Antibody data
- Antibody Data
- Antigen structure
- References [0]
- Comments [0]
- Validations
- Western blot [1]
- Immunohistochemistry [2]
Submit
Validation data
Reference
Comment
Report error
- Product number
- TA805629 - Provider product page

- Provider
- OriGene
- Proper citation
- OriGene Cat#TA805629, RRID:AB_2627803
- Product name
- CANT1 mouse monoclonal antibody, clone OTI7F8 (formerly 7F8)
- Antibody type
- Monoclonal
- Description
- CANT1 mouse monoclonal antibody, clone OTI7F8 (formerly 7F8)
- Host
- Mouse
- Conjugate
- Unconjugated
- Epitope
- CANT1
- Isotype
- IgG
- Antibody clone number
- OTI7F8
- Vial size
- 100 µl
- Concentration
- 1 mg/ml
No comments: Submit comment
Supportive validation
- Submitted by
- OriGene (provider)
- Main image

- Experimental details
- HEK293T cells were transfected with the pCMV6-ENTRY control (Left lane) or pCMV6-ENTRY CANT1 (RC202348, Right lane) cDNA for 48 hrs and lysed. Equivalent amounts of cell lysates (5 ug per lane) were separated by SDS-PAGE and immunoblotted with anti-CANT1.
- Validation comment
- WB
Supportive validation
- Submitted by
- OriGene (provider)
- Main image

- Experimental details
- Immunohistochemical staining of paraffin-embedded Human liver tissue within the normal limits using anti-CANT1 mouse monoclonal antibody. (Heat-induced epitope retrieval by 1 mM EDTA in 10mM Tris, pH8.5, 120C for 3min, TA805629)
- Validation comment
- IHC
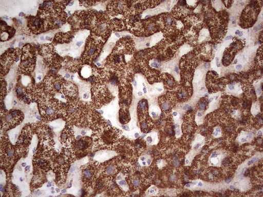
- Submitted by
- OriGene (provider)
- Main image

- Experimental details
- Immunohistochemical staining of paraffin-embedded Carcinoma of Human liver tissue using anti-CANT1 mouse monoclonal antibody. (Heat-induced epitope retrieval by 1 mM EDTA in 10mM Tris, pH8.5, 120C for 3min, TA805629)
- Validation comment
- IHC