Antibody data
- Antibody Data
- Antigen structure
- References [1]
- Comments [0]
- Validations
- Immunohistochemistry [1]
Submit
Validation data
Reference
Comment
Report error
- Product number
- MAB9657-100 - Provider product page

- Provider
- R&D Systems
- Product name
- Human DNAH17 Antibody
- Antibody type
- Monoclonal
- Description
- Protein A or G purified from hybridoma culture supernatant. Detects human DNAH17 in direct ELISAs.
- Reactivity
- Human
- Host
- Mouse
- Conjugate
- Unconjugated
- Antigen sequence
Q9UFH2- Isotype
- IgG
- Antibody clone number
- 981717
- Vial size
- 100 ug
- Storage
- Use a manual defrost freezer and avoid repeated freeze-thaw cycles. 12 months from date of receipt, -20 to -70 °C as supplied. 1 month, 2 to 8 °C under sterile conditions after reconstitution. 6 months, -20 to -70 °C under sterile conditions after reconstitution.
Submitted references The association between methylation patterns of DNAH17 and clinicopathological factors in hepatocellular carcinoma.
Fan X, Guo H, Dai B, He L, Zhou D, Lin H
Cancer medicine 2019 Jan;8(1):337-350
Cancer medicine 2019 Jan;8(1):337-350
No comments: Submit comment
Supportive validation
- Submitted by
- R&D Systems (provider)
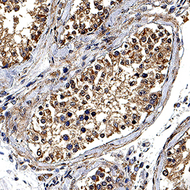
- Main image

- Experimental details
- DNAH17 in Human Testis. DNAH17 was detected in immersion fixed paraffin-embedded sections of human testis using Mouse Anti-Human DNAH17 Monoclonal Antibody (Catalog # MAB9657) at 0.5 µg/mL for 1 hour at room temperature followed by incubation with the Anti-Mouse IgG VisUCyte™ HRP Polymer Antibody (Catalog # VC001). Tissue was stained using DAB (brown) and counterstained with hematoxylin (blue). Specific staining was localized to cytoplasm in sperm cells. View our protocol for IHC Staining with VisUCyte HRP Polymer Detection Reagents.