Antibody data
- Antibody Data
- Antigen structure
- References [1]
- Comments [0]
- Validations
- Western blot [2]
Submit
Validation data
Reference
Comment
Report error
- Product number
- NBP1-51996 - Provider product page

- Provider
- Novus Biologicals
- Proper citation
- Novus Cat#NBP1-51996, RRID:AB_11022092
- Product name
- Goat Polyclonal PDE1A Antibody
- Antibody type
- Polyclonal
- Description
- Immunogen affinity purified. This antibody is expected to recognize isoform 1 (NP_005010.2) only.
- Reactivity
- Human
- Host
- Goat
- Antigen sequence
C-DLHKNSEDLVNAE- Isotype
- IgG
- Vial size
- 0.1 mg
- Concentration
- 0.5 mg/ml
- Storage
- Store at -20C. Avoid freeze-thaw cycles.
Submitted references Association study of phosphodiesterase genes in the Sequenced Treatment Alternatives to Relieve Depression sample.
Cabanero M, Laje G, Detera-Wadleigh S, McMahon FJ
Pharmacogenetics and genomics 2009 Mar;19(3):235-8
Pharmacogenetics and genomics 2009 Mar;19(3):235-8
No comments: Submit comment
Supportive validation
- Submitted by
- Novus Biologicals (provider)
- Main image

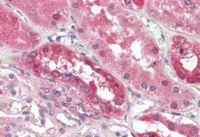
- Experimental details
- Western Blot: PDE1A Antibody [NBP1-51996] - 3.75ug/ml staining of paraffin embedded Human Kidney. Steamed antigen retrieval with citrate buffer pH 6, AP-staining.
- Submitted by
- Novus Biologicals (provider)
- Main image

- Experimental details
- Western Blot: PDE1A Antibody [NBP1-51996] - Western blot analysis of PDE1A in Human Cerebellum lysate (35ug protein in RIPA buffer) using NBP1-51996 at 1ug/ml. Primary incubation was 1 hour. Detected by chemiluminescence.