Antibody data
- Antibody Data
- Antigen structure
- References [0]
- Comments [0]
- Validations
- Immunohistochemistry [1]
Submit
Validation data
Reference
Comment
Report error
- Product number
- MA5-62047 - Provider product page

- Provider
- Invitrogen Antibodies
- Product name
- DNAH17 Monoclonal Antibody (981717)
- Antibody type
- Monoclonal
- Antigen
- Synthetic peptide
- Description
- Reconstitute at 0.5 mg/mL in sterile PBS.
- Reactivity
- Human
- Host
- Mouse
- Isotype
- IgG
- Antibody clone number
- 981717
- Vial size
- 100 μg
- Concentration
- 0.5 mg/mL
- Storage
- Store at 4°C short term. For long term storage, store at -20°C, avoiding freeze/thaw cycles.
No comments: Submit comment
Supportive validation
- Submitted by
- Invitrogen Antibodies (provider)
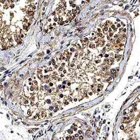
- Main image

- Experimental details
- Immunohistochemistry (Paraffin) analysis of DNAH17 in Human Testis using DNAH17 monoclonal antibody (Product # MA5-62047).