Antibody data
- Antibody Data
- Antigen structure
- References [0]
- Comments [0]
- Validations
- Western blot [2]
- Immunocytochemistry [1]
- Immunohistochemistry [4]
Submit
Validation data
Reference
Comment
Report error
- Product number
- 20382-1-AP - Provider product page

- Provider
- Invitrogen Antibodies
- Product name
- ATG4C Polyclonal Antibody
- Antibody type
- Polyclonal
- Antigen
- Other
- Description
- Immunogen sequence: MEATGTDEV DKLKTKFISA WNNMKYSWVL KTKTYFSRNS PVLLLGKCYH FKYEDEDKTL PAESGCTIED HVIAGNVEEF RKDFISRIWL TYREEFPQIE GSALTTDCGW GCTLRTGQML LAQGLILHFL GRAWTWPDAL NIENSDSESW TSHTVKKFTA SFEASLSGER EFKTPTISLK ETIGKYSDDH EMRNEVYHRK IISWFGDSPL ALFGLHQLIE YGKKSGKKAG DWYGPAVVAH ILRKAVEEAR HPDLQGITIY VAQDCTVYNS DVIDKQSASM TSDNADDKAV IILVPVRLGG E (1-300 aa encoded by BC033024)
- Reactivity
- Human, Mouse
- Host
- Rabbit
- Isotype
- IgG
- Vial size
- 150 µL
- Concentration
- 0.24 mg/mL
- Storage
- -20°C
No comments: Submit comment
Supportive validation
- Submitted by
- Invitrogen Antibodies (provider)
- Main image

- Experimental details
- Jurkat cells were subjected to SDS PAGE followed by western blot with 20382-1-AP (ATG4C antibody) at dilution of 1:300 incubated at room temperature for 1.5 hours.
- Submitted by
- Invitrogen Antibodies (provider)
- Main image

- Experimental details
- Mouse testis tissue were subjected to SDS PAGE followed by western blot with 20382-1-AP (ATG4C antibody) at dilution of 1:500 incubated at room temperature for 1.5 hours.
Supportive validation
- Submitted by
- Invitrogen Antibodies (provider)
- Main image

- Experimental details
- Immunofluorescent analysis of Hela cells, using ATG4C antibody 20382-1-AP at 1:25 dilution and Rhodamine-labeled goat anti-rabbit IGG (red).
Supportive validation
- Submitted by
- Invitrogen Antibodies (provider)
- Main image

- Experimental details
- Immunohistochemistry of paraffin-embedded human testis using 20382-1-AP (ATG4C antibody) at dilution of 1:50 (under 10x lens).
- Submitted by
- Invitrogen Antibodies (provider)
- Main image

- Experimental details
- Immunohistochemistry of paraffin-embedded human testis using 20382-1-AP (ATG4C antibody) at dilution of 1:50 (under 40x lens).
- Submitted by
- Invitrogen Antibodies (provider)
- Main image

- Experimental details
- Immunohistochemistry of paraffin-embedded human heart using 20382-1-AP (ATG4C antibody) at dilution of 1:50 (under 10x lens).
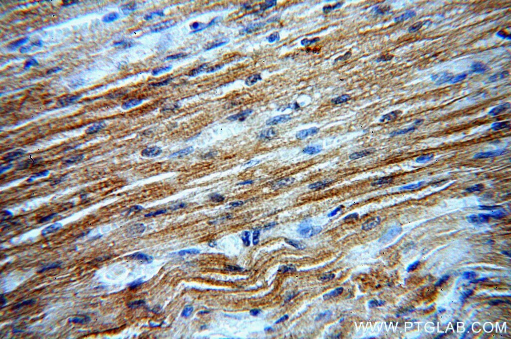
- Submitted by
- Invitrogen Antibodies (provider)
- Main image

- Experimental details
- Immunohistochemistry of paraffin-embedded human heart using 20382-1-AP (ATG4C antibody) at dilution of 1:50 (under 40x lens).