostaglandin synthetic enzymes during the implantation period in pigs.
Zhao X, Bai X, Guan L, Li J, Song X, Ma X, Guo J, Zhang Z, Du Q, Huang Y, Tong D
Molecular & cellular proteomics : MCP 2018 Feb;17(2):190-204
Molecular & cellular proteomics : MCP 2018 Feb;17(2):190-204
Regulatory mechanism for expression of IL1B receptors in the uterine endometrium and effects of IL1B on prostaglandin synthetic enzymes during the implantation period in pigs.
Seo H, Choi Y, Shim J, Choi Y, Ka H
Biology of reproduction 2012 Aug;87(2):31
Biology of reproduction 2012 Aug;87(2):31
No comments: Submit comment
Supportive validation
- Submitted by
- GeneTex (provider)
- Main image

- Experimental details
- Sample (30 ?g of whole cell lysate) A: Jurkat 7.5% SDS PAGE GTX104513 diluted at 1:1000 The HRP-conjugated anti-rabbit IgG antibody (GTX213110-01) was used to detect the primary antibody.
- Submitted by
- GeneTex (provider)
- Main image

- Experimental details
- Mouse tissue extract (50 ?g) was separated by 7.5% SDS-PAGE, and the membrane was blotted with IL1RAP antibody [N1N3] (GTX104513) diluted at 1:500. The HRP-conjugated anti-rabbit IgG antibody (GTX213110-01) was used to detect the primary antibody.
- Submitted by
- GeneTex (provider)
- Main image

- Experimental details
- HepG2 whole cell and membrane extracts (30 ?g) were separated by 7.5% SDS-PAGE, and the membrane was blotted with IL1RAP antibody [N1N3] (GTX104513) diluted at 1:1000. The HRP-conjugated anti-rabbit IgG antibody (GTX213110-01) was used to detect the primary antibody.
- Submitted by
- GeneTex (provider)
- Main image

- Experimental details
- HepG2 whole cell and membrane extracts (30 ?g) were separated by 7.5% SDS-PAGE, and the membrane was blotted with IL1RAP antibody [N1N3] (GTX104513) diluted at 1:500. The HRP-conjugated anti-rabbit IgG antibody (GTX213110-01) was used to detect the primary antibody.
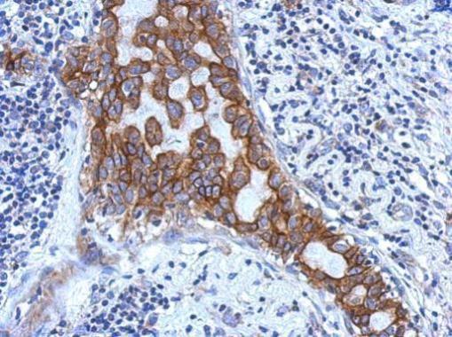
Supportive validation
- Submitted by
- GeneTex (provider)
- Main image

- Experimental details
- Immunohistochemical analysis of paraffin-embedded human breast cancer, using IL1RAP(GTX104513) antibody at 1:500 dilution.