Antibody data
- Antibody Data
- Antigen structure
- References [0]
- Comments [0]
- Validations
- Western blot [1]
- Immunohistochemistry [2]
Submit
Validation data
Reference
Comment
Report error
- Product number
- GTX115481 - Provider product page

- Provider
- GeneTex
- Proper citation
- GeneTex Cat#GTX115481, RRID:AB_11165778
- Product name
- NCKAP1 antibody [N1N2], N-term
- Antibody type
- Polyclonal
- Reactivity
- Human, Mouse
- Host
- Rabbit
No comments: Submit comment
Supportive validation
- Submitted by
- GeneTex (provider)
- Main image

- Experimental details
- Sample (30 ug of whole cell lysate) A: U87-MG 5% SDS PAGE GTX115481 diluted at 1:1000
Supportive validation
- Submitted by
- GeneTex (provider)
- Main image

- Experimental details
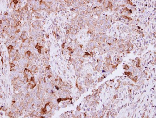
- Immunohistochemical analysis of paraffin-embedded human lung Papillary adenocarcinoma, using NCKAP1(GTX115481) antibody at 1:250 dilution.
- Submitted by
- GeneTex (provider)
- Main image

- Experimental details
- NCKAP1 antibody [N1N2], N-term detects NCKAP1 protein by immunohistochemical analysis.Sample: Frozen-sectioned mouse cerebellum.Green: NCKAP1 stained by NCKAP1 antibody [N1N2], N-term (GTX115481) diluted at 1:250.Red: NF-H, stained by NF-H antibody [GT114] (GTX634289) diluted at 1:500.Blue: Fluoroshield with DAPI (GTX30920).