Antibody data
- Antibody Data
- Antigen structure
- References [0]
- Comments [0]
- Validations
- Western blot [2]
- Immunohistochemistry [7]
Submit
Validation data
Reference
Comment
Report error
- Product number
- NBP1-86078 - Provider product page

- Provider
- Novus Biologicals
- Proper citation
- Novus Cat#NBP1-86078, RRID:AB_11002768
- Product name
- Rabbit Polyclonal Plakophilin 2 Antibody
- Antibody type
- Polyclonal
- Description
- Immunogen affinity purified. Specificity of human Plakophilin 2 antibody verified on a Protein Array containing target protein plus 383 other non-specific proteins.
- Reactivity
- Human
- Host
- Rabbit
- Isotype
- IgG
- Vial size
- 0.1 ml
- Storage
- Store at 4C short term. Aliquot and store at -20C long term. Avoid freeze-thaw cycles.
No comments: Submit comment
Supportive validation
- Submitted by
- Novus Biologicals (provider)
- Main image

- Experimental details
- Western Blot: Plakophilin 2 Antibody [NBP1-86078] - Analysis in human cell lines Caco-2 and SK-MEL-30. Corresponding RNA-seq data are presented for the same cell lines. Loading control: Anti-GAPDH.
- Submitted by
- Novus Biologicals (provider)
- Main image

- Experimental details
- Western Blot: Plakophilin 2 Antibody [NBP1-86078] - Staining of human heart muscle, kidney, liver and testis using Anti-PKP2 antibody NBP1-86078 (A) shows similar protein distribution across tissues to independent antibody NBP2-58748 (B).
Supportive validation
- Submitted by
- Novus Biologicals (provider)
- Main image

- Experimental details
- Immunohistochemistry-Paraffin: Plakophilin 2 Antibody [NBP1-86078] - Staining of human heart muscle shows high expression.
- Submitted by
- Novus Biologicals (provider)
- Main image

- Experimental details
- Immunohistochemistry-Paraffin: Plakophilin 2 Antibody [NBP1-86078] - Staining of human skeletal muscle shows low expression as expected.
- Submitted by
- Novus Biologicals (provider)
- Main image

- Experimental details
- Immunohistochemistry-Paraffin: Plakophilin 2 Antibody [NBP1-86078] - Staining in human heart muscle and skeletal muscle tissues using anti-PKP2 antibody. Corresponding PKP2 RNA-seq data are presented for the same tissues.
- Submitted by
- Novus Biologicals (provider)
- Main image

- Experimental details
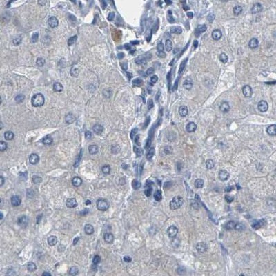
- Immunohistochemistry-Paraffin: Plakophilin 2 Antibody [NBP1-86078] - Staining of human liver.
- Submitted by
- Novus Biologicals (provider)
- Main image

- Experimental details
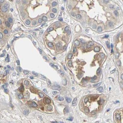
- Immunohistochemistry-Paraffin: Plakophilin 2 Antibody [NBP1-86078] - Staining of human kidney.
- Submitted by
- Novus Biologicals (provider)
- Main image

- Experimental details
- Immunohistochemistry-Paraffin: Plakophilin 2 Antibody [NBP1-86078] - Staining of human heart muscle using Anti-PKP2 antibody NBP1-86078.
- Submitted by
- Novus Biologicals (provider)
- Main image

- Experimental details
- Immunohistochemistry-Paraffin: Plakophilin 2 Antibody [NBP1-86078] - Staining of human testis.