Antibody data
- Antibody Data
- Antigen structure
- References [0]
- Comments [0]
- Validations
- Western blot [1]
- Immunohistochemistry [29]
Submit
Validation data
Reference
Comment
Report error
- Product number
- LS-C785016 - Provider product page

- Provider
- LSBio
- Product name
- AK5 / Adenylate Kinase 5 Antibody (clone OTI2F9, Carrier-free) LS-C785016
- Antibody type
- Monoclonal
- Description
- Purified from ascites.
- Reactivity
- Human
- Host
- Mouse
- Isotype
- IgG
- Antibody clone number
- OTI2F9
- Storage
- Store at -20°C. Avoid freeze-thaw cycles.
No comments: Submit comment
Enhanced validation
- Submitted by
- LSBio (provider)
- Enhanced method
- Genetic validation
- Main image

- Experimental details
- HEK293T cells were transfected with the pCMV6-ENTRY control (Left lane) or pCMV6-ENTRY AK5 (Right lane) cDNA for 48 hrs and lysed. Equivalent amounts of cell lysates (5 ug per lane) were separated by SDS-PAGE and immunoblotted with anti-AK5.
Enhanced validation
- Submitted by
- LSBio (provider)
- Enhanced method
- Genetic validation
- Main image

- Experimental details
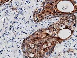
- Immunohistochemical staining of paraffin-embedded Adenocarcinoma of Human breast tissue using anti-AK5 mouse monoclonal antibody.
- Submitted by
- LSBio (provider)
- Enhanced method
- Genetic validation
- Main image

- Experimental details
- Immunohistochemical staining of paraffin-embedded Human colon tissue using anti-AK5 mouse monoclonal antibody.
- Submitted by
- LSBio (provider)
- Enhanced method
- Genetic validation
- Main image

- Experimental details
- Immunohistochemical staining of paraffin-embedded Adenocarcinoma of Human colon tissue using anti-AK5 mouse monoclonal antibody.
- Submitted by
- LSBio (provider)
- Enhanced method
- Genetic validation
- Main image

- Experimental details
- Immunohistochemical staining of paraffin-embedded Human Kidney tissue using anti-AK5 mouse monoclonal antibody.
- Submitted by
- LSBio (provider)
- Enhanced method
- Genetic validation
- Main image

- Experimental details
- Immunohistochemical staining of paraffin-embedded Human liver tissue using anti-AK5 mouse monoclonal antibody.
- Submitted by
- LSBio (provider)
- Enhanced method
- Genetic validation
- Main image

- Experimental details
- Immunohistochemical staining of paraffin-embedded Human lung tissue using anti-AK5 mouse monoclonal antibody.
- Submitted by
- LSBio (provider)
- Enhanced method
- Genetic validation
- Main image

- Experimental details
- Immunohistochemical staining of paraffin-embedded Carcinoma of Human lung tissue using anti-AK5 mouse monoclonal antibody.
- Submitted by
- LSBio (provider)
- Enhanced method
- Genetic validation
- Main image

- Experimental details
- Immunohistochemical staining of paraffin-embedded Adenocarcinoma of Human ovary tissue using anti-AK5 mouse monoclonal antibody.
- Submitted by
- LSBio (provider)
- Enhanced method
- Genetic validation
- Main image

- Experimental details
- Immunohistochemical staining of paraffin-embedded Human pancreas tissue using anti-AK5 mouse monoclonal antibody.
- Submitted by
- LSBio (provider)
- Enhanced method
- Genetic validation
- Main image

- Experimental details
- Immunohistochemical staining of paraffin-embedded Carcinoma of Human pancreas tissue using anti-AK5 mouse monoclonal antibody.
- Submitted by
- LSBio (provider)
- Enhanced method
- Genetic validation
- Main image

- Experimental details
- Immunohistochemical staining of paraffin-embedded Human breast tissue using anti-AK5 mouse monoclonal antibody.
- Submitted by
- LSBio (provider)
- Main image

- Experimental details
- Immunohistochemical staining of paraffin-embedded Human breast tissue using anti-AK5 mouse monoclonal antibody.
- Submitted by
- LSBio (provider)
- Main image

- Experimental details
- Immunohistochemical staining of paraffin-embedded Carcinoma of Human kidney tissue using anti-AK5 mouse monoclonal antibody.
- Submitted by
- LSBio (provider)
- Main image

- Experimental details
- Immunohistochemical staining of paraffin-embedded Carcinoma of Human lung tissue using anti-AK5 mouse monoclonal antibody.
- Submitted by
- LSBio (provider)
- Main image

- Experimental details
- Immunohistochemical staining of paraffin-embedded Human pancreas tissue using anti-AK5 mouse monoclonal antibody.
- Submitted by
- LSBio (provider)
- Main image

- Experimental details
- Immunohistochemical staining of paraffin-embedded Carcinoma of Human prostate tissue using anti-AK5 mouse monoclonal antibody.
- Submitted by
- LSBio (provider)
- Main image

- Experimental details
- Immunohistochemical staining of paraffin-embedded Human prostate tissue using anti-AK5 mouse monoclonal antibody.
- Submitted by
- LSBio (provider)
- Main image

- Experimental details
- Immunohistochemical staining of paraffin-embedded Adenocarcinoma of Human endometrium tissue using anti-AK5 mouse monoclonal antibody.
- Submitted by
- LSBio (provider)
- Main image

- Experimental details
- Immunohistochemical staining of paraffin-embedded Carcinoma of Human thyroid tissue using anti-AK5 mouse monoclonal antibody.
- Submitted by
- LSBio (provider)
- Main image

- Experimental details
- Immunohistochemical staining of paraffin-embedded Carcinoma of Human pancreas tissue using anti-AK5 mouse monoclonal antibody.
- Submitted by
- LSBio (provider)
- Main image

- Experimental details
- Immunohistochemical staining of paraffin-embedded Adenocarcinoma of Human ovary tissue using anti-AK5 mouse monoclonal antibody.
- Submitted by
- LSBio (provider)
- Main image

- Experimental details
- Immunohistochemical staining of paraffin-embedded Human bladder tissue using anti-AK5 mouse monoclonal antibody.
- Submitted by
- LSBio (provider)
- Main image

- Experimental details
- Immunohistochemical staining of paraffin-embedded Human liver tissue using anti-AK5 mouse monoclonal antibody.
- Submitted by
- LSBio (provider)
- Main image

- Experimental details
- Immunohistochemical staining of paraffin-embedded Human Kidney tissue using anti-AK5 mouse monoclonal antibody.
- Submitted by
- LSBio (provider)
- Main image

- Experimental details
- Immunohistochemical staining of paraffin-embedded Adenocarcinoma of Human colon tissue using anti-AK5 mouse monoclonal antibody.
- Submitted by
- LSBio (provider)
- Main image

- Experimental details
- Immunohistochemical staining of paraffin-embedded Human colon tissue using anti-AK5 mouse monoclonal antibody.
- Submitted by
- LSBio (provider)
- Main image

- Experimental details
- Immunohistochemical staining of paraffin-embedded Adenocarcinoma of Human breast tissue using anti-AK5 mouse monoclonal antibody.
- Submitted by
- LSBio (provider)
- Main image

- Experimental details
- Immunohistochemical staining of paraffin-embedded Human lung tissue using anti-AK5 mouse monoclonal antibody.
- Submitted by
- LSBio (provider)
- Main image

- Experimental details
- Immunohistochemical staining of paraffin-embedded Carcinoma of Human bladder tissue using anti-AK5 mouse monoclonal antibody.