Antibody data
- Antibody Data
- Antigen structure
- References [0]
- Comments [0]
- Validations
- Western blot [1]
- Immunocytochemistry [1]
- Immunohistochemistry [13]
Submit
Validation data
Reference
Comment
Report error
- Product number
- UM800053 - Provider product page

- Provider
- OriGene
- Proper citation
- OriGene Cat#UM800053, RRID:AB_2629164
- Product name
- MRPS7 mouse monoclonal antibody,clone UMAB156
- Antibody type
- Monoclonal
- Description
- MRPS7 mouse monoclonal antibody,clone UMAB156
- Host
- Mouse
- Conjugate
- Unconjugated
- Epitope
- MRPS7
- Isotype
- IgG
- Antibody clone number
- UMAB156
- Vial size
- 100 µl
- Concentration
- 1.00mg/ml
No comments: Submit comment
Supportive validation
- Submitted by
- OriGene (provider)
- Main image

- Experimental details
- Western blot analysis of? HCT116 cell lysate (35ug) by using anti-MRPS7 monoclonal antibody.
- Validation comment
- WB
Supportive validation
- Submitted by
- OriGene (provider)
- Main image

- Experimental details
- Immunofluorescent staining of MCF-7 cells using anti-MRPS7 mouse monoclonal antibody (UM800053, green, 1:50). Actin filaments were labeled with Alexa Fluor? 594 Phalloidin (red), and nuclear with DAPI (blue).
- Validation comment
- IF
Supportive validation
- Submitted by
- OriGene (provider)
- Main image

- Experimental details
- Immunohistochemical staining of paraffin-embedded Adenocarcinoma of Human breast tissue using anti-MRPS7 mouse monoclonal antibody. (UM800053; heat-induced epitope retrieval by 1 mM EDTA in 10mM Tris, pH9.0, 120C for 3min)
- Validation comment
- IHC
- Submitted by
- OriGene (provider)
- Main image

- Experimental details
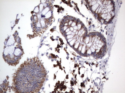
- Immunohistochemical staining of paraffin-embedded Human colon tissue using anti-MRPS7 mouse monoclonal antibody. (UM800053; heat-induced epitope retrieval by 1 mM EDTA in 10mM Tris, pH9.0, 120C for 3min)
- Validation comment
- IHC
- Submitted by
- OriGene (provider)
- Main image

- Experimental details
- Immunohistochemical staining of paraffin-embedded Adenocarcinoma of Human colon tissue using anti-MRPS7 mouse monoclonal antibody. (UM800053; heat-induced epitope retrieval by 1 mM EDTA in 10mM Tris, pH9.0, 120C for 3min)
- Validation comment
- IHC
- Submitted by
- OriGene (provider)
- Main image

- Experimental details
- Immunohistochemical staining of paraffin-embedded Human liver tissue using anti-MRPS7 mouse monoclonal antibody. (UM800053; heat-induced epitope retrieval by 1 mM EDTA in 10mM Tris, pH9.0, 120C for 3min)
- Validation comment
- IHC
- Submitted by
- OriGene (provider)
- Main image

- Experimental details
- Immunohistochemical staining of paraffin-embedded Carcinoma of Human liver tissue using anti-MRPS7 mouse monoclonal antibody. (UM800053; heat-induced epitope retrieval by 1 mM EDTA in 10mM Tris, pH9.0, 120C for 3min)
- Validation comment
- IHC
- Submitted by
- OriGene (provider)
- Main image

- Experimental details
- Immunohistochemical staining of paraffin-embedded Carcinoma of Human lung tissue using anti-MRPS7 mouse monoclonal antibody. (UM800053; heat-induced epitope retrieval by 1 mM EDTA in 10mM Tris, pH9.0, 120C for 3min)
- Validation comment
- IHC
- Submitted by
- OriGene (provider)
- Main image

- Experimental details
- Immunohistochemical staining of paraffin-embedded Human pancreas tissue using anti-MRPS7 mouse monoclonal antibody. (UM800053; heat-induced epitope retrieval by 1 mM EDTA in 10mM Tris, pH9.0, 120C for 3min)
- Validation comment
- IHC
- Submitted by
- OriGene (provider)
- Main image

- Experimental details
- Immunohistochemical staining of paraffin-embedded Carcinoma of Human pancreas tissue using anti-MRPS7 mouse monoclonal antibody. (UM800053; heat-induced epitope retrieval by 1 mM EDTA in 10mM Tris, pH9.0, 120C for 3min)
- Validation comment
- IHC
- Submitted by
- OriGene (provider)
- Main image

- Experimental details
- Immunohistochemical staining of paraffin-embedded Human prostate tissue using anti-MRPS7 mouse monoclonal antibody. (UM800053; heat-induced epitope retrieval by 1 mM EDTA in 10mM Tris, pH9.0, 120C for 3min)
- Validation comment
- IHC
- Submitted by
- OriGene (provider)
- Main image

- Experimental details
- Immunohistochemical staining of paraffin-embedded Human lymph node tissue using anti-MRPS7 mouse monoclonal antibody. (UM800053; heat-induced epitope retrieval by 1 mM EDTA in 10mM Tris, pH9.0, 120C for 3min)
- Validation comment
- IHC
- Submitted by
- OriGene (provider)
- Main image

- Experimental details
- Immunohistochemical staining of paraffin-embedded Human tonsil using anti-MRPS7 mouse monoclonal antibody. (UM800053; heat-induced epitope retrieval by 1 mM EDTA in 10mM Tris, pH9.0, 120C for 3min)
- Validation comment
- IHC
- Submitted by
- OriGene (provider)
- Main image

- Experimental details
- Immunohistochemical staining of paraffin-embedded human composit of placenta using anti-MRPS7 clone UMAB156 mouse monoclonal antibody at 1:200 dilution 1mg/mL and detection with Polink2 Broad HRP DAB. UM800053 requires heat-induced epitope retrieval with citrate pH6.0 in a presure cooker for 3 minutes at 110C. The image shows membranous and cytoplasmic staining in trophoblast cells.
- Validation comment
- IHC
- Submitted by
- OriGene (provider)
- Main image

- Experimental details
- Immunohistochemical staining of paraffin-embedded human normal brain using anti-MRPS7 clone UMAB156 mouse monoclonal antibody at 1:200 dilution 1mg/mL and detection with Polink2 Broad HRP DAB. UM800053 requires heat-induced epitope retrieval with citrate pH6.0 in a presure cooker for 3 minutes at 110C.
- Validation comment
- IHC