Antibody data
- Antibody Data
- Antigen structure
- References [0]
- Comments [0]
- Validations
- Western blot [1]
- Immunohistochemistry [12]
Submit
Validation data
Reference
Comment
Report error
- Product number
- NBP1-83164 - Provider product page

- Provider
- Novus Biologicals
- Proper citation
- Novus Cat#NBP1-83164, RRID:AB_11018517
- Product name
- Rabbit Polyclonal Sulfamidase/SGSH Antibody
- Antibody type
- Polyclonal
- Description
- Immunogen affinity purified. Specificity of human Sulfamidase/SGSH antibody verified on a Protein Array containing target protein plus 383 other non-specific proteins.
- Reactivity
- Human
- Host
- Rabbit
- Isotype
- IgG
- Vial size
- 0.1 ml
- Storage
- Store at 4C short term. Aliquot and store at -20C long term. Avoid freeze-thaw cycles.
No comments: Submit comment
Supportive validation
- Submitted by
- Novus Biologicals (provider)
- Main image

- Experimental details
- Western Blot: Sulfamidase/SGSH Antibody [NBP1-83164] - Lane 1: Marker [kDa] 230, 130, 95, 72, 56, 36, 28, 17, 11. Lane 2: Human cell line RT-522
Supportive validation
- Submitted by
- Novus Biologicals (provider)
- Main image

- Experimental details
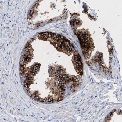
- Immunohistochemistry-Paraffin: Sulfamidase/SGSH Antibody [NBP1-83164] - Staining of human prostate shows strong cytoplasmic positivity in glandular cells.
- Submitted by
- Novus Biologicals (provider)
- Main image

- Experimental details
- Immunohistochemistry-Paraffin: Sulfamidase/SGSH Antibody [NBP1-83164] - Staining of human adrenal gland shows high expression.
- Submitted by
- Novus Biologicals (provider)
- Main image

- Experimental details
- Immunohistochemistry-Paraffin: Sulfamidase/SGSH Antibody [NBP1-83164] - Staining of human skeletal muscle shows low expression as expected.
- Submitted by
- Novus Biologicals (provider)
- Main image

- Experimental details
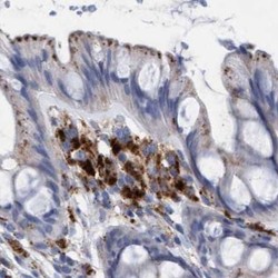
- Immunohistochemistry-Paraffin: Sulfamidase/SGSH Antibody [NBP1-83164] - Staining of human colon.
- Submitted by
- Novus Biologicals (provider)
- Main image

- Experimental details
- Immunohistochemistry-Paraffin: Sulfamidase/SGSH Antibody [NBP1-83164] - Staining of human lymph node.
- Submitted by
- Novus Biologicals (provider)
- Main image

- Experimental details
- Immunohistochemistry-Paraffin: Sulfamidase/SGSH Antibody [NBP1-83164] - Staining of human prostate shows strong cytoplasmic granular positivity in glandular cells.
- Submitted by
- Novus Biologicals (provider)
- Main image

- Experimental details
- Immunohistochemistry-Paraffin: Sulfamidase/SGSH Antibody [NBP1-83164] - Staining of human duodenum shows strong cytoplasmic granular positivity in glandular cells.
- Submitted by
- Novus Biologicals (provider)
- Main image

- Experimental details
- Immunohistochemistry-Paraffin: Sulfamidase/SGSH Antibody [NBP1-83164] - Staining of human adrenal gland shows strong cytoplasmic granular positivity in glandular cells.
- Submitted by
- Novus Biologicals (provider)
- Main image

- Experimental details
- Immunohistochemistry-Paraffin: Sulfamidase/SGSH Antibody [NBP1-83164] - Analysis in human adrenal gland and skeletal muscle tissues. Corresponding SGSH RNA-seq data are presented for the same tissues.
- Submitted by
- Novus Biologicals (provider)
- Main image

- Experimental details
- Immunohistochemistry-Paraffin: Sulfamidase/SGSH Antibody [NBP1-83164] - Staining of human kidney shows strong cytoplasmic granular positivity in cells in tubules.
- Submitted by
- Novus Biologicals (provider)
- Main image

- Experimental details
- Immunohistochemistry-Paraffin: Sulfamidase/SGSH Antibody [NBP1-83164] - Staining of human skeletal muscle shows very weak positivity in myocytes as expected.
- Submitted by
- Novus Biologicals (provider)
- Main image

- Experimental details
- Immunohistochemistry-Paraffin: Sulfamidase/SGSH Antibody [NBP1-83164] - Staining of human adrenal gland, duodenum, kidney and skeletal muscle using Anti-SGSH antibody (A) NBP1-83164 shows similar protein distribution across tissues to independent antibody NBP1-83165 (B).