Antibody data
- Antibody Data
- Antigen structure
- References [68]
- Comments [0]
- Validations
- Western blot [1]
- Immunohistochemistry [2]
Submit
Validation data
Reference
Comment
Report error
- Product number
- 13938-1-AP - Provider product page

- Provider
- Proteintech Group
- Proper citation
- Proteintech Cat#13938-1-AP, RRID:AB_2082010
- Product name
- Calponin antibody
- Antibody type
- Polyclonal
- Description
- Calponin antibody (Cat. #13938-1-AP) is a rabbit polyclonal antibody that shows reactivity with human, mouse, rat and has been validated for the following applications: IF, IHC, IP, WB,ELISA.
- Reactivity
- Human, Mouse, Rat
- Host
- Rabbit
- Conjugate
- Unconjugated
- Isotype
- IgG
- Vial size
- 20ul, 150ul
Submitted references Arachidonic Acid-Induced Contraction of Smooth Muscle Is Mediated by MLC Phosphorylation in Preterm Birth.
Cytoskeletal-related genes function as checkpoints for the maintenance of VSMC contractile phenotype and prevent pathological remodeling in arterial diseases.
Safeguarding VSMC Contractile Phenotype With In Situ circRNA-mediated Endothelial Olaratumab Engineering to Prevent Vascular Graft Stenosis.
Microenvironment-activatable nanoagent for real-time NIR-II monitoring and targeted therapy of arterial restenosis.
Improving erectile function in diabetic male mice by rescuing depalmitoylated FBP1 to reduce cavernosal lactate.
Injury and cyclic stretch induce vein graft failure: effective treatment with zinc oxide-loaded electrospun polycaprolactone external stent.
The miR-3164/PAD4 axis regulates NETosis to prevent airway inflammation and remodeling through the TLR2/NF-κB signaling pathway.
Role and mechanism of piR-0228 targeting RIPK1 to regulate vascular remodeling and aortic dissection.
Sulfur Dioxide Alleviates Aortic Dissection Through Inhibiting Vascular Smooth Muscle Cell Phenotype Switch, Migration, and Proliferation via miR-184-3p/Cyp26b1 Axis.
Adipose stem cells ameliorate erectile dysfunction in diabetes mellitus rats by attenuating ferroptosis through NRP1 with SLC7A11 interaction.
Smooth muscle cell Piezo1 is essential for phenotypic switch and neointimal hyperplasia.
Mineralocorticoid receptor antagonism attenuates arteriovenous fistula stenosis by modulating the phenotype of vascular smooth muscle cells.
Rediscovering the rete ovarii, a secreting auxiliary structure to the ovary.
Qianyang Yuyin granules alleviate hypertension-induced vascular remodeling by inhibiting the phenotypic switch of vascular smooth muscle cells.
Selenoprotein M protects cardiac endothelial cell integrity against high-glucose stress via enhancing Parkin-mediated mitophagy.
Quercetin improves airway remodeling in COPD rats by suppressing phenotypic switch of ASMCs via inhibiting the Wnt5a/β-catenin pathway.
Isovaleroylbinankadsurin A ameliorates atherosclerosis and restenosis by promoting LXRα signaling pathway and inhibiting TGF-β1 and FHL1 signaling pathways.
Insulin-transferrin-selenium promote formation of tissue-engineered vascular grafts in early stage of culture.
Irisin suppresses PDGF-BB-induced proliferation of vascular smooth muscle cells in vitro by activating AMPK/mTOR-mediated autophagy.
Mitochondria-targeted hydrogen sulfide donor reduces atherogenesis by changing macrophage phenotypes and increasing UCP1 expression in vascular smooth muscle cells.
Rediscovering the Rete Ovarii: a secreting auxiliary structure to the ovary.
TRIM65 promotes vascular smooth muscle cell phenotypic transformation by activating PI3K/Akt/mTOR signaling during atherogenesis.
Cysteine and glycine-rich protein 2 retards platelet-derived growth factor-BB-evoked phenotypic transition of airway smooth muscle cells by decreasing YAP/TAZ activity.
The Key Role of Liraglutide in Preventing Autophagy of Vascular Smooth Muscle Cells in High Glucose Conditions.
Macromolecular Crowding Enhances Matrix Protein Deposition in Tissue-Engineered Vascular Grafts.
Circ_0008571 modulates the phenotype of vascular smooth muscle cells by targeting miR-145-5p in intracranial aneurysms.
Carrageenan maintains the contractile phenotype of vascular smooth muscle cells by increasing macromolecular crowding in vitro.
Transcriptome Analysis of Human Vascular Smooth Muscle Cells Cultured on a Polyglycolic Acid Mesh Scaffold.
EZH2 and matrix co-regulate phenotype and KCNB2 expression in bladder smooth muscle cells.
Cistanche deserticola Polysaccharide Reduces Inflammation and Aging Phenotypes in the Dermal Fibroblasts through the Activation of the NRF2/HO-1 Pathway.
MiR-21-3p in extracellular vesicles from vascular fibroblasts of spontaneously hypertensive rat promotes proliferation and migration of vascular smooth muscle cells.
A role of TRIM59 in pulmonary hypertension: modulating the protein ubiquitylation modification.
Integrative multiomics analysis of neointima proliferation in human saphenous vein: implications for bypass graft disease.
Experimental conditions and protein markers for redifferentiation of human coronary artery smooth muscle cells.
FAM3A mediates the phenotypic switch of human aortic smooth muscle cells stimulated with oxidised low-density lipoprotein by influencing the PI3K-AKT pathway.
Betulinaldehyde inhibits vascular remodeling by regulating the microenvironment through the PLCγ1/Ca(2+)/MMP9 pathway.
Lin28b delays vasculature aging by reducing platelet-derived growth factor-beta resistance in senescent vascular smooth muscle cells.
PKR deficiency delays vascular aging via inhibiting GSDMD-mediated endothelial cell hyperactivation.
Fate mapping RNA-sequencing reveal Malat1 regulates Sca1(+) progenitor cells to vascular smooth muscle cells transition in vascular remodeling.
Hsa_circ_0031608: A Potential Modulator of VSMC Phenotype in the Rupture of Intracranial Aneurysms.
Stanniocalcin 2 Is Upregulated by Calcium-Sensing Receptor and Protects Human Vascular Smooth Muscle Cells from High-Phosphate-Induced Apoptosis.
Metabonomics profile analysis in inflammation-induced preterm birth and the potential role of metabolites in regulating premature cervical ripening.
Sildenafil (Viagra) Aggravates the Development of Experimental Abdominal Aortic Aneurysm.
Functional and Genetic Characterization of Porcine Beige Adipocytes.
PVT1/miR-145-5p/HK2 modulates vascular smooth muscle cells phenotype switch via glycolysis: The new perspective on the spiral artery remodeling.
Identification of transfer RNA-derived fragments and their potential roles in aortic dissection.
The near-infrared dye IR-61 restores erectile function in a streptozotocin-induced diabetes model via mitochondrial protection.
Effects of carotid baroreceptor stimulation on aortic remodeling in obese rats.
TWIST1 induces phenotypic switching of vascular smooth muscle cells by downregulating p68 and microRNA-143/145.
Suppression of autophagy through JAK2/STAT3 contributes to the therapeutic action of rhynchophylline on asthma.
MicroRNA-520c-3p targeting of RelA/p65 suppresses atherosclerotic plaque formation.
Circular RNA circEsyt2 regulates vascular smooth muscle cell remodeling via splicing regulation.
Transforming Growth Factor β1 Increases Expression of Contractile Genes in Human Pulmonary Arterial Smooth Muscle Cells by Potentiating Sphingosine-1-Phosphate Signaling.
Intraductal administration of N-methyl-N-nitrosourea as a novel rodent mammary tumor model.
Salvia miltiorrhiza-derived miRNAs suppress vascular remodeling through regulating OTUD7B/KLF4/NMHC IIA axis.
Apoptosis repressor with caspase recruitment domain promotes cell proliferation and phenotypic modulation through 14-3-3ε/YAP signaling in vascular smooth muscle cells.
Mitochondrial Protein Poldip2 (Polymerase Delta Interacting Protein 2) Controls Vascular Smooth Muscle Differentiated Phenotype by O-Linked GlcNAc (N-Acetylglucosamine) Transferase-Dependent Inhibition of a Ubiquitin Proteasome System.
Hybrid electrospun rapamycin-loaded small-diameter decellularized vascular grafts effectively inhibit intimal hyperplasia.
Gastroparesis is associated with decreased FOXF1 and FOXF2 in humans, and loss of FOXF1 and FOXF2 results in gastroparesis in mice.
Rutaecarpine prevented ox-LDL-induced VSMCs dysfunction through inhibiting overexpression of connexin 43.
Rhynchophylline attenuates allergic bronchial asthma by inhibiting transforming growth factor-β1-mediated Smad and mitogen-activated protein kinase signaling transductions in vivo and in vitro.
Vascular smooth muscle-MAPK14 is required for neointimal hyperplasia by suppressing VSMC differentiation and inducing proliferation and inflammation.
Sp1 Plays an Important Role in Vascular Calcification Both In Vivo and In Vitro.
FAM3B mediates high glucose-induced vascular smooth muscle cell proliferation and migration via inhibition of miR-322-5p.
Dual Function for Mature Vascular Smooth Muscle Cells During Arteriovenous Fistula Remodeling.
In vitro differentiation of endometrial regenerative cells into smooth muscle cells: Α potential approach for the management of pelvic organ prolapse.
CRISPR-Cas9 genome editing of a single regulatory element nearly abolishes target gene expression in mice--brief report.
Tanshinone IIA attenuates interleukin-17A-induced systemic sclerosis patient-derived dermal vascular smooth muscle cell activation via inhibition of the extracellular signal-regulated kinase signaling pathway.
Chen X, Chen J, Qiu J, Yan Y, Zhang R
Journal of pregnancy 2026;2026(1):e8266780
Journal of pregnancy 2026;2026(1):e8266780
Cytoskeletal-related genes function as checkpoints for the maintenance of VSMC contractile phenotype and prevent pathological remodeling in arterial diseases.
Liu Y, Zeng L, Cai Q, Zeng Y, Zheng S, Gong X, Zhou L, Tian M, Chen L, Wu G, Zeng C
Journal of advanced research 2026 Mar;81:689-707
Journal of advanced research 2026 Mar;81:689-707
Safeguarding VSMC Contractile Phenotype With In Situ circRNA-mediated Endothelial Olaratumab Engineering to Prevent Vascular Graft Stenosis.
Hu S, Ling S, Liang F, Pan Y, Wang J, Bao W, Zhu J, Wang F, Du Y, Cui W, Yin M
Advanced materials (Deerfield Beach, Fla.) 2026 Mar;38(17):e22615
Advanced materials (Deerfield Beach, Fla.) 2026 Mar;38(17):e22615
Microenvironment-activatable nanoagent for real-time NIR-II monitoring and targeted therapy of arterial restenosis.
Meng X, Song J, Meng H, Liao C, Yin Z, Gong K, Kong D, Qi J, Duan Y
Biomaterials 2026 Jan;324:123482
Biomaterials 2026 Jan;324:123482
Improving erectile function in diabetic male mice by rescuing depalmitoylated FBP1 to reduce cavernosal lactate.
Xiao M, Guo W, Zeng R, Wu S, Jin X
Nature communications 2026 Jan 16;17(1):1740
Nature communications 2026 Jan 16;17(1):1740
Injury and cyclic stretch induce vein graft failure: effective treatment with zinc oxide-loaded electrospun polycaprolactone external stent.
Ma T, Tian W, Zhu F, Qi Y, Huang K
Regenerative biomaterials 2025;12:rbaf119
Regenerative biomaterials 2025;12:rbaf119
The miR-3164/PAD4 axis regulates NETosis to prevent airway inflammation and remodeling through the TLR2/NF-κB signaling pathway.
He L, Qiang R, Li W
European journal of medical research 2025 Oct 9;30(1):947
European journal of medical research 2025 Oct 9;30(1):947
Role and mechanism of piR-0228 targeting RIPK1 to regulate vascular remodeling and aortic dissection.
Li X, Wang W, Wang S, Li X, Zhang B, Stephen BE, Yu T, Wang J, Yang Y
Atherosclerosis 2025 Nov;410:120459
Atherosclerosis 2025 Nov;410:120459
Sulfur Dioxide Alleviates Aortic Dissection Through Inhibiting Vascular Smooth Muscle Cell Phenotype Switch, Migration, and Proliferation via miR-184-3p/Cyp26b1 Axis.
He J, Huang K, Fan X, Chang G
Antioxidants & redox signaling 2025 May;42(13-15):672-686
Antioxidants & redox signaling 2025 May;42(13-15):672-686
Adipose stem cells ameliorate erectile dysfunction in diabetes mellitus rats by attenuating ferroptosis through NRP1 with SLC7A11 interaction.
Luo JQ, Wang L, Liao ZQ, Lu BX, Luo CY, He HY, Ou Yang ZH, Duan SB, He SH, Wei AY, Zhang HB
Free radical biology & medicine 2025 May;232:40-55
Free radical biology & medicine 2025 May;232:40-55
Smooth muscle cell Piezo1 is essential for phenotypic switch and neointimal hyperplasia.
Zhang FR, Tang J, Lai Y, Mo SQ, Lin ZM, Lei QQ, Han CC, Zhou AD, Lv XF, Wang C, Ou JS, Zhou JG, Pang RP
British journal of pharmacology 2025 May;182(9):2031-2048
British journal of pharmacology 2025 May;182(9):2031-2048
Mineralocorticoid receptor antagonism attenuates arteriovenous fistula stenosis by modulating the phenotype of vascular smooth muscle cells.
Liu Y, Chen B, Chen K, Wang Y, Zhou C, Liang X, Wang K, Wang P
Nephrology, dialysis, transplantation : official publication of the European Dialysis and Transplant Association - European Renal Association 2025 May 30;40(6):1124-1136
Nephrology, dialysis, transplantation : official publication of the European Dialysis and Transplant Association - European Renal Association 2025 May 30;40(6):1124-1136
Rediscovering the rete ovarii, a secreting auxiliary structure to the ovary.
Anbarci DN, McKey J, Levic DS, Bagnat M, Capel B
eLife 2025 Mar 19;13
eLife 2025 Mar 19;13
Qianyang Yuyin granules alleviate hypertension-induced vascular remodeling by inhibiting the phenotypic switch of vascular smooth muscle cells.
Fan Y, Jialiken D, Zheng Z, Zhang W, Zhang S, Zheng Y, Sun Z, Zhang H, Yan X, Liu M, Fang Z
Journal of ethnopharmacology 2025 Jan 30;337(Pt 3):118896
Journal of ethnopharmacology 2025 Jan 30;337(Pt 3):118896
Selenoprotein M protects cardiac endothelial cell integrity against high-glucose stress via enhancing Parkin-mediated mitophagy.
Zhao B, Tan WL, Yu BB, Fan J, Liu C, Liu J, Liu Z
Molecular and cellular endocrinology 2025 Jan 1;595:112392
Molecular and cellular endocrinology 2025 Jan 1;595:112392
Quercetin improves airway remodeling in COPD rats by suppressing phenotypic switch of ASMCs via inhibiting the Wnt5a/β-catenin pathway.
Zhou H, Lai Y, Zhu Y, Shao F, Ma G, Yang N, Ma X, Sun Y, Shi Q
Phytomedicine : international journal of phytotherapy and phytopharmacology 2025 Apr;139:156491
Phytomedicine : international journal of phytotherapy and phytopharmacology 2025 Apr;139:156491
Isovaleroylbinankadsurin A ameliorates atherosclerosis and restenosis by promoting LXRα signaling pathway and inhibiting TGF-β1 and FHL1 signaling pathways.
Shi Y, Liu L, Gong Y, Zhang C, Yang Y, Wang W, Qin L
Phytomedicine : international journal of phytotherapy and phytopharmacology 2025 Apr;139:156451
Phytomedicine : international journal of phytotherapy and phytopharmacology 2025 Apr;139:156451
Insulin-transferrin-selenium promote formation of tissue-engineered vascular grafts in early stage of culture.
Sun X, Wang N, Jiang H, Liu Q, Xiao C, Xu J, Wu Y, Mei J, Wu S, Lin Z
Preparative biochemistry & biotechnology 2024 Oct;54(9):1186-1195
Preparative biochemistry & biotechnology 2024 Oct;54(9):1186-1195
Irisin suppresses PDGF-BB-induced proliferation of vascular smooth muscle cells in vitro by activating AMPK/mTOR-mediated autophagy.
Qi F, Deng Y, Huang W, Cai Y, Hong K, Xiang S
European journal of histochemistry : EJH 2024 Oct 15;68(4)
European journal of histochemistry : EJH 2024 Oct 15;68(4)
Mitochondria-targeted hydrogen sulfide donor reduces atherogenesis by changing macrophage phenotypes and increasing UCP1 expression in vascular smooth muscle cells.
Stachowicz A, Wiśniewska A, Czepiel K, Pomierny B, Skórkowska A, Kuśnierz-Cabala B, Surmiak M, Kuś K, Wood ME, Torregrossa R, Whiteman M, Olszanecki R
Biomedicine & pharmacotherapy = Biomedecine & pharmacotherapie 2024 Nov;180:117527
Biomedicine & pharmacotherapy = Biomedecine & pharmacotherapie 2024 Nov;180:117527
Rediscovering the Rete Ovarii: a secreting auxiliary structure to the ovary.
Anbarci DN, McKey J, Levic DS, Bagnat M, Capel B
bioRxiv : the preprint server for biology 2024 Nov 11;
bioRxiv : the preprint server for biology 2024 Nov 11;
TRIM65 promotes vascular smooth muscle cell phenotypic transformation by activating PI3K/Akt/mTOR signaling during atherogenesis.
Zhou ZX, Ma XF, Xiong WH, Ren Z, Jiang M, Deng NH, Zhou BB, Liu HT, Zhou K, Hu HJ, Tang HF, Zheng H, Jiang ZS
Atherosclerosis 2024 Mar;390:117430
Atherosclerosis 2024 Mar;390:117430
Cysteine and glycine-rich protein 2 retards platelet-derived growth factor-BB-evoked phenotypic transition of airway smooth muscle cells by decreasing YAP/TAZ activity.
Wang H, Zhang Y, Zhong B, Geng Y, Hao J, Jin Q, Hou W
Cell biochemistry and function 2024 Jan;42(1):e3896
Cell biochemistry and function 2024 Jan;42(1):e3896
The Key Role of Liraglutide in Preventing Autophagy of Vascular Smooth Muscle Cells in High Glucose Conditions.
Shi L, Hao M, Qu G, Xu Y, Cui Z, Geng L, Kuang H
Balkan medical journal 2024 Jan 3;41(1):54-63
Balkan medical journal 2024 Jan 3;41(1):54-63
Macromolecular Crowding Enhances Matrix Protein Deposition in Tissue-Engineered Vascular Grafts.
Liu Q, Liu J, Sun XH, Xu JY, Xiao C, Jiang HJ, Wu YD, Lin ZY
Tissue engineering. Part A 2024 Aug;30(15-16):473-484
Tissue engineering. Part A 2024 Aug;30(15-16):473-484
Circ_0008571 modulates the phenotype of vascular smooth muscle cells by targeting miR-145-5p in intracranial aneurysms.
Lu Z, Zhu S, Wu Y, Xu X, Li S, Huang Q
Biochimica et biophysica acta. Molecular basis of disease 2024 Aug;1870(6):167278
Biochimica et biophysica acta. Molecular basis of disease 2024 Aug;1870(6):167278
Carrageenan maintains the contractile phenotype of vascular smooth muscle cells by increasing macromolecular crowding in vitro.
Liu Q, Jiang HJ, Wu YD, Li JD, Sun XH, Xiao C, Xu JY, Lin ZY
European journal of medical research 2024 Apr 22;29(1):249
European journal of medical research 2024 Apr 22;29(1):249
Transcriptome Analysis of Human Vascular Smooth Muscle Cells Cultured on a Polyglycolic Acid Mesh Scaffold.
Liu J, Feng Z, Liu P, Fang L, Wang X, Lao H, Wu Y, Lin Z
Journal of tissue engineering and regenerative medicine 2023;2023:9956190
Journal of tissue engineering and regenerative medicine 2023;2023:9956190
EZH2 and matrix co-regulate phenotype and KCNB2 expression in bladder smooth muscle cells.
Yadav P, Ahmed T, Park S, Sidler M, Schröder A, Aitken KJ, Bägli D
American journal of clinical and experimental urology 2023;11(4):293-303
American journal of clinical and experimental urology 2023;11(4):293-303
Cistanche deserticola Polysaccharide Reduces Inflammation and Aging Phenotypes in the Dermal Fibroblasts through the Activation of the NRF2/HO-1 Pathway.
Takaya K, Asou T, Kishi K
International journal of molecular sciences 2023 Oct 28;24(21)
International journal of molecular sciences 2023 Oct 28;24(21)
MiR-21-3p in extracellular vesicles from vascular fibroblasts of spontaneously hypertensive rat promotes proliferation and migration of vascular smooth muscle cells.
Zheng F, Ye C, Ge R, Wang Y, Tian XL, Chen Q, Li YH, Zhu GQ, Zhou B
Life sciences 2023 Oct 1;330:122023
Life sciences 2023 Oct 1;330:122023
A role of TRIM59 in pulmonary hypertension: modulating the protein ubiquitylation modification.
Liu Y, Zhu L, Ming Y, Wu Z, Zhang L, Chen Q, Qi Y
Journal of translational medicine 2023 Nov 17;21(1):821
Journal of translational medicine 2023 Nov 17;21(1):821
Integrative multiomics analysis of neointima proliferation in human saphenous vein: implications for bypass graft disease.
Kim D, Goo B, Shi H, Coffey P, Veerapaneni P, Chouhaita R, Cyriac N, Aboud G, Cave S, Greenway J, Mundkur R, Ahmadieh S, Harb R, Ogbi M, Fulton DJ, Huo Y, Zhang W, Long X, Guha A, Kim HW, Shi Y, Rice RD, Gallo DR, Patel V, Lee R, Weintraub NL
bioRxiv : the preprint server for biology 2023 Nov 17;
bioRxiv : the preprint server for biology 2023 Nov 17;
Experimental conditions and protein markers for redifferentiation of human coronary artery smooth muscle cells.
Shinozaki R, Eguchi R, Wakabayashi I
Biomedical reports 2023 Mar;18(3):24
Biomedical reports 2023 Mar;18(3):24
FAM3A mediates the phenotypic switch of human aortic smooth muscle cells stimulated with oxidised low-density lipoprotein by influencing the PI3K-AKT pathway.
Yang L, Du B, Zhang S, Wang M
In vitro cellular & developmental biology. Animal 2023 Jun;59(6):431-442
In vitro cellular & developmental biology. Animal 2023 Jun;59(6):431-442
Betulinaldehyde inhibits vascular remodeling by regulating the microenvironment through the PLCγ1/Ca(2+)/MMP9 pathway.
Fu Y, Huang J, He S, Yan X, Wang X, Lian H, Zeng Y, Li D, Guo R
Phytomedicine : international journal of phytotherapy and phytopharmacology 2023 Jul 25;116:154891
Phytomedicine : international journal of phytotherapy and phytopharmacology 2023 Jul 25;116:154891
Lin28b delays vasculature aging by reducing platelet-derived growth factor-beta resistance in senescent vascular smooth muscle cells.
Bian S, Jiang Y, Dai Z, Wu X, Li B, Wang N, Bian W, Zhong W
Atherosclerosis 2023 Jan;364:29-38
Atherosclerosis 2023 Jan;364:29-38
PKR deficiency delays vascular aging via inhibiting GSDMD-mediated endothelial cell hyperactivation.
Peng Z, Tan X, Xie L, Li Z, Zhou S, Li Y
iScience 2023 Jan 20;26(1):105909
iScience 2023 Jan 20;26(1):105909
Fate mapping RNA-sequencing reveal Malat1 regulates Sca1(+) progenitor cells to vascular smooth muscle cells transition in vascular remodeling.
Lyu L, Li Z, Wen Z, He Y, Wang X, Jiang L, Zhou X, Huang C, Wu Y, Chen T, Guo X
Cellular and molecular life sciences : CMLS 2023 Apr 6;80(5):118
Cellular and molecular life sciences : CMLS 2023 Apr 6;80(5):118
Hsa_circ_0031608: A Potential Modulator of VSMC Phenotype in the Rupture of Intracranial Aneurysms.
Wang C, Luo Y, Tang H, Yan Y, Chang X, Zhao R, Li Q, Yang P, Hong B, Xu Y, Huang Q, Liu J
Frontiers in molecular neuroscience 2022;15:842865
Frontiers in molecular neuroscience 2022;15:842865
Stanniocalcin 2 Is Upregulated by Calcium-Sensing Receptor and Protects Human Vascular Smooth Muscle Cells from High-Phosphate-Induced Apoptosis.
Liu FF, Zhang AH, Huang HD, Liu X, Diao ZL, Deng D, Liu WH
Cardiorenal medicine 2022;12(5-6):214-228
Cardiorenal medicine 2022;12(5-6):214-228
Metabonomics profile analysis in inflammation-induced preterm birth and the potential role of metabolites in regulating premature cervical ripening.
Yan Y, Gu Z, Li B, Guo X, Zhang Z, Zhang R, Bian Z, Qiu J
Reproductive biology and endocrinology : RB&E 2022 Sep 6;20(1):135
Reproductive biology and endocrinology : RB&E 2022 Sep 6;20(1):135
Sildenafil (Viagra) Aggravates the Development of Experimental Abdominal Aortic Aneurysm.
Zhang C, Mohan A, Shi H, Yan C
Journal of the American Heart Association 2022 Jan 18;11(2):e023053
Journal of the American Heart Association 2022 Jan 18;11(2):e023053
Functional and Genetic Characterization of Porcine Beige Adipocytes.
Zhang L, Hu S, Cao C, Chen C, Liu J, Wang Y, Liu J, Zhao J, Tao C, Wang Y
Cells 2022 Feb 21;11(4)
Cells 2022 Feb 21;11(4)
PVT1/miR-145-5p/HK2 modulates vascular smooth muscle cells phenotype switch via glycolysis: The new perspective on the spiral artery remodeling.
Wu M, Liu W, Huang H, Chen Z, Chen Y, Zhong Y, Jin Z, Liu X, Zou L
Placenta 2022 Dec;130:25-33
Placenta 2022 Dec;130:25-33
Identification of transfer RNA-derived fragments and their potential roles in aortic dissection.
Fu X, He X, Yang Y, Jiang S, Wang S, Peng X, Tang G, Zong T, Li X, Zhang Y, Zou Y, Yu T
Genomics 2021 Sep;113(5):3039-3049
Genomics 2021 Sep;113(5):3039-3049
The near-infrared dye IR-61 restores erectile function in a streptozotocin-induced diabetes model via mitochondrial protection.
Yue XF, Shen CX, Wang JW, Dai LY, Fang Q, Long L, Zhi Y, Li XR, Wang YW, Shen GF, Liu ZJ, Shi CM, Li WB
Asian journal of andrology 2021 May-Jun;23(3):249-258
Asian journal of andrology 2021 May-Jun;23(3):249-258
Effects of carotid baroreceptor stimulation on aortic remodeling in obese rats.
Yu Q, Shu L, Wang L, Gao K, Wang J, Dai M, Cao Q, Zhang Y, Luo Q, Hu B, Dai D, Chen J, Bao M
Nutrition, metabolism, and cardiovascular diseases : NMCD 2021 May 6;31(5):1635-1644
Nutrition, metabolism, and cardiovascular diseases : NMCD 2021 May 6;31(5):1635-1644
TWIST1 induces phenotypic switching of vascular smooth muscle cells by downregulating p68 and microRNA-143/145.
Zhang J, Guo JR, Wu XL, Wang X, Zhu ZM, Wang Y, Gu X, Fan Y
FEBS open bio 2021 Mar;11(3):932-943
FEBS open bio 2021 Mar;11(3):932-943
Suppression of autophagy through JAK2/STAT3 contributes to the therapeutic action of rhynchophylline on asthma.
Li H, Bi Q, Cui H, Lv C, Wang M
BMC complementary medicine and therapies 2021 Jan 7;21(1):21
BMC complementary medicine and therapies 2021 Jan 7;21(1):21
MicroRNA-520c-3p targeting of RelA/p65 suppresses atherosclerotic plaque formation.
Wang J, Hu X, Hu X, Gao F, Li M, Cui Y, Wei X, Qin Y, Zhang C, Zhao Y, Gao Y
The international journal of biochemistry & cell biology 2021 Feb;131:105873
The international journal of biochemistry & cell biology 2021 Feb;131:105873
Circular RNA circEsyt2 regulates vascular smooth muscle cell remodeling via splicing regulation.
Gong X, Tian M, Cao N, Yang P, Xu Z, Zheng S, Liao Q, Chen C, Zeng C, Jose PA, Wang DZ, Jian Z, Xiao Y, Jiang DS, Wei X, Zhang B, Wang Y, Chen K, Wu G, Zeng C
The Journal of clinical investigation 2021 Dec 15;131(24)
The Journal of clinical investigation 2021 Dec 15;131(24)
Transforming Growth Factor β1 Increases Expression of Contractile Genes in Human Pulmonary Arterial Smooth Muscle Cells by Potentiating Sphingosine-1-Phosphate Signaling.
Ji Y, Lisabeth EM, Neubig RR
Molecular pharmacology 2021 Aug;100(2):53-60
Molecular pharmacology 2021 Aug;100(2):53-60
Intraductal administration of N-methyl-N-nitrosourea as a novel rodent mammary tumor model.
Gao D, Liu J, Yuan J, Wu J, Kuang X, Kong D, Zheng W, Wang G, Sukumar S, Tu Y, Chen C, Sun S
Annals of translational medicine 2021 Apr;9(7):576
Annals of translational medicine 2021 Apr;9(7):576
Salvia miltiorrhiza-derived miRNAs suppress vascular remodeling through regulating OTUD7B/KLF4/NMHC IIA axis.
Yang GS, Zheng B, Qin Y, Zhou J, Yang Z, Zhang XH, Zhao HY, Yang HJ, Wen JK
Theranostics 2020;10(17):7787-7811
Theranostics 2020;10(17):7787-7811
Apoptosis repressor with caspase recruitment domain promotes cell proliferation and phenotypic modulation through 14-3-3ε/YAP signaling in vascular smooth muscle cells.
Liu M, Yu T, Li M, Fang X, Hou B, Liu G, Wang J
Journal of molecular and cellular cardiology 2020 Oct;147:35-48
Journal of molecular and cellular cardiology 2020 Oct;147:35-48
Mitochondrial Protein Poldip2 (Polymerase Delta Interacting Protein 2) Controls Vascular Smooth Muscle Differentiated Phenotype by O-Linked GlcNAc (N-Acetylglucosamine) Transferase-Dependent Inhibition of a Ubiquitin Proteasome System.
Paredes F, Williams HC, Quintana RA, San Martin A
Circulation research 2020 Jan 3;126(1):41-56
Circulation research 2020 Jan 3;126(1):41-56
Hybrid electrospun rapamycin-loaded small-diameter decellularized vascular grafts effectively inhibit intimal hyperplasia.
Yang Y, Lei D, Zou H, Huang S, Yang Q, Li S, Qing FL, Ye X, You Z, Zhao Q
Acta biomaterialia 2019 Oct 1;97:321-332
Acta biomaterialia 2019 Oct 1;97:321-332
Gastroparesis is associated with decreased FOXF1 and FOXF2 in humans, and loss of FOXF1 and FOXF2 results in gastroparesis in mice.
Herring BP, Hoggatt AM, Gupta A, Wo JM
Neurogastroenterology and motility 2019 Mar;31(3):e13528
Neurogastroenterology and motility 2019 Mar;31(3):e13528
Rutaecarpine prevented ox-LDL-induced VSMCs dysfunction through inhibiting overexpression of connexin 43.
Wang M, Wu Y, Yu Y, Fu Y, Yan H, Wang X, Li T, Peng W, Luo D
European journal of pharmacology 2019 Jun 15;853:84-92
European journal of pharmacology 2019 Jun 15;853:84-92
Rhynchophylline attenuates allergic bronchial asthma by inhibiting transforming growth factor-β1-mediated Smad and mitogen-activated protein kinase signaling transductions in vivo and in vitro.
Wang M, Li H, Zhao Y, Lv C, Zhou G
Experimental and therapeutic medicine 2019 Jan;17(1):251-259
Experimental and therapeutic medicine 2019 Jan;17(1):251-259
Vascular smooth muscle-MAPK14 is required for neointimal hyperplasia by suppressing VSMC differentiation and inducing proliferation and inflammation.
Wu W, Zhang W, Choi M, Zhao J, Gao P, Xue M, Singer HA, Jourd'heuil D, Long X
Redox biology 2019 Apr;22:101137
Redox biology 2019 Apr;22:101137
Sp1 Plays an Important Role in Vascular Calcification Both In Vivo and In Vitro.
Zhang X, Li R, Qin X, Wang L, Xiao J, Song Y, Sheng X, Guo M, Ji X
Journal of the American Heart Association 2018 Mar 23;7(6)
Journal of the American Heart Association 2018 Mar 23;7(6)
FAM3B mediates high glucose-induced vascular smooth muscle cell proliferation and migration via inhibition of miR-322-5p.
Zhang W, Chen S, Zhang Z, Wang C, Liu C
Scientific reports 2017 May 23;7(1):2298
Scientific reports 2017 May 23;7(1):2298
Dual Function for Mature Vascular Smooth Muscle Cells During Arteriovenous Fistula Remodeling.
Zhao J, Jourd'heuil FL, Xue M, Conti D, Lopez-Soler RI, Ginnan R, Asif A, Singer HA, Jourd'heuil D, Long X
Journal of the American Heart Association 2017 Mar 30;6(4)
Journal of the American Heart Association 2017 Mar 30;6(4)
In vitro differentiation of endometrial regenerative cells into smooth muscle cells: Α potential approach for the management of pelvic organ prolapse.
Chen X, Kong X, Liu D, Gao P, Zhang Y, Li P, Liu M
International journal of molecular medicine 2016 Jul;38(1):95-104
International journal of molecular medicine 2016 Jul;38(1):95-104
CRISPR-Cas9 genome editing of a single regulatory element nearly abolishes target gene expression in mice--brief report.
Han Y, Slivano OJ, Christie CK, Cheng AW, Miano JM
Arteriosclerosis, thrombosis, and vascular biology 2015 Feb;35(2):312-5
Arteriosclerosis, thrombosis, and vascular biology 2015 Feb;35(2):312-5
Tanshinone IIA attenuates interleukin-17A-induced systemic sclerosis patient-derived dermal vascular smooth muscle cell activation via inhibition of the extracellular signal-regulated kinase signaling pathway.
Liu M, Yang J, Li M
Clinics (Sao Paulo, Brazil) 2015 Apr;70(4):250-6
Clinics (Sao Paulo, Brazil) 2015 Apr;70(4):250-6
No comments: Submit comment
Supportive validation
- Submitted by
- Proteintech Group (provider)
- Main image

- Experimental details
- mouse heart tissue were subjected to SDS PAGE followed by western blot with 13938-1-AP(CNN1 antibody) at dilution of 1:1000
- Sample type
- tissue
Supportive validation
- Submitted by
- Proteintech Group (provider)
- Main image

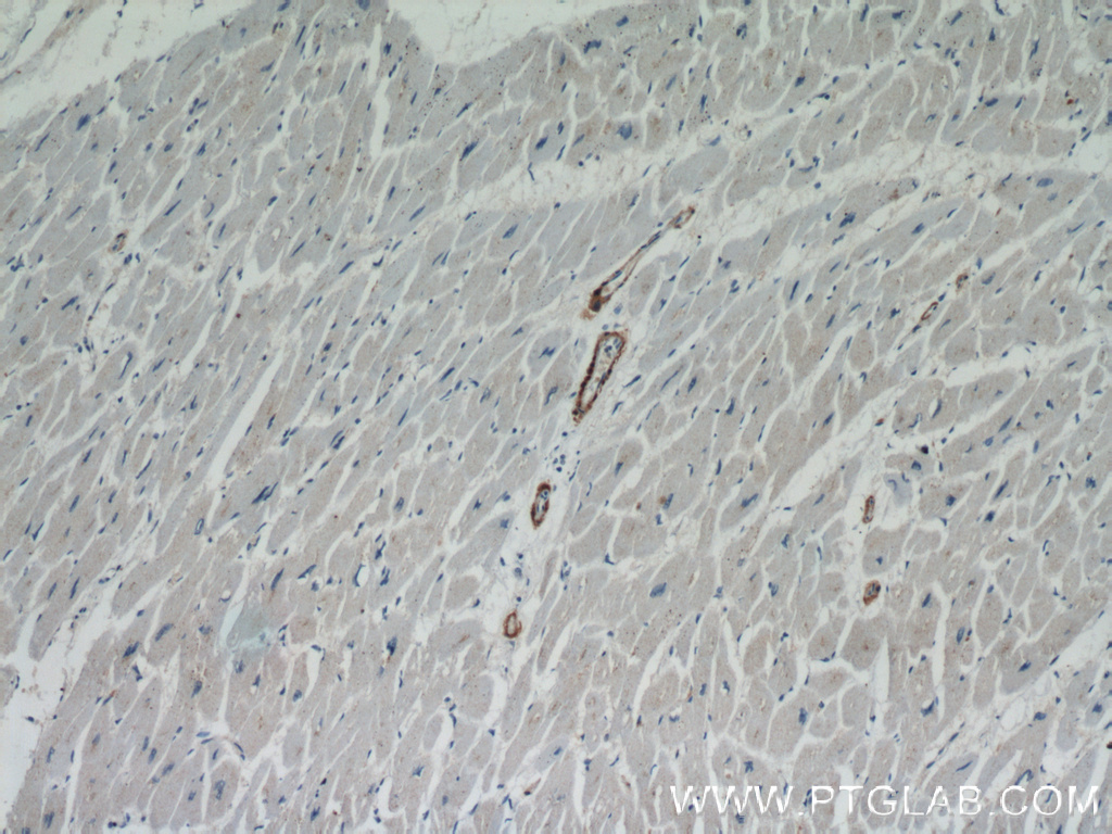
- Experimental details
- Immunohistochemical of paraffin-embedded human heart using 13938-1-AP(CNN1 antibody) at dilution of 1:50 (under 10x lens)
- Sample type
- tissue
- Submitted by
- Proteintech Group (provider)
- Main image

- Experimental details
- The Calponin antibody from Proteintech is a rabbit polyclonal antibody to a recombinant protein of human Calponin. This antibody recognizes human,mouse,rat antigen. The Calponin antibody has been validated for the following applications: ELISA, WB, IHC analysis.