Antibody data
- Antibody Data
- Antigen structure
- References [0]
- Comments [0]
- Validations
- Western blot [3]
- Immunohistochemistry [1]
Submit
Validation data
Reference
Comment
Report error
- Product number
- BS-4277R - Provider product page

- Provider
- Invitrogen Antibodies
- Product name
- ENPP7 Polyclonal Antibody
- Antibody type
- Polyclonal
- Antigen
- Synthetic peptide
- Reactivity
- Human, Mouse, Rat
- Host
- Rabbit
- Isotype
- IgG
- Vial size
- 100 µL
- Concentration
- 1 mg/mL
- Storage
- -20°C
No comments: Submit comment
Supportive validation
- Submitted by
- Invitrogen Antibodies (provider)
- Main image

- Experimental details
- FHC Cell lysates probed with ENPP7 Polyclonal Antibody, unconjugated (bs-4277R) at 1:300 overnight at 4°C followed by a conjugated secondary antibody for 60 minutes at 37°C.
- Submitted by
- Invitrogen Antibodies (provider)
- Main image

- Experimental details
- HT29 Cell lysates probed with ENPP7 Polyclonal Antibody, unconjugated (bs-4277R) at 1:300 overnight at 4°C followed by a conjugated secondary antibody for 60 minutes at 37°C.
- Submitted by
- Invitrogen Antibodies (provider)
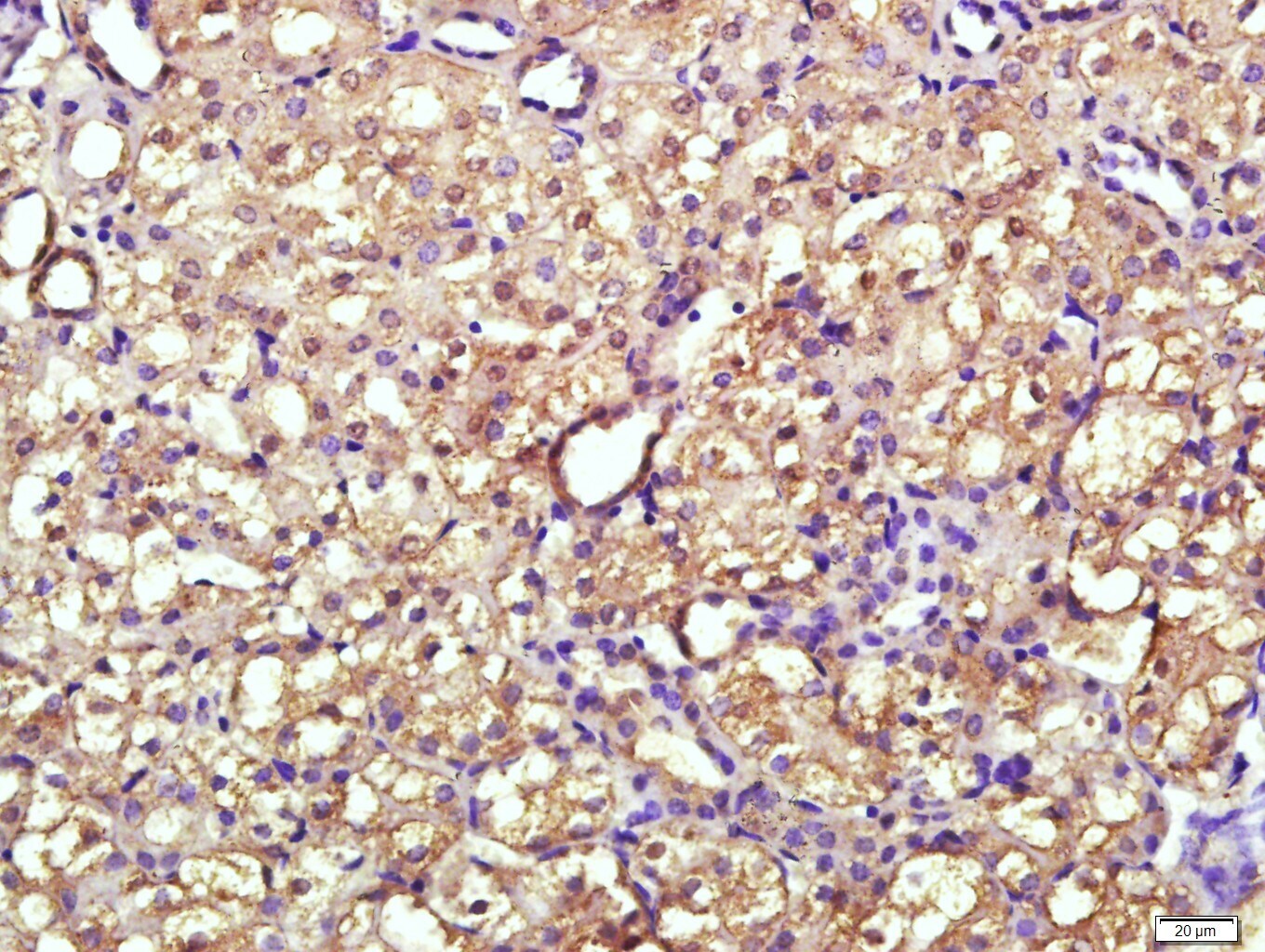
- Main image

- Experimental details
- Paraformaldehyde-fixed, paraffin embedded Mouse kidney; Antigen retrieval by boiling in sodium citrate buffer (pH6.0) for 15min; Block endogenous peroxidase by 3% hydrogen peroxide for 20 minutes; Blocking buffer (normal goat serum) at 37°C for 30min; Antibody incubation with ENPP7 Polyclonal Antibody, Unconjugated (bs-4277R) at 1:400 overnight at 4°C, followed by a conjugated secondary antibody for 20 minutes and DAB staining.
Supportive validation
- Submitted by
- Invitrogen Antibodies (provider)
- Main image

- Experimental details
- Paraformaldehyde-fixed, paraffin embedded Mouse kidney; Antigen retrieval by boiling in sodium citrate buffer (pH6.0) for 15min; Block endogenous peroxidase by 3% hydrogen peroxide for 20 minutes; Blocking buffer (normal goat serum) at 37°C for 30min; Antibody incubation with ENPP7 Polyclonal Antibody, Unconjugated (bs-4277R), followed by polypeptide blocking at 1:400 overnight at 4°C, followed by a conjugated secondary antibody for 20 minutes and DAB staining.