Antibody data
- Antibody Data
- Antigen structure
- References [0]
- Comments [0]
- Validations
- Western blot [1]
- Immunohistochemistry [4]
Submit
Validation data
Reference
Comment
Report error
- Product number
- LS-C756593 - Provider product page

- Provider
- LSBio
- Product name
- CTSE / Cathepsin E Antibody LS-C756593
- Antibody type
- Polyclonal
- Description
- Immunogen affinity purified
- Reactivity
- Human, Mouse, Rat
- Host
- Rabbit
- Isotype
- IgG
- Storage
- After reconstitution, may be stored at 4°C for 1 month. For long-term storage and to avoid freeze-thaw cycles, aliquot and store at -20°C.
No comments: Submit comment
Enhanced validation
- Submitted by
- LSBio (provider)
- Enhanced method
- Genetic validation
- Main image

- Experimental details
- Western blot analysis of Cathepsin E using anti-Cathepsin E antibody. Electrophoresis was performed on a 5-20% SDS-PAGE gel at 70V (Stacking gel) / 90V (Resolving gel) for 2-3 hours. The sample well of each lane was loaded with 50ug of sample under reducing conditions. Lane 1: rat stomach tissue lysates, Lane 2: mouse stomach tissue lysates, Lane 3: mouse SP20 whole cell lysates. After Electrophoresis, proteins were transferred to a Nitrocellulose membrane at 150mA for 50-90 minutes. Blocked the membrane with 5% Non-fat Milk/ TBS for 1.5 hour at RT. The membrane was incubated with rabbit anti-Cathepsin E antigen affinity purified polyclonal antibody at 0.5 ?g/mL overnight at 4?C, then washed with TBS-0.1% Tween 3 times with 5 minutes each and probed with a goat anti-rabbit IgG-HRP secondary antibody at a dilution of 1:10000 for 1.5 hour at RT. The signal is developed using an Enhanced Chemiluminescent detection (ECL) kit with Tanon 5200 system. A specific band was detected for Cathepsin E at approximately 48KD. The expected band size for Cathepsin E is at 43KD.
Supportive validation
- Submitted by
- LSBio (provider)
- Enhanced method
- Genetic validation
- Main image

- Experimental details
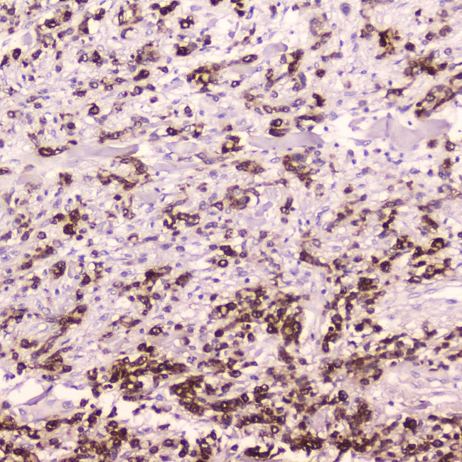
- IHC analysis of Cathepsin E using anti-Cathepsin E antibody. Cathepsin E was detected in paraffin-embedded section of human gastric cancer tissue. Heat mediated antigen retrieval was performed in citrate buffer (pH6, epitope retrieval solution) for 20 mins. The tissue section was blocked with 10% goat serum. The tissue section was then incubated with 2?g/ml rabbit anti-Cathepsin E Antibody overnight at 4?C. Biotinylated goat anti-rabbit IgG was used as secondary antibody and incubated for 30 minutes at 37?C. The tissue section was developed using Strepavidin-Biotin-Complex (SABC) with DAB as the chromogen.
- Submitted by
- LSBio (provider)
- Enhanced method
- Genetic validation
- Main image

- Experimental details
- IHC analysis of Cathepsin E using anti-Cathepsin E antibody. Cathepsin E was detected in paraffin-embedded section of human Lung cancer tissue. Heat mediated antigen retrieval was performed in citrate buffer (pH6, epitope retrieval solution) for 20 mins. The tissue section was blocked with 10% goat serum. The tissue section was then incubated with 2?g/ml rabbit anti-Cathepsin E Antibody overnight at 4?C. Biotinylated goat anti-rabbit IgG was used as secondary antibody and incubated for 30 minutes at 37?C. The tissue section was developed using Strepavidin-Biotin-Complex (SABC) with DAB as the chromogen.
- Submitted by
- LSBio (provider)
- Main image

- Experimental details
- IHC analysis of Cathepsin E using anti-Cathepsin E antibody. Cathepsin E was detected in paraffin-embedded section of human Lung cancer tissue. Heat mediated antigen retrieval was performed in citrate buffer (pH6, epitope retrieval solution) for 20 mins. The tissue section was blocked with 10% goat serum. The tissue section was then incubated with 2?g/ml rabbit anti-Cathepsin E Antibody overnight at 4?C. Biotinylated goat anti-rabbit IgG was used as secondary antibody and incubated for 30 minutes at 37?C. The tissue section was developed using Strepavidin-Biotin-Complex (SABC) with DAB as the chromogen.
- Submitted by
- LSBio (provider)
- Main image

- Experimental details
- IHC analysis of Cathepsin E using anti-Cathepsin E antibody. Cathepsin E was detected in paraffin-embedded section of human gastric cancer tissue. Heat mediated antigen retrieval was performed in citrate buffer (pH6, epitope retrieval solution) for 20 mins. The tissue section was blocked with 10% goat serum. The tissue section was then incubated with 2?g/ml rabbit anti-Cathepsin E Antibody overnight at 4?C. Biotinylated goat anti-rabbit IgG was used as secondary antibody and incubated for 30 minutes at 37?C. The tissue section was developed using Strepavidin-Biotin-Complex (SABC) with DAB as the chromogen.