Antibody data
- Antibody Data
- Antigen structure
- References [0]
- Comments [0]
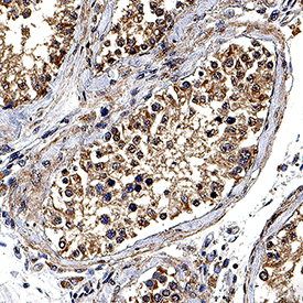
- Validations
- Immunohistochemistry [1]
Submit
Validation data
Reference
Comment
Report error
- Product number
- MAB9657-100 - Provider product page

- Provider
- Novus Biologicals
- Product name
- Mouse Monoclonal DNAH17 Antibody
- Antibody type
- Monoclonal
- Description
- Protein A or G purified from hybridoma culture supernatant. Detects human DNAH17 in direct ELISAs.
- Reactivity
- Human
- Host
- Mouse
- Conjugate
- Unconjugated
- Isotype
- IgG
- Vial size
- 100 ug
- Storage
- Use a manual defrost freezer and avoid repeated freeze-thaw cycles. 12 months from date of receipt, -20 to -70 degreesC as supplied. 1 month, 2 to 8 degreesC under sterile conditions after reconstitution. 6 months, -20 to -70 degreesC under sterile conditions after reconstitution.
No comments: Submit comment
Supportive validation
- Submitted by
- Novus Biologicals (provider)
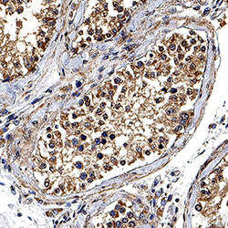
- Main image

- Experimental details
- DNAH17 in Human Testis. DNAH17 was detected in immersion fixed paraffin-embedded sections of human testis using Mouse Anti-Human DNAH17 Monoclonal Antibody (Catalog # MAB9657) at 0.5 µg/mL for 1 hour at room temperature followed by incubation with the Anti-Mouse IgG VisUCyte™ HRP Polymer Antibody (Catalog # VC001). Tissue was stained using DAB (brown) and counterstained with hematoxylin (blue). Specific staining was localized to cytoplasm in sperm cells. View our protocol for IHC Staining with VisUCyte HRP Polymer Detection Reagents.