Antibody data
- Antibody Data
- Antigen structure
- References [3]
- Comments [0]
- Validations
- Western blot [1]
- Immunohistochemistry [1]
Submit
Validation data
Reference
Comment
Report error
- Product number
- PAB13171 - Provider product page

- Provider
- Abnova Corporation
- Proper citation
- Abnova Corporation Cat#PAB13171, RRID:AB_10551099
- Product name
- GOPC polyclonal antibody
- Antibody type
- Polyclonal
- Description
- Rabbit polyclonal antibody raised against synthetic peptide of GOPC.
- Storage
- Store at 4°C for three months. For long term storage store at -20°C.Aliquot to avoid repeated freezing and thawing.
Submitted references Autophagy as a cell death and tumor suppressor mechanism.
Tor-mediated induction of autophagy via an Apg1 protein kinase complex.
Reduced autophagic activity in primary rat hepatocellular carcinoma and ascites hepatoma cells.
Gozuacik D, Kimchi A
Oncogene 2004 Apr 12;23(16):2891-906
Oncogene 2004 Apr 12;23(16):2891-906
Tor-mediated induction of autophagy via an Apg1 protein kinase complex.
Kamada Y, Funakoshi T, Shintani T, Nagano K, Ohsumi M, Ohsumi Y
The Journal of cell biology 2000 Sep 18;150(6):1507-13
The Journal of cell biology 2000 Sep 18;150(6):1507-13
Reduced autophagic activity in primary rat hepatocellular carcinoma and ascites hepatoma cells.
Kisen GO, Tessitore L, Costelli P, Gordon PB, Schwarze PE, Baccino FM, Seglen PO
Carcinogenesis 1993 Dec;14(12):2501-5
Carcinogenesis 1993 Dec;14(12):2501-5
No comments: Submit comment
Supportive validation
- Submitted by
- Abnova Corporation (provider)
- Main image

- Experimental details
- Western blot analysis of GOPC in rat colon cell lysate with GOPC polyclonal antibody (Cat # PAB13171) at (A) 1, (B) 2 and (C) 4 ug/mL .
Supportive validation
- Submitted by
- Abnova Corporation (provider)
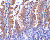
- Main image

- Experimental details
- Immunohistochemistry of GOPC in rat colon tissue with GOPC polyclonal antibody (Cat # PAB13171) at 1 ug/mL .
- Validation comment
- Immunohistochemistry (Formalin/PFA-fixed paraffin-embedded sections)