Antibody data
- Antibody Data
- Antigen structure
- References [1]
- Comments [0]
- Validations
- Immunohistochemistry [4]
Submit
Validation data
Reference
Comment
Report error
- Product number
- NLS1049 - Provider product page

- Provider
- Novus Biologicals
- Product name
- Rabbit Polyclonal PTGFR Antibody
- Antibody type
- Polyclonal
- Description
- Immunogen affinity purified. Human PTGFR. BLAST analysis of the peptide immunogen showed no homology with other human proteins.
- Reactivity
- Human, Simian
- Host
- Rabbit
- Isotype
- IgG
- Vial size
- 0.05 ml
- Concentration
- 1.0 mg/ml
- Storage
- Store at 4C short term. Aliquot and store at -20C long term. Avoid freeze-thaw cycles.
Submitted references Prostaglandin F2-alpha receptor (FPr) expression on porcine corpus luteum microvascular endothelial cells (pCL-MVECs).
Zannoni A, Bernardini C, Rada T, Ribeiro LA, Forni M, Bacci ML
Reproductive biology and endocrinology : RB&E 2007 Jul 20;5:31
Reproductive biology and endocrinology : RB&E 2007 Jul 20;5:31
No comments: Submit comment
Supportive validation
- Submitted by
- Novus Biologicals (provider)
- Main image

- Experimental details
- Immunohistochemistry-Paraffin: PTGFR Antibody [NLS1049] - Analysis of anti-FP / PTGFR antibody with transfected cells expressing Prostaglandin F2 alpha Receptor at 4 ug/ ml.
- Submitted by
- Novus Biologicals (provider)
- Main image

- Experimental details
- Immunohistochemistry-Paraffin: PTGFR Antibody [NLS1049] - Analysis of anti-FP / PTGFR antibody with transfection control.
- Submitted by
- Novus Biologicals (provider)
- Main image

- Experimental details
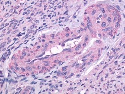
- Immunohistochemistry-Paraffin: PTGFR Antibody [NLS1049] - Analysis of anti-FP / PTGFR antibody with human skin, melanoma.
- Submitted by
- Novus Biologicals (provider)
- Main image

- Experimental details
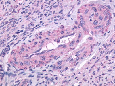
- Immunohistochemistry-Paraffin: PTGFR Antibody [NLS1049] - Analysis of anti-FP / PTGFR antibody with human ovary.