12217-1-AP
antibody from Invitrogen Antibodies
Targeting: CTH
Antibody data
- Antibody Data
- Antigen structure
- References [0]
- Comments [0]
- Validations
- Western blot [6]
- Immunocytochemistry [1]
- Immunohistochemistry [5]
- Flow cytometry [1]
- Other assay [2]
Submit
Validation data
Reference
Comment
Report error
- Product number
- 12217-1-AP - Provider product page

- Provider
- Invitrogen Antibodies
- Product name
- Gamma cystathionase Polyclonal Antibody
- Antibody type
- Polyclonal
- Antigen
- Other
- Reactivity
- Human, Mouse, Rat
- Host
- Rabbit
- Isotype
- IgG
- Vial size
- 150 µL
- Concentration
- 0.35 mg/mL
- Storage
- -20°C
No comments: Submit comment
Supportive validation
- Submitted by
- Invitrogen Antibodies (provider)
- Main image

- Experimental details
- Mouse heart tissue were subjected to SDS PAGE followed by western blot with 12217-1-AP (Gamma cystathionase antibody) at dilution of 1:1000 incubated at room temperature for 1.5 hours.
- Submitted by
- Invitrogen Antibodies (provider)
- Main image

- Experimental details
- Various lysates were subjected to SDS PAGE followed by western blot with 12217-1-AP (Gamma cystathionase antibody) at dilution of 1:2000 incubated at room temperature for 1.5 hours.
- Submitted by
- Invitrogen Antibodies (provider)
- Main image

- Experimental details
- WB result of CTH antibody (12217-1-AP, 1:500) with si-control and si-CTH transfected HepG2 cell.
- Submitted by
- Invitrogen Antibodies (provider)
- Main image

- Experimental details
- Rat heart tissue were subjected to SDS PAGE followed by western blot with 12217-1-AP (Gamma cystathionase antibody) at dilution of 1:1000 incubated at room temperature for 1.5 hours.
- Submitted by
- Invitrogen Antibodies (provider)
- Main image

- Experimental details
- WB result of Gamma cystathionase antibody (12217-1-AP; 1:2000; incubated at room temperature for 1.5 hours) with sh-Control and sh-Gamma cystathionase transfected HeLa cells.
- Submitted by
- Invitrogen Antibodies (provider)
- Main image

- Experimental details
- Rat liver tissue were subjected to SDS PAGE followed by western blot with 12217-1-AP (Gamma cystathionase antibody at dilution of 1:1000 incubated at room temperature for 1.5 hours.
Supportive validation
- Submitted by
- Invitrogen Antibodies (provider)
- Main image

- Experimental details
- Immunofluorescent analysis of ( -20°C Ethanol) fixed HepG2 cells using 12217-1-AP (Gamma cystathionase antibody) at dilution of 1:50 and Alexa Fluor 488-conjugated AffiniPure Goat Anti-Rabbit IGG (H+L).
Supportive validation
- Submitted by
- Invitrogen Antibodies (provider)
- Main image

- Experimental details
- Immunohistochemistry of paraffin-embedded human liver cancer tissue slide using 12217-1-AP ( Gamma cystathionase antibody at dilution of 1:200 (under 10x lens). heat mediated antigen retrieved with Tris-EDTA buffer (pH 9).
- Submitted by
- Invitrogen Antibodies (provider)
- Main image

- Experimental details
- Immunohistochemistry of paraffin-embedded human liver cancer tissue slide using 12217-1-AP ( Gamma cystathionase antibody at dilution of 1:200 (under 40x lens). heat mediated antigen retrieved with Tris-EDTA buffer (pH 9).
- Submitted by
- Invitrogen Antibodies (provider)
- Main image

- Experimental details
- Immunohistochemistry of paraffin-embedded human breast cancer using 12217-1-AP (Gamma cystathionase antibody) at dilution of 1:50 (under 10x lens).
- Submitted by
- Invitrogen Antibodies (provider)
- Main image

- Experimental details
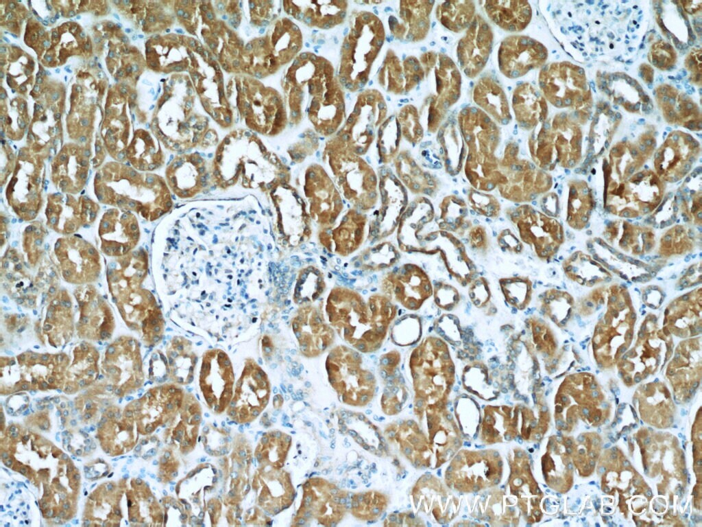
- Immunohistochemistry of paraffin-embedded human kidney tissue slide using 12217-1-AP (Gamma cystathionase antibody at dilution of 1:50 (under 10x lens).
- Submitted by
- Invitrogen Antibodies (provider)
- Main image

- Experimental details
- Immunohistochemistry of paraffin-embedded human kidney tissue slide using 12217-1-AP (Gamma cystathionase antibody at dilution of 1:50 (under 40x lens).
Supportive validation
- Submitted by
- Invitrogen Antibodies (provider)
- Main image

- Experimental details
- 1X10^6 MCF-7 cells were stained with 0.2ug Gamma cystathionase antibody (12217-1-AP, red) and control antibody (blue). Fixed with 90% MeOH blocked with 3% BSA (30 min). Alexa Fluor 488-conjugated AffiniPure Goat Anti-Rabbit IGG (H+L) with dilution 1:1500.
Supportive validation
- Submitted by
- Invitrogen Antibodies (provider)
- Main image

- Experimental details
- IP result of anti-Gamma cystathionase (IP:12217-1-AP, 3ug; Detection:12217-1-AP 1:1000) with HEK-293 cells lysate 2700ug.
- Submitted by
- Invitrogen Antibodies (provider)
- Main image

- Experimental details
- IP result of anti-Gamma cystathionase (IP:12217-1-AP, 4 ug; Detection:12217-1-AP 1:600) with mouse liver tissue lysate 4000 ug.