Antibody data
- Antibody Data
- Antigen structure
- References [3]
- Comments [0]
- Validations
- Western blot [1]
- Immunohistochemistry [4]
Submit
Validation data
Reference
Comment
Report error
- Product number
- NBP1-83438 - Provider product page

- Provider
- Novus Biologicals
- Proper citation
- Novus Cat#NBP1-83438, RRID:AB_11036625
- Product name
- Rabbit Polyclonal RECQL5 Antibody
- Antibody type
- Polyclonal
- Description
- Immunogen affinity purified. Specificity of human RECQL5 antibody verified on a Protein Array containing target protein plus 383 other non-specific proteins.
- Reactivity
- Human
- Host
- Rabbit
- Isotype
- IgG
- Vial size
- 0.1 ml
- Storage
- Store at 4C short term. Aliquot and store at -20C long term. Avoid freeze-thaw cycles.
Submitted references Altered RECQ Helicase Expression in Sporadic Primary Colorectal Cancers.
Altered RECQ Helicase Expression in Sporadic Primary Colorectal Cancers.
Immunofluorescence and fluorescent-protein tagging show high correlation for protein localization in mammalian cells.
Lao VV, Welcsh P, Luo Y, Carter KT, Dzieciatkowski S, Dintzis S, Meza J, Sarvetnick NE, Monnat RJ Jr, Loeb LA, Grady WM
Translational oncology 2013 Aug;6(4):458-69
Translational oncology 2013 Aug;6(4):458-69
Altered RECQ Helicase Expression in Sporadic Primary Colorectal Cancers.
Lao VV, Welcsh P, Luo Y, Carter KT, Dzieciatkowski S, Dintzis S, Meza J, Sarvetnick NE, Monnat RJ Jr, Loeb LA, Grady WM
Translational oncology 2013 Aug;6(4):458-69
Translational oncology 2013 Aug;6(4):458-69
Immunofluorescence and fluorescent-protein tagging show high correlation for protein localization in mammalian cells.
Stadler C, Rexhepaj E, Singan VR, Murphy RF, Pepperkok R, Uhlén M, Simpson JC, Lundberg E
Nature methods 2013 Apr;10(4):315-23
Nature methods 2013 Apr;10(4):315-23
No comments: Submit comment
Supportive validation
- Submitted by
- Novus Biologicals (provider)
- Main image

- Experimental details
- Western Blot: RECQL5 Antibody [NBP1-83438] - Analysis in A-549 cells transfected with control siRNA, target specific siRNA probe #1 and #2, using Anti-RECQL5 antibody. Remaining relative intensity is presented. Loading control: Anti-GAPDH.
Supportive validation
- Submitted by
- Novus Biologicals (provider)
- Main image

- Experimental details
- Immunohistochemistry-Paraffin: RECQL5 Antibody [NBP1-83438] - Staining of human cerebral cortex shows moderate to strong nuclear positivity in neurons.
- Submitted by
- Novus Biologicals (provider)
- Main image

- Experimental details
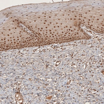
- Immunohistochemistry-Paraffin: RECQL5 Antibody [NBP1-83438] - Staining of human testis shows moderate to strong nuclear positivity in squamous epithelial cells.
- Submitted by
- Novus Biologicals (provider)
- Main image

- Experimental details
- Immunohistochemistry-Paraffin: RECQL5 Antibody [NBP1-83438] - Staining of human cervix, uterine shows moderate to strong nuclear positivity in squamous epithelial cells.
- Submitted by
- Novus Biologicals (provider)
- Main image

- Experimental details
- Immunohistochemistry-Paraffin: RECQL5 Antibody [NBP1-83438] - Staining of human placenta shows no positivity in stromal cells as expected.