V8456
antibody from NSJ Bioreagents
Targeting: SERBP1
CGI-55, CHD3IP, DKFZP564M2423, HABP4L, PAI-RBP1, PAIRBP1
Antibody data
- Antibody Data
- Antigen structure
- References [0]
- Comments [0]
- Validations
- Western blot [1]
- Immunohistochemistry [2]
- Protein array [1]
- Other assay [1]
Submit
Validation data
Reference
Comment
Report error
- Product number
- V8456 - Provider product page

- Provider
- NSJ Bioreagents
- Product name
- PAI-RBP1 Antibody / SERBP1
- Antibody type
- Monoclonal
- Description
- This highly specific PAI-RBP1 antibody is suitable for use in Western blot/Immunohistochemistry applications with human samples.
- Reactivity
- Human
- Host
- Mouse
- Conjugate
- Unconjugated
- Antibody clone number
- SERBP1/3492
- Vial size
- 20 ug (with BSA and sodium azide), 100 ug (with BSA and sodium azide), 100 ug (without BSA or sodium azide), 7 ml IHC only format (if applicable)
- Concentration
- 0.2 mg/ml, 1 mg/ml
- Storage
- Store the PAI-RBP1 antibody at 2-8oC (with azide) or aliquot and store at -20oC or colder (without azide).
No comments: Submit comment
Supportive validation
- Submitted by
- NSJ Bioreagents (provider)
- Main image

- Experimental details
- Western blot testing of human 1) K562 and 2) PC-3 cell lysate with PAI-RBP1 antibody. Predicted molecular weight ~45 kDa but observed at 45-60 kDa.
Supportive validation
- Submitted by
- NSJ Bioreagents (provider)
- Main image

- Experimental details
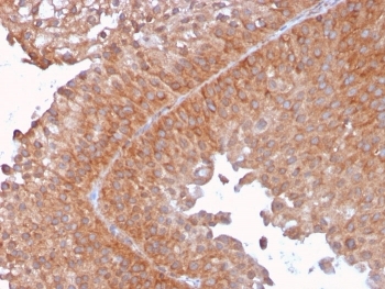
- IHC staining of FFPE human urothelial carcinoma with PAI-RBP1 antibody. HIER: boil tissue sections in pH 9 10mM Tris with 1mM EDTA for 20 min and allow to cool before testing.
- Submitted by
- NSJ Bioreagents (provider)
- Main image

- Experimental details
- IHC staining of FFPE human urothelial carcinoma with PAI-RBP1 antibody. HIER: boil tissue sections in pH 9 10mM Tris with 1mM EDTA for 20 min and allow to cool before testing.
Supportive validation
- Submitted by
- NSJ Bioreagents (provider)
- Main image

- Experimental details
- Analysis of HuProt(TM) microarray containing more than 19,000 full-length human proteins using SERBP1 / PAI-RBP1 antibody. These results demonstrate the foremost specificity of the SERBP1/3492 mAb. Z- and S- score: The Z-score represents the strength of a signal that an antibody (in combination with a fluorescently-tagged anti-IgG secondary Ab) produces when binding to a particular protein on the HuProt(TM) array. Z-scores are described in units of standard deviations (SD's) above the mean value of all signals generated on that array. If the targets on the HuProt(TM) are arranged in descending order of the Z-score, the S-score is the difference (also in units of SD's) between the Z-scores. The S-score therefore represents the relative target specificity of an Ab to its intended target.
Supportive validation
- Submitted by
- NSJ Bioreagents (provider)
- Main image

- Experimental details
- SDS-PAGE analysis of purified, BSA-free PAI-RBP1 antibody as confirmation of integrity and purity.