Antibody data
- Antibody Data
- Antigen structure
- References [7]
- Comments [0]
- Validations
- Immunohistochemistry [1]
Submit
Validation data
Reference
Comment
Report error
- Product number
- 24488-1-AP - Provider product page

- Provider
- Proteintech Group
- Product name
- DNAH17 antibody
- Antibody type
- Polyclonal
- Description
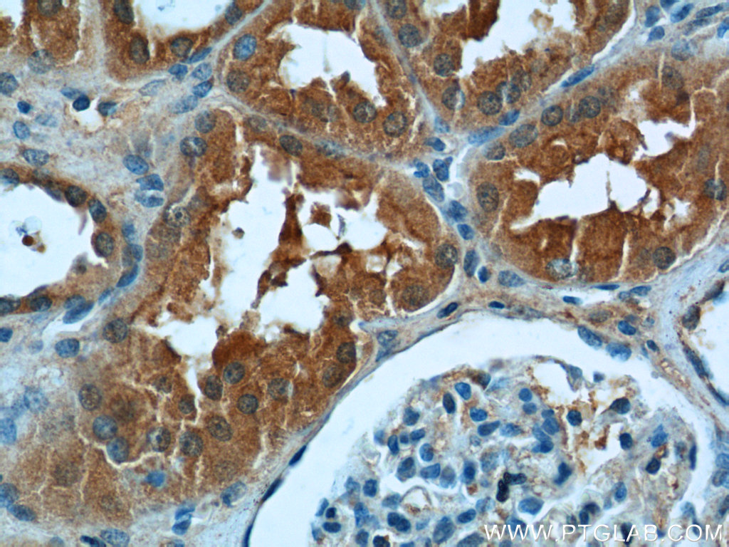
- DNAH17 antibody (Cat. #24488-1-AP) is a rabbit polyclonal antibody that shows reactivity with human and has been validated for the following applications: IHC,ELISA.
- Reactivity
- Human
- Host
- Rabbit
- Conjugate
- Unconjugated
- Isotype
- IgG
- Vial size
- 20ul, 150ul
Submitted references Microcystin leucine arginine induces human sperm damage: Involvement of the Ca(2+)/CaMKKβ/AMPK pathway.
Population-based genetic analysis in infertile men reveals novel mutations of ADAD family members in patients with impaired spermatogenesis.
Structures of sperm flagellar doublet microtubules expand the genetic spectrum of male infertility.
A novel mutation in DNAH17 is present in a patient with multiple morphological abnormalities of the flagella.
The effect of a novel LRRC6 mutation on the flagellar ultrastructure in a primary ciliary dyskinesia patient.
Loss-of-function mutation in DNAH8 induces asthenoteratospermia associated with multiple morphological abnormalities of the sperm flagella.
DNAH17 is associated with asthenozoospermia and multiple morphological abnormalities of sperm flagella.
Guo X, Meng R, Liu J, Zhang S, Liu H, Du X, Zhang H, Li Y
Ecotoxicology and environmental safety 2023 May;256:114845
Ecotoxicology and environmental safety 2023 May;256:114845
Population-based genetic analysis in infertile men reveals novel mutations of ADAD family members in patients with impaired spermatogenesis.
Dai S, Liu M, Liu M, Jiang C, Yang Y, Han H, Yang Y, Jiang X, Shen Y
Human molecular genetics 2023 May 18;32(11):1814-1825
Human molecular genetics 2023 May 18;32(11):1814-1825
Structures of sperm flagellar doublet microtubules expand the genetic spectrum of male infertility.
Zhou L, Liu H, Liu S, Yang X, Dong Y, Pan Y, Xiao Z, Zheng B, Sun Y, Huang P, Zhang X, Hu J, Sun R, Feng S, Zhu Y, Liu M, Gui M, Wu J
Cell 2023 Jun 22;186(13):2897-2910.e19
Cell 2023 Jun 22;186(13):2897-2910.e19
A novel mutation in DNAH17 is present in a patient with multiple morphological abnormalities of the flagella.
Zheng R, Sun Y, Jiang C, Chen D, Yang Y, Shen Y
Reproductive biomedicine online 2021 Sep;43(3):532-541
Reproductive biomedicine online 2021 Sep;43(3):532-541
The effect of a novel LRRC6 mutation on the flagellar ultrastructure in a primary ciliary dyskinesia patient.
Li Y, Jiang C, Zhang X, Liu M, Sun Y, Yang Y, Shen Y
Journal of assisted reproduction and genetics 2021 Mar;38(3):689-696
Journal of assisted reproduction and genetics 2021 Mar;38(3):689-696
Loss-of-function mutation in DNAH8 induces asthenoteratospermia associated with multiple morphological abnormalities of the sperm flagella.
Yang Y, Jiang C, Zhang X, Liu X, Li J, Qiao X, Liu H, Shen Y
Clinical genetics 2020 Oct;98(4):396-401
Clinical genetics 2020 Oct;98(4):396-401
DNAH17 is associated with asthenozoospermia and multiple morphological abnormalities of sperm flagella.
Sha Y, Wei X, Ding L, Mei L, Huang X, Lin S, Su Z, Kong L, Zhang Y, Ji Z
Annals of human genetics 2020 May;84(3):271-279
Annals of human genetics 2020 May;84(3):271-279
No comments: Submit comment
Supportive validation
- Submitted by
- Proteintech Group (provider)
- Main image

- Experimental details
- The DNAH17 antibody from Proteintech is a rabbit polyclonal antibody to a fusion protein of human DNAH17. This antibody recognizes human antigen. The DNAH17 antibody has been validated for the following applications: ELISA, IHC analysis.