Antibody data
- Antibody Data
- Antigen structure
- References [0]
- Comments [0]
- Validations
- Western blot [2]
- Immunocytochemistry [1]
- Immunohistochemistry [1]
Submit
Validation data
Reference
Comment
Report error
- Product number
- ARG54709 - Provider product page

- Provider
- Arigo
- Product name
- anti-LC3A antibody
- Antibody type
- Polyclonal
- Antigen
- KLH-conjugated synthetic peptide around aa. 1-30 (N-terminus) of Human LC3A protein (NP_115903.1).
- Description
- This antibody is prepared by Saturated Ammonium Sulfate (SAS) precipitation followed by dialysis against PBS.
- Reactivity
- Human, Mouse, Rat
- Host
- Rabbit
- Vial size
- 200 µl
- Storage
- For continuous use, store undiluted antibody at 2-8°C for up to 6 months. For long-term storage, aliquot and store at -20°C. Storage in frost free freezers is not recommended. Avoid repeated freeze/thaw cycles. The antibody solution should be gently mixed before use.
- Handling
- The antibody solution should be gently mixed before use.
No comments: Submit comment
Supportive validation
- Submitted by
- Arigo (provider)
- Main image

- Experimental details
- Western blot: rat brain lysate stained with ARG54709 anti-LC3A antibody. Both lipidated (arrow, II) and non-lipidated APG8a (arrow, I) were detected in membrane fraction (P) but only non-lipidated LC3 was detected in soluble fraction (S).
- Submitted by
- Arigo (provider)
- Main image

- Experimental details
- Western blot: 35 µg of mouse brain tissue lysates stained with ARG54709 anti-LC3A antibody.
Supportive validation
- Submitted by
- Arigo (provider)
- Main image

- Experimental details
- Immunofluorescence: U251 cells stained with ARG54709 anti-LC3A antibody. U251 cells were treated with Chloroquine (50 µM,16h), then fixed with 4% PFA (20 min), permeabilized with Triton X-100 (0.2%, 30 min). Cells were then incubated with AP1801a LC3 (APG8A) (N-term) primary antibody (1:200, 2 h at room temperature). Nuclei were counterstained with Hoechst 33342 (blue) (10 µg/ml, 5 min). LC3 immunoreactivity is localized to autophagic vacuoles in the cytoplasm of U251 cells.
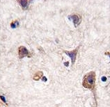
Supportive validation
- Submitted by
- Arigo (provider)
- Main image

- Experimental details
- Immunohistochemistry: human brain tissue stained with ARG54709 anti-LC3A antibody.