Antibody data
- Antibody Data
- Antigen structure
- References [2]
- Comments [0]
- Validations
- Western blot [3]
- Immunohistochemistry [8]
Submit
Validation data
Reference
Comment
Report error
- Product number
- NBP1-88648 - Provider product page

- Provider
- Novus Biologicals
- Proper citation
- Novus Cat#NBP1-88648, RRID:AB_11049976
- Product name
- Rabbit Polyclonal FABP7/B-FABP Antibody
- Antibody type
- Polyclonal
- Description
- Immunogen affinity purified. Specificity of human FABP7/B-FABP antibody verified on a Protein Array containing target protein plus 383 other non-specific proteins.
- Reactivity
- Human
- Host
- Rabbit
- Isotype
- IgG
- Vial size
- 0.1 ml
- Storage
- Store at 4C short term. Aliquot and store at -20C long term. Avoid freeze-thaw cycles.
Submitted references FABP7 and HMGCS2 are novel protein markers for apocrine differentiation categorizing apocrine carcinoma of the breast.
Impact of Gender in Renal Cell Carcinoma: The Relationship of FABP7 and BRN2 Expression with Overall Survival.
Gromov P, Espinoza JA, Talman ML, Honma N, Kroman N, Timmermans Wielenga V, Moreira JM, Gromova I
PloS one 2014;9(11):e112024
PloS one 2014;9(11):e112024
Impact of Gender in Renal Cell Carcinoma: The Relationship of FABP7 and BRN2 Expression with Overall Survival.
Tan C, Takayama T, Takaoka N, Fujita H, Miyazaki M, Sugiyama T, Ozono S
Clinical Medicine Insights. Oncology 2014;8:21-7
Clinical Medicine Insights. Oncology 2014;8:21-7
No comments: Submit comment
Supportive validation
- Submitted by
- Novus Biologicals (provider)
- Main image

- Experimental details
- Western Blot: FABP7/B-FABP Antibody [NBP1-88648] - Lane 1: Marker [kDa] 230, 130, 95, 72, 56, 36, 28, 17, 11. Lane 2: Human cell line RT-4. Lane 3: Human cell line U-251MG sp
- Submitted by
- Novus Biologicals (provider)
- Main image

- Experimental details
- Western Blot: FABP7/B-FABP Antibody [NBP1-88648] - Analysis in human cell line WM-115.
- Submitted by
- Novus Biologicals (provider)
- Main image

- Experimental details
- Western Blot: FABP7/B-FABP Antibody [NBP1-88648] - Analysis in human cell line U-251 MG.
Supportive validation
- Submitted by
- Novus Biologicals (provider)
- Main image

- Experimental details
- Immunohistochemistry-Paraffin: FABP7/B-FABP Antibody [NBP1-88648] - Staining of human cerebral cortex shows high expression.
- Submitted by
- Novus Biologicals (provider)
- Main image

- Experimental details
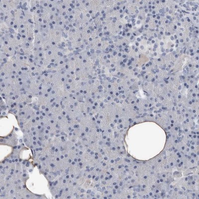
- Immunohistochemistry-Paraffin: FABP7/B-FABP Antibody [NBP1-88648] - Staining of human pancreas shows low expression as expected.
- Submitted by
- Novus Biologicals (provider)
- Main image

- Experimental details
- Immunohistochemistry-Paraffin: FABP7/B-FABP Antibody [NBP1-88648] - Staining of human cerebellum shows strong cytoplasmic positivity in Bergmann glia.
- Submitted by
- Novus Biologicals (provider)
- Main image

- Experimental details
- Immunohistochemistry-Paraffin: FABP7/B-FABP Antibody [NBP1-88648] - Staining of human cerebral cortex shows strong cytoplasmic positivity in glial cells.
- Submitted by
- Novus Biologicals (provider)
- Main image

- Experimental details
- Immunohistochemistry-Paraffin: FABP7/B-FABP Antibody [NBP1-88648] - Staining of human glioma shows strong cytoplasmic positivity in tumor cells.
- Submitted by
- Novus Biologicals (provider)
- Main image

- Experimental details
- Immunohistochemistry-Paraffin: FABP7/B-FABP Antibody [NBP1-88648] - Staining of human pancreas shows no positivity in exocrine glandular cells as expected.
- Submitted by
- Novus Biologicals (provider)
- Main image

- Experimental details
- Immunohistochemistry-Paraffin: FABP7/B-FABP Antibody [NBP1-88648] - Staining of human prostate shows no positivity in glandular cells as expected.
- Submitted by
- Novus Biologicals (provider)
- Main image

- Experimental details
- Immunohistochemistry-Paraffin: FABP7/B-FABP Antibody [NBP1-88648] - Staining in human cerebral cortex and prostate tissues using NBP1-88648 antibody. Corresponding FABP7 RNA-seq data are presented for the same tissues.