Antibody data
- Antibody Data
- Antigen structure
- References [0]
- Comments [0]
- Validations
- Western blot [1]
- Immunocytochemistry [1]
- Immunohistochemistry [3]
Submit
Validation data
Reference
Comment
Report error
- Product number
- ARG54806 - Provider product page

- Provider
- Arigo
- Product name
- anti-AK4 antibody
- Antibody type
- Polyclonal
- Antigen
- KLH-conjugated synthetic peptide around aa. 119-153 (Center) of Human AK4.
- Description
- Purification with Protein A and immunogen peptide.
- Reactivity
- Human, Mouse
- Host
- Rabbit
- Isotype
- IgG
- Vial size
- 200 µl
- Storage
- For continuous use, store undiluted antibody at 2-8°C for up to 6 months. For long-term storage, aliquot and store at -20°C. Storage in frost free freezers is not recommended. Avoid repeated freeze/thaw cycles. The antibody solution should be gently mixed before use.
- Handling
- The antibody solution should be gently mixed before use.
No comments: Submit comment
Supportive validation
- Submitted by
- Arigo (provider)
- Main image

- Experimental details
- Western blot: 35 µg of A431, Hela, HepG2, MCF-7, Raji cell line and mouse kidney tissue lysate (from left to right) stained with ARG54806 anti-AK4 antibody at 1:1000 dilution.
Supportive validation
- Submitted by
- Arigo (provider)
- Main image

- Experimental details
- Immunofluorescence: HepG2 cells stained with ARG54806 anti-AK4 antibody (green) at 1:25 dilution. DAPI was used to stain the cell nuclear (blue). Cytoplasmic actin was counterstained with Alexa Fluor® 555 conjugated with Phalloidin (red).
Supportive validation
- Submitted by
- Arigo (provider)
- Main image

- Experimental details
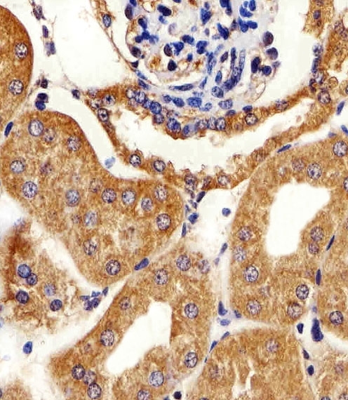
- Immunohistochemistry: paraffin-embedded H.kidney section stained with ARG54806 anti-AK4 antibody at 1:25 dilution.
- Submitted by
- Arigo (provider)
- Main image

- Experimental details
- Immunohistochemistry: paraffin-embedded H.heart section stained with ARG54806 anti-AK4 antibody at 1:25 dilution.
- Submitted by
- Arigo (provider)
- Main image

- Experimental details
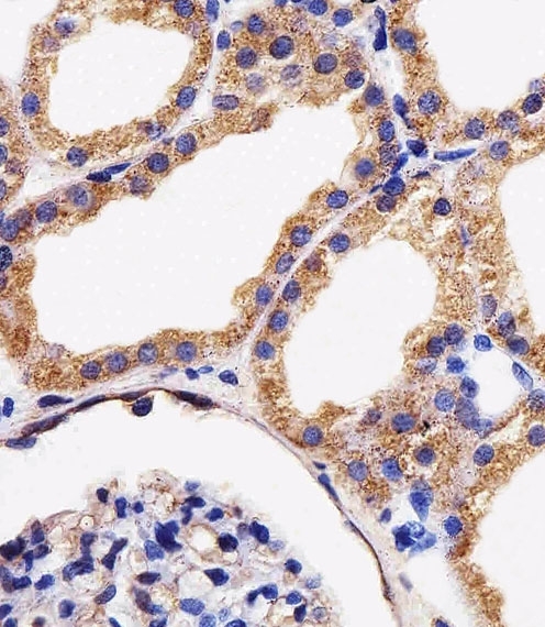
- Immunohistochemistry: paraffin-embedded M.kidney section stained with ARG54806 anti-AK4 antibody at 1:25 dilution.