MA5-50800
antibody from Invitrogen Antibodies
Targeting: RNF146
dactylidin, dJ351K20.1, DKFZp434O1427
Antibody data
- Antibody Data
- Antigen structure
- References [0]
- Comments [0]
- Validations
- Immunocytochemistry [1]
- Immunohistochemistry [2]
- Flow cytometry [1]
Submit
Validation data
Reference
Comment
Report error
- Product number
- MA5-50800 - Provider product page

- Provider
- Invitrogen Antibodies
- Product name
- RNF146 Recombinant Rabbit Monoclonal Antibody (PSH0-29)
- Antibody type
- Monoclonal
- Antigen
- Recombinant full-length protein
- Description
- Positive control: SH-SY5Y cell lysate, NIH/3T3 cell lysate, human testis tissue, human thyroid cancer tissue, NIH/3T3 cell, SH-SY5Y cell. Predicted band size: 39 kDa Subcellular Location: Cytoplasm, Nucleus.
- Reactivity
- Human, Mouse
- Host
- Rabbit
- Isotype
- IgG
- Antibody clone number
- PSH0-29
- Vial size
- 100 μL
- Concentration
- 1 mg/mL
- Storage
- Store at 4°C short term. For long term storage, store at -20°C, avoiding freeze/thaw cycles.
No comments: Submit comment
Supportive validation
- Submitted by
- Invitrogen Antibodies (provider)
- Main image

- Experimental details
- Immunocytochemistry analysis of RNF146 in NIH/3T3 cells. Cells were fixed in 4% paraformaldehyde for 10 minutes at 37 ℃, permeabilized with 0.05% Triton X-100 in PBS for 20 minutes, and then blocked with 2% negative goat serum for 30 minutes at room temperature. Cells were incubated with RNF146 recombinant monoclonal antibody (Product # MA5-50800) with a dilution of 1:100 in 2% negative goat serum overnight at 4 ℃. Followed by secondary antibody Goat Anti-Rabbit IgG H&L (iFluor™ 488) at a dilution of 1:1,000. PBS instead of the primary antibody was used as the secondary antibody only control. Nuclear DNA was labelled in blue with DAPI.
Supportive validation
- Submitted by
- Invitrogen Antibodies (provider)
- Main image

- Experimental details
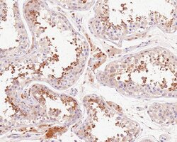
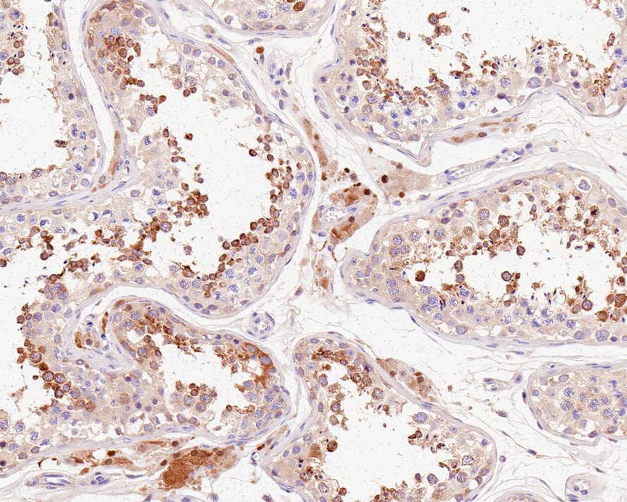
- Immunohistochemistry of RNF146 in paraffin-embedded human testis tissue. The section was pre-treated using heat mediated antigen retrieval with Tris-EDTA buffer (pH 9.0) for 20 minutes. The tissues were blocked in 1% BSA for 20 minutes at room temperature, washed with ddH2O and PBS, and then probed with RNF146 recombinant monoclonal antibody (Product # MA5-50800) with a dilution of 1:1,000 for 1 hour at room temperature. The detection was performed using an HRP conjugated compact polymer system. DAB was used as the chromogen, and tissues were counterstained with hematoxylin and mounted with DPX.
- Submitted by
- Invitrogen Antibodies (provider)
- Main image

- Experimental details
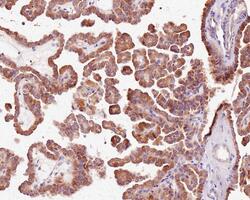
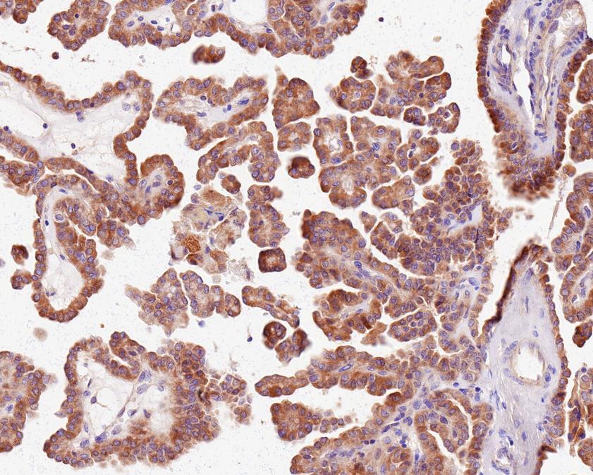
- Immunohistochemistry of RNF146 in paraffin-embedded human thyroid cancer tissue. The section was pre-treated using heat mediated antigen retrieval with Tris-EDTA buffer (pH 9.0) for 20 minutes. The tissues were blocked in 1% BSA for 20 minutes at room temperature, washed with ddH2O and PBS, and then probed with RNF146 recombinant monoclonal antibody (Product # MA5-50800) with a dilution of 1:1,000 for 1 hour at room temperature. The detection was performed using an HRP conjugated compact polymer system. DAB was used as the chromogen, and tissues were counterstained with hematoxylin and mounted with DPX.
Supportive validation
- Submitted by
- Invitrogen Antibodies (provider)
- Main image

- Experimental details
- Flow cytometry analysis of RNF146 in SH-SY5Y cells. The cells were fixed, permeabilized, and then stained with RNF146 recombinant monoclonal antibody (Product # MA5-50800) at a dilution of 1 µg/mL (red) compared with Rabbit IgG Isotype Control (green). After incubation of the primary antibody at 4℃ for an hour, cells were stained with secondary antibody iFluor™ 488 conjugate-Goat anti-Rabbit IgG at a dilution of 1:1,000 for 30 minutes at 4℃. Unlabeled sample was used as a control (cells without incubation with primary antibody; black).