Antibody data
- Antibody Data
- Antigen structure
- References [0]
- Comments [0]
- Validations
- Immunocytochemistry [1]
- Immunohistochemistry [1]
Submit
Validation data
Reference
Comment
Report error
- Product number
- PAB27485 - Provider product page

- Provider
- Abnova Corporation
- Product name
- DNAH17 polyclonal antibody
- Antibody type
- Polyclonal
- Antigen
- Recombinant protein corresponding to amino acids of human DNAH17.
- Reactivity
- Human
- Host
- Rabbit
- Antigen sequence
VFQYIQEVREILHNLQNRMQKAKQNIEGISQAMKD
WSANPLFERKDNKKEALLDLDGRIANLNKRYAAVR
DAGVKIQAMVAVRKHPG- Isotype
- IgG
- Vial size
- 100 μl
- Storage
- Store at 4°C. For long term storage store at -20°C.Aliquot to avoid repeated freezing and thawing.
No comments: Submit comment
Supportive validation
- Submitted by
- Abnova Corporation (provider)
- Main image

- Experimental details
- Immunofluorescent staining of human cell line U-2 OS with DNAH17 polyclonal antibody (Cat # PAB27485) at 1-4 ug/mL dilutions shows positivity in nucleus but not nucleoli, plasma membrane and cytoplasm.
- Validation comment
- Immunofluorescence
Supportive validation
- Submitted by
- Abnova Corporation (provider)
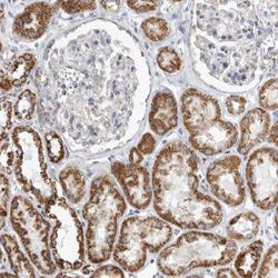
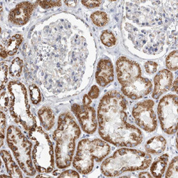
- Main image

- Experimental details
- Immunohistochemical staining of human kidney with DNAH17 polyclonal antibody (Cat # PAB27485) shows strong granular cytoplasmic positivity in tubular cells at 1:1000-1:2500 dilution.
- Validation comment
- Immunohistochemistry (Formalin/PFA-fixed paraffin-embedded sections)